The mitotic spindle is crucial to achieve segregation of sister chromatids. To identify new mitotic spindle assembly regulators, we isolated 855 microtubule-associated proteins (MAPs) from Drosophila melanogaster mitotic or interphasic embryos. Using RNAi, we screened 96 poorly characterized genes in the Drosophila central nervous system to establish their possible role during spindle assembly. We found that Ensconsin/MAP7 mutant neuroblasts display shorter metaphase spindles, a defect caused by a reduced microtubule polymerization rate and enhanced by centrosome ablation. In agreement with a direct effect in regulating spindle length, Ensconsin overexpression triggered an increase in spindle length in S2 cells, whereas purified Ensconsin stimulated microtubule polymerization in vitro. Interestingly, ensc-null mutant flies also display defective centrosome separation and positioning during interphase, a phenotype also detected in kinesin-1 mutants. Collectively, our results suggest that Ensconsin cooperates with its binding partner Kinesin-1 during interphase to trigger centrosome separation. In addition, Ensconsin promotes microtubule polymerization during mitosis to control spindle length independent of Kinesin-1.
Introduction
During mitosis, the mitotic spindle plays a crucial role in ensuring the correct segregation of chromosomes. One of the principal challenges faced by the cell during mitosis is the assembly of a powerful microtubule (Mt)-based machine mediating the efficient segregation of sister chromatids within a few minutes. Because of their role in defining the plane of cell division, mitotic Mts are also essential for brain homeostasis, a process linked to asymmetric stem cell division (Caussinus and Gonzalez, 2005; Wodarz and Näthke, 2007; Neumüller and Knoblich, 2009). The assembly of the spindle is complex and tightly regulated. The association of Mt-associated proteins (MAPs) with Mts and their subsequent dissociation play an essential role in mitotic spindle assembly. Mitotic spindle assembly and chromosome segregation thus require the complex spatial and temporal regulation of MAPs (Gadde and Heald, 2004).
Many MAPs have been identified in various model organisms. These proteins can be classified into two main categories: motor and nonmotor proteins. Through their direct effects on Mt dynamics, Mt sliding, and cross-linking, these MAPs are involved in several steps in mitosis: centrosome separation and positioning, the attachment of Mts to kinetochores (Kts), bipolar spindle formation, chromosome motion, and cytokinesis (Walczak and Heald, 2008). Mt polymerization is promoted by MAPs, such as TOGp/MAP215/msps (Cullen et al., 1999; Tournebize et al., 2000; Cassimeris and Morabito, 2004), and Mts are organized into a fusiform structure by motor proteins (Sawin et al., 1992; Wittmann et al., 1998; Goshima et al., 2005). Spindle size is controlled by the coordinated regulation of Mt end-binding proteins, such as CLASPs, depolymerizing kinesins, and the Mt minus end protein known as patronin (Gaetz and Kapoor, 2004; Maiato et al., 2004, 2005; Laycock et al., 2006; Goodwin and Vale, 2010).
This study focuses on Ensconsin/MAP7. We demonstrate, for the first time, the occurrence in Drosophila melanogaster neuroblasts (Nbs) of Ensconsin/MAP7-dependent interphase centrosome separation and spindle assembly pathways during mitosis.
Results and discussion
Ensconsin is a general MAP required for mitotic spindle assembly in the fly central nervous system (CNS)
We analyzed the Drosophila Mt interactome from 0–2-h-old embryos, which are characterized by rapid, synchronous cell divisions (mitotic embryos), with the goal of identifying new spindle assembly proteins. In parallel, we also investigated the Mt interactomes of older embryos (2–17 h old), in which most Mts have nonmitotic functions. Mt polymerization was induced by incubation with taxol, and the MAPs and Mts were harvested by centrifugation and resolved by SDS-PAGE (Fig. S1, A and B). We applied a high-throughput proteomics approach, leading to the high-confidence identification of 855 proteins in both samples (Fig. S1, C–E; and Table S2). Using spectral count, a semiquantitative measurement of protein abundance, we classified all the proteins identified as mitotic, general, or interphasic MAPs on the basis of their enrichment profiles (Materials and methods).
We investigated the possible role in spindle assembly in vivo of 96 poorly characterized genes by applying RNAi to the fly CNS (Table S3 and Fig. S1 F; Dietzl et al., 2007; Mummery-Widmer et al., 2009; Neumüller et al., 2011). The new putative mitotic genes identified by this approach (Fig. S1 G and Table S1) included Ensconsin (CG14998). We used ensc mutants to investigate the role of this gene in mitotic spindle assembly (Fig. 1 B, bottom). We used three known Ensconsin mutant alleles: enscΔC (C-terminal deletion), enscΔN (N-terminal deletion), and enscΔNull (full deletion, hereafter referred to as ensc; Sung et al., 2008). Western blot analyses showed all three mutant strains to have similar low levels of Ensconsin protein (see Fig. S3 A).
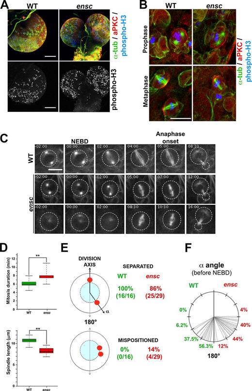
ensc mutant Nbs display centrosome separation defects and shorter metaphase spindles. (A) Overview of the optic lobes in WT and ensc mutant flies. ensc mutant larvae have small lobes and elevated numbers of mitotic cells. (B) Mitotic cells from WT or ensc mutant brains. A centrosome separation defect is detected in ∼15% of the ensc mutant prophase cells (top). ensc mutant metaphase spindles are shorter (bottom) than those in WT Nbs. aPKC is shown in red, tubulin in green, and phospho-histone H3 Ser10 in blue (gray in the bottom of A). Bars: (A) 100 µm; (B) 10 µm. (C) Dividing WT (top and Video 1) and ensc mutant (middle and bottom, and Videos 2 and 3) Nbs expressing β-tubulin–GFP. Note the mitotic delay in the ensc mutant, the shorter spindles, and the centrosome-positioning defect (bottom). Time is given in minutes:seconds. 00:00 corresponds to NEBD. The circles indicate the contours of the cells. Bar, 10 µm. (D) Analyses of the duration of mitosis (top) and spindle length (bottom) in WT (green) and ensc mutant (red) Nbs. Mitosis lasted 6.1 ± 0.9 min in the WT (n = 23) and 8.0 ± 1.2 min in the mutant (n = 37; **, P = 1.10 × 10−7). Spindle length was 10.7 ± 0.7 µm in the WT (n = 15) and 8.2 ± 1.2 µm in ensc mutants (n = 23; **, P = 1.10 × 10−7). (E) Analysis of centrosome separation in WT (green) and ensc mutant (red) Nbs at NEBD. 14% of ensc mutants display incomplete centrosome separation and severe mispositioning (Video 3). In the other cases (Video 2), the angle between the centrosomes relative to the center of the nucleus is measured (F). In WT, 93.8% of prophase cells have their basal centrosome oriented between 120° and 180°. In ensc mutants, only 56% of the cells position their centrosome in this region and 44% of the cells show an angle between 60° and 120°.
ensc mutant Nbs display centrosome separation defects and shorter metaphase spindles. (A) Overview of the optic lobes in WT and ensc mutant flies. ensc mutant larvae have small lobes and elevated numbers of mitotic cells. (B) Mitotic cells from WT or ensc mutant brains. A centrosome separation defect is detected in ∼15% of the ensc mutant prophase cells (top). ensc mutant metaphase spindles are shorter (bottom) than those in WT Nbs. aPKC is shown in red, tubulin in green, and phospho-histone H3 Ser10 in blue (gray in the bottom of A). Bars: (A) 100 µm; (B) 10 µm. (C) Dividing WT (top and Video 1) and ensc mutant (middle and bottom, and Videos 2 and 3) Nbs expressing β-tubulin–GFP. Note the mitotic delay in the ensc mutant, the shorter spindles, and the centrosome-positioning defect (bottom). Time is given in minutes:seconds. 00:00 corresponds to NEBD. The circles indicate the contours of the cells. Bar, 10 µm. (D) Analyses of the duration of mitosis (top) and spindle length (bottom) in WT (green) and ensc mutant (red) Nbs. Mitosis lasted 6.1 ± 0.9 min in the WT (n = 23) and 8.0 ± 1.2 min in the mutant (n = 37; **, P = 1.10 × 10−7). Spindle length was 10.7 ± 0.7 µm in the WT (n = 15) and 8.2 ± 1.2 µm in ensc mutants (n = 23; **, P = 1.10 × 10−7). (E) Analysis of centrosome separation in WT (green) and ensc mutant (red) Nbs at NEBD. 14% of ensc mutants display incomplete centrosome separation and severe mispositioning (Video 3). In the other cases (Video 2), the angle between the centrosomes relative to the center of the nucleus is measured (F). In WT, 93.8% of prophase cells have their basal centrosome oriented between 120° and 180°. In ensc mutants, only 56% of the cells position their centrosome in this region and 44% of the cells show an angle between 60° and 120°.
Ensc mutants had small brain lobes (Fig. 1 A) and a higher mitotic index (1.2 ± 0.5% in wild-type [WT] brains and 2.6 ± 1.0% in ensc mutant brains; n > 3,000 cells, 6 brains), which suggests that ensc mutation caused a mitotic delay due to prolonged spindle assembly checkpoint (SAC) activation. We tested this hypothesis with the double knockdown of Ensconsin and the SAC protein Mad2 by RNAi, with confirmation of the depletion of the protein (Fig. S2 A). Kt/Mt attachment defects were revealed by the large numbers of lagging chromatids during anaphase in double RNAi (6/30 anaphases) but not in cells subjected to mad2 or ensc RNAi (n > 40 anaphases; Fig. S2, B and C). In addition, flies producing double-stranded RNAs (dsRNAs) for either Ensconsin or Mad2 were viable, whereas flies producing both these RNAs died. This indicates that the SAC is required to prolong mitosis and to correct deleterious Kt–Mt attachment.
Ensconsin and Kinesin-1 mutant Nbs display similar centrosome separation defects during interphase
A close examination of ensc mutant Nb spindles revealed that the centrosomes were not fully separated at prophase (Fig. 1 B, top; n = 20/91) and that metaphase spindles were shorter than WT spindles (Fig. 1 B, bottom; n > 300 spindles).
Time-lapse imaging of dividing Nbs producing a GFP-tagged β-tubulin showed the time between nuclear envelope breakdown (NEBD) and anaphase onset to be 6.1 ± 0.9 min in WT cells and 8.0 ± 1.2 min in ensc mutants, which is consistent with SAC activation (Fig. 1, C and D, top; and Videos 1–3). We also confirmed that mean spindle length was significantly shorter in ensc mutants (8.2 ± 0.7 µm) than in the WT (10.7 ± 0.7; Fig. 1 D, bottom).
Mitosis in WT Nbs. The brains of WT flies expressing β-tubulin–GFP were dissected and mounted in Schneider’s media. Dividing Nbs were analyzed by spinning-disc confocal microscopy. Z series were acquired every 30 s, with a spinning-disk system mounted on an inverted microscope (Eclipse Ti; Nikon). The time scale is shown in minutes:seconds. Bars, 10 µm.
Mitosis in WT Nbs. The brains of WT flies expressing β-tubulin–GFP were dissected and mounted in Schneider’s media. Dividing Nbs were analyzed by spinning-disc confocal microscopy. Z series were acquired every 30 s, with a spinning-disk system mounted on an inverted microscope (Eclipse Ti; Nikon). The time scale is shown in minutes:seconds. Bars, 10 µm.
Mitosis in ensc mutant Nbs. The brains of ensc mutant flies expressing β-tubulin–GFP were dissected and mounted in Schneider’s media. Dividing Nbs were analyzed by spinning-disc confocal microscopy. Z series were acquired every 30 s, with a spinning-disk system mounted on an inverted microscope (Eclipse Ti; Nikon). The time scale is shown in minutes:seconds. Bars, 10 µm.
Mitosis in ensc mutant Nbs. The brains of ensc mutant flies expressing β-tubulin–GFP were dissected and mounted in Schneider’s media. Dividing Nbs were analyzed by spinning-disc confocal microscopy. Z series were acquired every 30 s, with a spinning-disk system mounted on an inverted microscope (Eclipse Ti; Nikon). The time scale is shown in minutes:seconds. Bars, 10 µm.
Mitosis in ensc Nbs. The brains of ensc mutant flies expressing β-tubulin–GFP were dissected and mounted in Schneider’s media. Dividing Nbs were analyzed by spinning-disc confocal microscopy. Z series were acquired every 30 s with a spinning-disk system mounted on an inverted microscope (Eclipse Ti; Nikon). Time is shown as minutes:seconds. Note the severe centrosome separation and positioning defect. Bars, 10 µm.
Mitosis in ensc Nbs. The brains of ensc mutant flies expressing β-tubulin–GFP were dissected and mounted in Schneider’s media. Dividing Nbs were analyzed by spinning-disc confocal microscopy. Z series were acquired every 30 s with a spinning-disk system mounted on an inverted microscope (Eclipse Ti; Nikon). Time is shown as minutes:seconds. Note the severe centrosome separation and positioning defect. Bars, 10 µm.
In Drosophila Nbs, unlike most cell types, the centrosomes split and start to separate immediately after cytokinesis (Rebollo et al., 2007; Rusan and Peifer, 2007). The daughter centrosome is immobile, retains Mt nucleation activity, and is connected to the apical cortex, whereas the mother centrosome displays weak Mt nucleation and migrates to the opposite side of the cell. The mother centrosome organizes a second aster shortly before mitosis. The daughter centrosome is therefore inherited by the Nb and the mother centrosome is inherited by the ganglion mother cell (GMC; Conduit and Raff, 2010; Januschke et al., 2011). The angle between the Mt asters before NEBD reflects the efficacy of centrosome separation. It was found to be abnormally low in ensc mutants (Fig. 1 E, top; and Fig. 1 F; see also Video 2), for which 14% of Nbs presented mispositioned asters during prophase (Fig. 1 E, bottom; and Video 3). The mother centrosome is not visible (by GFP-tubulin staining methods) before NEBD. We therefore imaged Nbs expressing YFP-labeled centrosomes and GFP-labeled Mts between two consecutive mitoses (Rebollo et al., 2007; Januschke and Gonzalez, 2010). Centrosome splitting after cytokinesis was normal in ensc mutants, but the separation was incomplete, resulting in the apparent separation defect detected before NEBD (Fig. 2 A, interphase; and Videos 4 and 5). We observed no monopolar spindle formation, which suggests that the machinery required to separate centrosomes at NEBD is functional (Tanenbaum and Medema, 2010). However, due to the late timing of separation, when the mother centrosome started to nucleate Mts at NEBD, it was often anchored to the apical cortex in place of the daughter centrosome and was therefore inherited by the Nb (8/25; Fig. 2 A and Video 5, green line).
Analysis of centrosome separation between two consecutive mitoses in ensc mutant Nbs. Nbs from ensc mutant brains expressing β-tubulin–GFP (for Mt labeling) and asterless-YFP (for centriole labeling). Z series were acquired every 60 s, with a spinning-disk system mounted on an inverted microscope (Eclipse Ti; Nikon). Note that centrosome splitting occurs normally but that full separation does not. The movie on the left shows defective separation but a normal centrosome distribution. The movie on the right shows a cell in which the daughter centrosome (identified on the basis of its stronger Mt nucleation potential) is inherited by the GMC rather than the Nb. In ensc mutants, full separation was strongly delayed. Time is shown in hours:minutes:seconds. The green and blue lines follow the trajectories of the daughter and mother centrosomes, respectively. Bar, 10 µm.
Analysis of centrosome separation between two consecutive mitoses in ensc mutant Nbs. Nbs from ensc mutant brains expressing β-tubulin–GFP (for Mt labeling) and asterless-YFP (for centriole labeling). Z series were acquired every 60 s, with a spinning-disk system mounted on an inverted microscope (Eclipse Ti; Nikon). Note that centrosome splitting occurs normally but that full separation does not. The movie on the left shows defective separation but a normal centrosome distribution. The movie on the right shows a cell in which the daughter centrosome (identified on the basis of its stronger Mt nucleation potential) is inherited by the GMC rather than the Nb. In ensc mutants, full separation was strongly delayed. Time is shown in hours:minutes:seconds. The green and blue lines follow the trajectories of the daughter and mother centrosomes, respectively. Bar, 10 µm.
Centrosome separation is defective in kinesin-1 and ensc mutant Nbs. (A) WT (top and Video 4) and ensc mutant (middle, bottom, and Video 5) Nbs expressing YFP-Asl (to label the centrosomes) and GFP-tubulin (to follow the daughter centrosome and Mts) were analyzed by time-lapse video microscopy. The green and blue lines follow the trajectories of the daughter and mother centrosomes, respectively. The two centrosomes did not separate fully in ensc mutants. For this reason, in several cases (8/25, 32%), when the mother centrosome acquired its Mt nucleation potential, it was attached to the apical cortex in place of the daughter centrosome, and was therefore inherited by the Nb rather than the GMC. (B) Prophase and metaphase in control or khc RNAi-treated Nbs (left) and Western blot analyses of Khc (top) and actin (bottom) after khc or control RNAi (right). (C) Prophase and metaphase in WT and khc27/khc63 mutant Nbs. In B and C, tubulin is shown in red, aPKC in blue, and phospho-histone H3 Ser10 in green. (D) Duration of mitosis and centrosome positioning in WT and khc27/khc63 mutant Nbs expressing Sas4-GFP (yellow) and Cherry-tubulin (gray). Mitosis lasted 7.2 ± 1.2 min in WT (n = 27) and 7.5 ± 1.5 min in khc27/khc63 (n = 48) cells. P = 0.652. Spindle length was 10.9 ± 0.8 µm in WT cells and 11.3 ± 1.8 µm in khc27/khc63 mutant cells. The daughter centrosome was inherited by the GMC in 24 of the 48 khc27/khc63 mutant cells (50%). Time is given in hours:minutes:seconds. In A and D, the green and the red arrows indicate the daughter and mother centrosomes, respectively. The circles indicate the contours of the cells. Bars, 10 µm. (E) Analysis of centrosome separation angle in WT (green) and khc27/khc63 (red) Nbs at NEBD.
Centrosome separation is defective in kinesin-1 and ensc mutant Nbs. (A) WT (top and Video 4) and ensc mutant (middle, bottom, and Video 5) Nbs expressing YFP-Asl (to label the centrosomes) and GFP-tubulin (to follow the daughter centrosome and Mts) were analyzed by time-lapse video microscopy. The green and blue lines follow the trajectories of the daughter and mother centrosomes, respectively. The two centrosomes did not separate fully in ensc mutants. For this reason, in several cases (8/25, 32%), when the mother centrosome acquired its Mt nucleation potential, it was attached to the apical cortex in place of the daughter centrosome, and was therefore inherited by the Nb rather than the GMC. (B) Prophase and metaphase in control or khc RNAi-treated Nbs (left) and Western blot analyses of Khc (top) and actin (bottom) after khc or control RNAi (right). (C) Prophase and metaphase in WT and khc27/khc63 mutant Nbs. In B and C, tubulin is shown in red, aPKC in blue, and phospho-histone H3 Ser10 in green. (D) Duration of mitosis and centrosome positioning in WT and khc27/khc63 mutant Nbs expressing Sas4-GFP (yellow) and Cherry-tubulin (gray). Mitosis lasted 7.2 ± 1.2 min in WT (n = 27) and 7.5 ± 1.5 min in khc27/khc63 (n = 48) cells. P = 0.652. Spindle length was 10.9 ± 0.8 µm in WT cells and 11.3 ± 1.8 µm in khc27/khc63 mutant cells. The daughter centrosome was inherited by the GMC in 24 of the 48 khc27/khc63 mutant cells (50%). Time is given in hours:minutes:seconds. In A and D, the green and the red arrows indicate the daughter and mother centrosomes, respectively. The circles indicate the contours of the cells. Bars, 10 µm. (E) Analysis of centrosome separation angle in WT (green) and khc27/khc63 (red) Nbs at NEBD.
Ensconsin is a coactivator of Kinesin-1 in interphase. We therefore investigated whether centrosome separation defects could be also detected after a loss of Kinesin-1 function (Sung et al., 2008; Metzger et al., 2012; Barlan et al., 2013). We found centrosome separation defects in khc27/khc63 mutant brains, which lead to a small angle between centrosomes at NEBD but have no effect on spindle assembly (Fig. 2, B–E; and Videos 6 and 7). Centrosome inheritance was randomized and, in 50% of subsequent mitoses, the daughter centrosome ended up in the GMC (Fig. 2 D, bottom). These data demonstrate that early centrosome separation after cytokinesis is a prerequisite for correct centrosome segregation, a process in which Ensconsin and Kinesin-1 appear to be key players. Interestingly, spindle size and mitotic timing were normal in kinesin heavy chain (Khc)-depleted and mutant Nbs, which indicates a dependence of the short spindle phenotype on Ensconsin but not Kinesin-1 (Fig. 2 D).
Ensconsin is required for Mt growth in mitotic Drosophila Nbs
We analyzed the mitotic defects of the ensc mutants in detail by fully depolymerizing mitotic spindles from WT and ensc Nbs by cold treatment and monitoring Mt regrowth at 25°C (Fig. 3 A). In control tests, we observed large centrosomal asters 30 s after the return to 25°C conditions (Fig. 3 B, left, red arrows; n = 19). We also detected asters around the main chromosome mass and discrete Kt fibers (Fig. 3 B, white arrows). At 90 s, the WT spindles had a normal, bipolar shape (n = 25). The ensc mutant Nbs displayed weak aster formation around the chromosomes and no obvious Kt fibers after 30 s (n > 30; Fig. 3 B, right). After 90 s, only short spindles with weak, disorganized Mt arrays were present (n = 24). Overall, our results suggest that Ensconsin contributes to the polymerization of spindle Mts. For confirmation of this role, we quantified Mt growth directly by tracking EB1-GFP comets at Mt plus ends in WT and ensc Nbs (Fig. 3 C and Video 8). Measurements of Mt dynamic parameters revealed that the mean rate of Mt polymerization was significantly lower (reduced by 12%) in the ensc mutant than in WT Nbs (Fig. 3 D), a difference sufficient to account for the short spindles observed in ensc mutants.
Analysis of Mt plus end velocity in WT and ensc metaphase Nbs. Nbs from WT (left) and ensc mutant brains (right) expressing EB1-GFP (for the labeling of Mt plus ends) were dissected and gently squashed in Schneider’s medium before imaging. Images series were acquired every 500 ms, for 1 min, with a spinning-disk system mounted on an inverted microscope (Eclipse Ti; Nikon). Time is shown in minutes:seconds. Bars, 4 µm.
Analysis of Mt plus end velocity in WT and ensc metaphase Nbs. Nbs from WT (left) and ensc mutant brains (right) expressing EB1-GFP (for the labeling of Mt plus ends) were dissected and gently squashed in Schneider’s medium before imaging. Images series were acquired every 500 ms, for 1 min, with a spinning-disk system mounted on an inverted microscope (Eclipse Ti; Nikon). Time is shown in minutes:seconds. Bars, 4 µm.
Ensconsin mutant Nbs display defective spindle reassembly and a lower Mt velocity in live cells. (A) Mt regrowth assay. Mts were depolymerized on ice (see Materials and methods), and spindle reformation was analyzed by immunostaining after the cells had been returned to 25°C conditions. (B) In the WT (left), Mts were depolymerized after 30 min at 0°C. Numerous Mts were nucleated by the centrosomes after 30 s at 25°C (red arrows). Small asters are visible around the chromatin (white arrow), together with Kt fibers (double-ended arrow). At 90 s, the spindles have a normal shape. In ensc mutant cells (right), only centrosomal Mts can be visualized after 30 s, and the spindles remain short and disorganized after 90 s. Centrosomes are shown in red (centrosomin, cnn), Mts (α tub) in green (gray in the lower panels), and phospho-H3 in blue. Bar, 10 µm. (C) Control (top) and ensc (bottom) Nbs expressing EB1-GFP were imaged by time-lapse microscopy (Video 8). A single frame (in which EB1-GFP comets are visible) is presented (left), with time projections for the 20- and 120-min time points (middle and right, respectively). Blue lines represent EB1-GFP tracks after filtering (see Materials and methods). Bar, 4 µm. (D) Quantification of Mt velocity in WT (n = 17) and ensc mutant (n = 16) mitotic Nbs: 0.26 and 0.23 µm/s, respectively (*, P = 1.2 × 10−4).
Ensconsin mutant Nbs display defective spindle reassembly and a lower Mt velocity in live cells. (A) Mt regrowth assay. Mts were depolymerized on ice (see Materials and methods), and spindle reformation was analyzed by immunostaining after the cells had been returned to 25°C conditions. (B) In the WT (left), Mts were depolymerized after 30 min at 0°C. Numerous Mts were nucleated by the centrosomes after 30 s at 25°C (red arrows). Small asters are visible around the chromatin (white arrow), together with Kt fibers (double-ended arrow). At 90 s, the spindles have a normal shape. In ensc mutant cells (right), only centrosomal Mts can be visualized after 30 s, and the spindles remain short and disorganized after 90 s. Centrosomes are shown in red (centrosomin, cnn), Mts (α tub) in green (gray in the lower panels), and phospho-H3 in blue. Bar, 10 µm. (C) Control (top) and ensc (bottom) Nbs expressing EB1-GFP were imaged by time-lapse microscopy (Video 8). A single frame (in which EB1-GFP comets are visible) is presented (left), with time projections for the 20- and 120-min time points (middle and right, respectively). Blue lines represent EB1-GFP tracks after filtering (see Materials and methods). Bar, 4 µm. (D) Quantification of Mt velocity in WT (n = 17) and ensc mutant (n = 16) mitotic Nbs: 0.26 and 0.23 µm/s, respectively (*, P = 1.2 × 10−4).
Spindle shortening and the duration of mitosis in the Nbs of ensc mutants are greater in the absence of centrosomes
Given the large number of short Mts nucleated by the centrosomes in the regrowth assay, we investigated whether the spindle formation defects observed in ensc mutants were greater in the absence of centrosomes. We therefore generated ensc and sas-4s2214 double mutant flies, the sas-4 gene being required for centrosome duplication (Basto et al., 2006), and monitored cell division (Fig. 4). In sas-4s2214 single mutants (Video 9, left), the spindle formed without centrosomes and mitosis lasted 9.0 ± 1.2 min (Fig. 4, A and C). In ensc,sas-4s2214 double mutants (Video 9, right), mitosis lasted significantly longer (10.1 ± 1.2 min) and the distribution of Mts was more strongly affected than in the single mutant (Fig. 4, A and C). The spindles were much shorter in the double mutant (6.7 ± 0.6 µm) than in the sas-4s2214 (8.5 ± 1.4 µm) and ensc single mutants (8.0 ± 0.6 µm; Fig. 4 B). In parallel, we repeated the Mt regrowth assay (Fig. 4 D). 1 min after the return to 25°C, long Mts were seen in the WT and the sas-4s2214 single mutant, but not in the ensc single mutant and the ensc,sas-4s2214 double mutant. Bipolar spindle assembly occurred within 3 min in flies lacking either sas-4s2214 or ensconsin, but was severely compromised in the double mutant. These results suggest that the centrosome favors spindle assembly when Mt polymerization rates are low in mitotic ensc mutant cells.
Mitosis in sas-4s2214 and ensc,sas-4s2214 mutants. The brains of sas-4s2214 (left) or ensc,sas-4s2214 mutant flies (right) expressing β-tubulin–GFP were dissected and mounted in Schneider’s medium. Dividing Nbs were analyzed by spinning-disc confocal microscopy. Z series were acquired every 30 s with a spinning-disk system mounted on an inverted microscope (Eclipse Ti; Nikon). Time is shown in minutes:seconds. Note the very short spindle in the ensc,sas-4s2214 double mutant. Bars, 10 µm.
Mitosis in sas-4s2214 and ensc,sas-4s2214 mutants. The brains of sas-4s2214 (left) or ensc,sas-4s2214 mutant flies (right) expressing β-tubulin–GFP were dissected and mounted in Schneider’s medium. Dividing Nbs were analyzed by spinning-disc confocal microscopy. Z series were acquired every 30 s with a spinning-disk system mounted on an inverted microscope (Eclipse Ti; Nikon). Time is shown in minutes:seconds. Note the very short spindle in the ensc,sas-4s2214 double mutant. Bars, 10 µm.
Ensconsin-dependent spindle assembly defects are enhanced by centrosome ablation. (A) Cell division of WT, ensc, sas-4s2214, and ensc,sas-4s2214 double mutant Nbs expressing β-tubulin–GFP. Time is given in minutes:seconds. The circles indicate the contours of the cells. Bar, 10 µm. (B) Analysis of mitotic spindle length in WT (green), ensc (red), sas-4s2214 (blue), and ensc,sas-4s2214 (purple) mutant Nbs. Spindle length was 10.7 ± 0.7 µm in the WT (n = 15), 8.2 ± 1.2 µm in the ensc mutant (n = 23), 8.5 ± 1.4 µm in the sas-4s2214 mutant (n = 45), and 6.7 ± 0.7 µm in the ensc,sas-4s2214 double mutant (n = 31). *, P = 2 × 10−6; **, P < 5.2 × 10−8. (C) Analysis of the duration of mitosis in WT (green), ensc (red), sas-4s2214 (blue), and ensc,sas-4s2214 (purple) mutant Nbs. The time between NEBD and anaphase onset was 6.1 ± 0.9 min for the controls (n = 23), 8.0 ± 1.2 min for the ensc mutant (n = 37), 9.0 ± 1.2 min for the sas-4s2214 mutant (n = 48), and 10.0 ± 1.2 min for the ensc,sas-4s2214 double mutant (n = 38). *, P = 1.8 × 10−3; ***, P < 1 × 10−10. (D) Mt regrowth assay in WT, ensc, sas-4s2214, and ensc,sas-4s2214 mutant Nbs. 1 and 3 min after the return to 25°C, numerous long Mts were detected in sas-4s2214 Nbs. In the ensc,sas-4s2214 double mutant, short Mts were found closely apposed to the mitotic chromatin mass. At 5 min, the spindles resembled Mt bundles rather than the bipolar structure seen in sas-4s2214 mutants. aPKC is shown in blue, Mts (α-tub) are shown in red (and gray), and phospho-H3 is shown is green. Bar, 10 µm.
Ensconsin-dependent spindle assembly defects are enhanced by centrosome ablation. (A) Cell division of WT, ensc, sas-4s2214, and ensc,sas-4s2214 double mutant Nbs expressing β-tubulin–GFP. Time is given in minutes:seconds. The circles indicate the contours of the cells. Bar, 10 µm. (B) Analysis of mitotic spindle length in WT (green), ensc (red), sas-4s2214 (blue), and ensc,sas-4s2214 (purple) mutant Nbs. Spindle length was 10.7 ± 0.7 µm in the WT (n = 15), 8.2 ± 1.2 µm in the ensc mutant (n = 23), 8.5 ± 1.4 µm in the sas-4s2214 mutant (n = 45), and 6.7 ± 0.7 µm in the ensc,sas-4s2214 double mutant (n = 31). *, P = 2 × 10−6; **, P < 5.2 × 10−8. (C) Analysis of the duration of mitosis in WT (green), ensc (red), sas-4s2214 (blue), and ensc,sas-4s2214 (purple) mutant Nbs. The time between NEBD and anaphase onset was 6.1 ± 0.9 min for the controls (n = 23), 8.0 ± 1.2 min for the ensc mutant (n = 37), 9.0 ± 1.2 min for the sas-4s2214 mutant (n = 48), and 10.0 ± 1.2 min for the ensc,sas-4s2214 double mutant (n = 38). *, P = 1.8 × 10−3; ***, P < 1 × 10−10. (D) Mt regrowth assay in WT, ensc, sas-4s2214, and ensc,sas-4s2214 mutant Nbs. 1 and 3 min after the return to 25°C, numerous long Mts were detected in sas-4s2214 Nbs. In the ensc,sas-4s2214 double mutant, short Mts were found closely apposed to the mitotic chromatin mass. At 5 min, the spindles resembled Mt bundles rather than the bipolar structure seen in sas-4s2214 mutants. aPKC is shown in blue, Mts (α-tub) are shown in red (and gray), and phospho-H3 is shown is green. Bar, 10 µm.
Ensconsin is a mitotic spindle-associated protein that stimulates Mt growth in S2 cells and in vitro
We analyzed the distribution of Ensconsin by staining dividing Drosophila embryos with purified antibodies. Ensconsin colocalized with the mitotic apparatus during early development (Fig. S3 B). Furthermore, studies of a functional Drosophila line ubiquitously expressing the GFP-tagged Ensconsin confirmed the colocalization of Ensconsin-GFP with the Mt network and the mitotic spindle during Nb cell division and in early embryos (Fig. S3, C and D; and Video 10).
Localization of Ensconsin-GFP during mitosis in Nb. Brains expressing Ensconsin-GFP (in an ensc-null background) were dissected and gently squashed in PBS. Images were acquired every 30 s with a spinning-disk system mounted on an inverted microscope (Eclipse Ti; Nikon). Time is shown as minutes:seconds. Bar, 10 µm.
Localization of Ensconsin-GFP during mitosis in Nb. Brains expressing Ensconsin-GFP (in an ensc-null background) were dissected and gently squashed in PBS. Images were acquired every 30 s with a spinning-disk system mounted on an inverted microscope (Eclipse Ti; Nikon). Time is shown as minutes:seconds. Bar, 10 µm.
Consistent with the Ensconsin-dependent stimulation of Mt growth during M phase, S2 cells with higher Ensconsin levels formed longer spindles (10.9 ± 2.1 µm, n = 26) than control cells (7.8 ± 1.0 µm, n = 56; Fig. 5, A and B). In a complementary experiment, we assessed the impact of Ensconsin activity on Mt polymerization in vitro, using purified porcine brain tubulin and recombinant Ensconsin (Fig. 5 C) in a turbidity assay, to determine whether this protein could modify the Mt polymerization rate in vitro (Weis et al., 2010; Gaskin, 2011). Ensconsin stimulated Mt polymerization in a dose-dependent manner (Fig. 5 D). This function is entirely consistent with a lower Mt velocity in the deletion mutant and with a longer spindle length in conditions of Ensconsin overexpression.
Ensconsin promotes Mt growth in cells and in vitro. (A) Ensconsin (Ensc) overproduction in mitotic S2 cells led to the formation of longer spindles. Ensconsin-GFP is green (gray in the panels on the right) and Mts are shown in red (gray in the middle panels). Exogenous Ensconsin-GFP is localized on the mitotic spindle during mitosis. Bar, 10 µm. (B) Analysis of mitotic spindle length in WT (n = 56) and Ensconsin-GFP–overexpressing mitotic S2 cells (n = 26). ***, P = 5.1 × 10−11. (C) Recombinant Ensconsin purified, separated by SDS-PAGE, and stained with Coomassie blue. (D) Effect of Ensconsin on Mt polymerization in vitro. Purified porcine brain tubulin was mixed with polymerization buffer supplemented with either PBS or PBS containing Ensconsin on ice. Mt polymerization was induced by heating at 35°C. Absorbance at 350 nm was monitored to evaluate the formation of Mt polymers. After 28 min, the samples were shifted to 0°C to estimate protein aggregation. Ensconsin increased the rate of Mt polymerization and the total number of polymers in a dose-dependent manner (red curves), as shown by comparison with buffer alone (black curve).
Ensconsin promotes Mt growth in cells and in vitro. (A) Ensconsin (Ensc) overproduction in mitotic S2 cells led to the formation of longer spindles. Ensconsin-GFP is green (gray in the panels on the right) and Mts are shown in red (gray in the middle panels). Exogenous Ensconsin-GFP is localized on the mitotic spindle during mitosis. Bar, 10 µm. (B) Analysis of mitotic spindle length in WT (n = 56) and Ensconsin-GFP–overexpressing mitotic S2 cells (n = 26). ***, P = 5.1 × 10−11. (C) Recombinant Ensconsin purified, separated by SDS-PAGE, and stained with Coomassie blue. (D) Effect of Ensconsin on Mt polymerization in vitro. Purified porcine brain tubulin was mixed with polymerization buffer supplemented with either PBS or PBS containing Ensconsin on ice. Mt polymerization was induced by heating at 35°C. Absorbance at 350 nm was monitored to evaluate the formation of Mt polymers. After 28 min, the samples were shifted to 0°C to estimate protein aggregation. Ensconsin increased the rate of Mt polymerization and the total number of polymers in a dose-dependent manner (red curves), as shown by comparison with buffer alone (black curve).
In conclusion, our study reveals a dual role for Ensconsin. First, during interphase, this protein promotes centrosome separation and positioning through cooperation with its binding partner, Kinesin-1. Second, it stimulates Mt growth during mitosis, independent of Kinesin-1.
Human Ensconsin/MAP7/EMAP115 was first discovered two decades ago, and was described as a MAP that “ensconces” on Mts (Bulinski and Bossler, 1994). The data presented here reveal previously unidentified roles for this known MAP in the regulation of mitotic and interphase Mt–based processes. Further studies are required to determine how a single MAP can contribute to such different activities during the cell cycle.
Materials and methods
Mt co-sedimentation assay
Canton-S fly populations were amplified, maintained, and fed in population cages with fresh yeast on agar plates twice daily for 5 d. We collected 0–2-h-synchronized embryos, a time period corresponding to syncytial division. In parallel, flies were allowed to lay eggs for 15 h and the collected embryos were left for an additional 2 h to allow the last embryos laid to reach the blastula stage. This protocol discriminates between the dividing/mitotic and differentiating/interphase stages. We disrupted 1 g of mitotic and interphase embryos by passage through a French press in a total volume of 2 ml of lysis buffer (LB: 20 mM Hepes, pH 7.4,150 mM KCl, 1 mM MgCl2, 1 mM EDTA, and 0.5% NP-40) supplemented with protease inhibitor and phosphatase inhibitor cocktails, prepared according to the manufacturer’s instructions (Roche). The crude extracts were filtered and centrifuged for 15 min at 15,000 g. The resulting supernatant (∼1.2 ml) was centrifuged at 100,000 g for 25 min at 4°C to remove insoluble materials. These mitotic and interphase supernatants, obtained by high-speed centrifugation, were supplemented with 1 mM GTP and 20 µM taxol, and incubated for 20 min at 25°C. The polymerized Mts and MAPs were then recovered by centrifugation for 20 min at 100,000 g and 25°C on a glycerol cushion (BRB80: 80 mM Pipes, 1 mM EGTA supplemented with 40% glycerol, 1 mM GTP, and 20 µM taxol). The Mt pellets were washed gently twice with BRB80 and suspended in Laemmli sample buffer supplemented with 5% β-mercaptoethanol.
Liquid chromatography/tandem mass spectrometry (LC-MS/MS)
MAPs were resolved by SDS-PAGE in 4–12% XT Bis-Tris polyacrylamide gradient gels (Bio-Rad Laboratories). The gel was stained with SYPRO Ruby gel stain according to the manufacturer’s instructions (Bio-Rad Laboratories). A Geliance charge-coupled device (CCD)–based imaging system (PerkinElmer) was used for image acquisition.
The lanes on the SDS-PAGE gel corresponding to mitotic and interphase/differentiating embryo extracts were cut into 20 gel slices per lane with a disposable lane picker (Gel Company). Gel slices were deposited in 96-well plates. A liquid handling station (MassPrep; Waters) was used, with sequencing-grade modified trypsin (Promega) according to the manufacturer’s instructions, for in-gel protein digestion. Peptide extracts were then dried by evaporation in a SpeedVac (Thermo Fisher Scientific).
LC-MS/MS experiments were performed with an LTQ linear ion trap mass spectrometer connected to a Thermo Surveyor MS pump and equipped with a nanoelectrospray ion source (all from Thermo Fisher Scientific). The peptides were separated in a 10-cm-long PicoFrit BioBasic C18 column with an internal diameter of 0.075 mm (New Objective), with a linear gradient extending from 2 to 50% solvent B (acetonitrile, 0.1% formic acid) over a period of 30 min, at a flow rate of 200 nl/min. Mass spectra were acquired in the data-dependent acquisition mode (Xcalibur software, version 2.0). Each full-scan mass spectrum (m/z 400–2000) was followed by the collision-induced dissociation of the seven ions giving the most intense signals. The dynamic exclusion function was enabled (30 s of exclusion), and the relative collisional fragmentation energy was set at 35%.
All MS/MS spectra were analyzed with Mascot (version 2.4.0; Matrix Science), set up to search against a Drosophila UniRef100 protein database (33,950 entries as of November 2012), assuming digestion with trypsin. The fragment and parent ion mass tolerances were 0.5 D and 2.0 D, respectively. The carbamidomethylation of cysteine was specified as a fixed modification, and the oxidation of methionine and phosphorylation on serine, threonine, and tyrosine were specified as variable modifications. Two missed cleavages were allowed.
Scaffold (version 3.6.2; Proteome Software, Inc.) was used to sum spectral counts, to validate MS/MS-based peptide and protein identifications, and to group peptides into proteins. Peptide identifications were accepted if they could be established with a probability >95%, as specified by the Peptide Prophet algorithm (Nesvizhskii et al., 2003), and contained at least two identified peptides. Protein probabilities were assigned by the Protein Prophet algorithm (Keller et al., 2002). Proteins that contained similar peptides and could not be differentiated on the basis of MS/MS analysis alone were grouped to satisfy the principles of parsimony. Semiquantitative spectral count analysis results obtained with Scaffold provide an estimate of relative protein abundance between conditions. Enrichment ratios were calculated from spectral count information for interphase extracts.
Functional enrichment analysis and network analysis
We used Cytoscape 2.8.3 and BiNGO version 2.44 to identify biological processes overrepresented among the proteins classified into mitotic, general, or interphasic MAPs (Shannon et al., 2003; Maere et al., 2005). We used BiNGO with the GO Slim Generic Gene Ontology Annotation. The significance threshold was set at P = 0.05 (hypergeometric test, Benjamini and Hochberg family-wise error rate correction).
Plasmid constructs
All constructs were based on isoform B of Ensconsin, which has been shown to rescue ensc mutants (Sung et al., 2008). All cloning procedures were performed with the Gateway system (Life Technologies) and the clones were checked by sequencing. Full-length Ensconsin, the N-terminal Mt-binding domain/Ensconsin homology region 1 domain (MBD/EHR1), and the conserved C-terminal EHR2 domain were amplified by PCR and inserted into the pENTR/TOPO vector (Life Technologies) to create the entry clones from PCR products: full-length Ensconsin (Ensc-FL), without a STOP codon, with the primers 5′-CACCAATATGGCGAGTCTTGGGGGCCAACAC-3′ and 5′-CAGCAGCGATATATCTTTATTTTCGTGAC-3′; an N-terminal fragment containing the EHR1 domain (Ensc-EHR1), with the primers 5′-CACCAATATGGCGAGTCTTGGGGGCCAACAC-3′ and 5′-CGGAGGTTCCCGCTTCGAAGGCGTCTTC-3′; and a C-terminal fragment containing the EHR2 fragment (Ensc-EHR2), with the primers 5′-CACCATGCAGGCTGCGCCCAAGAAACCATCGC-3′ and 5′-CAGCAGCGATATATCTTTATTTTCGTGAC-3′.
Ensc-FL, Ensc-EHR1, and Ensc-EHR2 were also inserted into pET102/TOPO (Life Technologies) to generate hexahistidine (6X-HIS)-tagged constructs. Ensc-EHR1 and Ensc-EHR2 were also recombined in pMT-DEST48. Ensc-FL-GFP was amplified by PCR with the primers 5′-GCAATGGCGAGTCTTGGGG-3′ and 5′-AATCTTGTACAGCTCGTCCATGC-3′ and inserted directly into pMT/V5-His-TOPO.
Isoform E of EB1 was amplified by PCR with the oligonucleotides 5′-CACCAACATGGCTGTAAACGTCTACTCC-3′ and 5′-ATACTCCTCGTCCTCTGGTGG-3′ and inserted into pENTR/TOPO.
The open reading frames encoding EB1 and Ensconsin were introduced into pUWG with Gateway technology (Invitrogen) to produce the constructs pUWG-EB1 and pUWG-Ensc used for fly transformation, allowing the ubiquitous expression of GFP-tagged proteins.
Fly strains
Flies were maintained under standard conditions at 25°C. Transgenic flies with the following genotypes were used for RNAi: TubGAL80ts;69B-GAL4 and 69B-GAL4. Transgenic flies carrying UAS and hairpin sequences were obtained from the Vienna Drosophila RNAi Center (Dietzl et al., 2007). Flies expressing the full-length EB1-GFP and full-length Ensconsin-GFP constructs were used for time-lapse imaging. They were obtained from BestGene Inc. after P-element–mediated transformation with the pUWG-EB1 and pUWG-Ensc vectors. The Ensconsin-GFP transgene conferred early rescue of the viability of ensc mutants. Asterless-YFP (Asl)-expressing flies (Rebollo et al., 2007) were provided by C. Gonzalez (Institute for Research in Biomedicine, Barcelona, Spain). Khc mutant flies carrying amino-acid substitutions have been described elsewhere (Djagaeva et al., 2012) and were provided by A. Guichet (Institut Jacques Monod, Paris, France), B. Saxton (University of California, Santa Cruz, Santa Cruz, CA), and A. Ephrussi (European Molecular Biology Laboratory, Heidelberg, Germany). A combination of Khc27 (null allele) and Khc63 (hypomorphic allele) was used in this study. The strains expressing mCherry–α-tubulin and GFP-Sas-4 were provided by R. Basto (Institut Curie, Paris, France) and M. Bettencourt-Dias (Instituto Gulbenkian de Ciencia, Oeiras, Portugal), respectively. The ensconsin mutant fly stocks enscΔC (C-terminal deletion), enscΔN (N-terminal deletion), and enscΔnull (full gene deletion, referred to as ensc) were described in the Results and discussion section, obtained by P-element excision, and were provided by P. Rorth (Institute of Molecular and Cell Biology, Singapore; Sung et al., 2008). β-tubulin–GFP flies (Inoue et al., 2004) were provided by M. Savoian and D. Glover (University of Cambridge, Cambridge, England, UK). Jupiter-GFP and the sas-4s2214 mutant (Basto et al., 2006) were obtained from the Bloomington Drosophila Stock Center. With the exception of Jupiter-GFP, which is a trap line with expression under the control of its own promoter (Morin et al., 2001), all GFP and CherryFP fusion proteins were ubiquitously produced under the control of the polyubiquitin promoter.
RNAi in the brain
TUB-GAL80ts; 69B-GAL4 females were crossed with transgenic males carrying UAS-RNAi constructs for the candidate genes. After 6 d at 20°C, the adults were removed and the vials were shifted to 29°C to induce RNAi for 3 d. Brains from five wandering third-instar larvae were then dissected and fixed for immunostaining. In parallel, at least five brains were squashed and stained with 1 µg/ml DAPI for the visualization of chromosome abnormalities (Donaldson et al., 2001).
Production of recombinant proteins and antibody
The vectors pET102-Ensc-FL, pET102-Ensc-EHR1, and pET102-Ensc-EHR2 were transformed in Escherichia coli BL21 (DE3). The production of the Ensc-FL, Ensc-EHR1, and Ensc-EHR2 fragments was induced by incubation with 1 mM IPTG for 4 h at 25°C. 6×-HIS–tagged proteins were purified on Ni-NTA resin (QIAGEN) and dialyzed overnight against PBS at 4°C. The purified Ensconsin EHR1 and EHR2 domains present in all Ensconsin isoforms were generally used for the immunization of rabbits for polyclonal antibody production (Eurogentec). For in vitro Mt polymerization assays, Ensc-FL was concentrated on Amicon concentrators (molecular weight cutoff 50 kD) to a final concentration of 30 µM in PBS (EMD Millipore).
Immunofluorescence analysis
S2 cells were plated on concanavalin A–coated coverslips and incubated for 1 h, then fixed by incubation in methanol for 10 min at −20°C. The fixed cells were processed for IF analyses as described previously (Romé et al., 2010). Slides were mounted in ProLong Gold antifading mounting medium (Life Technologies) and observed under an upright DMRXA fluorescence microscope (Leica) equipped with a 63× 1.3 NA objective lens. Images were acquired with a CCD camera (CoolSNAP HQ; Photometrics) and processed with MetaMorph software (Universal Imaging).
For the analysis of spindle morphology in brain Nbs, we found that the following protocol fully preserved the Mt cytoskeleton during mitosis more effectively than the use of the standard PBS-derived fixative. For whole-mount CNS immunostaining, third-instar larval brains were dissected in testis buffer (TB: 183 mM KCl, 47 mM NaCl, 10 mM Tris, and 1 mM EDTA, pH 6.8; Bonaccorsi et al., 2011) and fixed by incubation in TBF (TB supplemented with 10% formaldehyde and 0.01% Triton X-100) for 20 min at 25°C.
Fixed brains were rapidly washed once in PBS and twice in 0.1% Triton X-100 in PBS (PBST) for 10 min each time. The fixed tissue was incubated overnight at 4°C with primary antibodies in PBST supplemented with 1% BSA (PBSTB). The samples were washed twice, for 15 min each time, in PBST, and were then incubated for 1 h at room temperature with secondary antibodies in PBSTB. They were washed twice, for 15 min each time, in PBST, then mounted on slides in ProLong Gold and observed with a SP5 confocal microscope (Leica) equipped with a 63× objective lens (NA 1.40). Images were acquired and processed with ImageJ software.
For the Mt regrowth assay in Nbs, we followed a method previously used to study misato, with several modifications (Mottier-Pavie et al., 2011). Brains were dissected in Schneider’s medium supplemented with 10% FCS and incubated on ice for 30 min to allow complete Mt depolymerization in a total volume of 50 µl of Schneider’s medium. Depending on the genotype analyzed, Mt regrowth was induced at various time points by incubating the samples in a water bath at 25°C. Fixation is triggered by adding 500 µl of TBF and incubating for 20 min at 25°C. Brains were then processed for immunostaining. The experiment was performed at least three times and at least 20 spindles were analyzed for each experiment.
Antibodies and Western blotting
The monoclonal YL1/2 rat anti-detyrosinated tubulin antibody (1:200) and the mouse monoclonal and rabbit polyclonal antiphosphorylated histone H3 (Ser10) antibodies (1:500) were obtained from EMD Millipore. The anti-GFP mouse monoclonal antibody (1:1,000) was obtained from Roche, the rabbit anti-PKCζ (C-20; 1:200) and rabbit anti-actin (1:4,000) polyclonal antibodies were obtained from Santa Cruz Biotechnology, Inc., the mouse monoclonal anti-V5 antibody was obtained from Life Technologies (1:3,000), and the rabbit polyclonal anti-Khc antibody (1:2,000) was obtained from Cytoskeleton, Inc. The rabbit polyclonal anti-centrosomin antibody (1:1,000) was provided by T. Megraw (Florida State University, Tallahassee, FL; Megraw et al., 2001). The affinity-purified rabbit anti-Mad2 polyclonal antibody (1:500) was provided by D. Sharp (Albert Einstein College of Medicine, Bronx, NY). The rabbit polyclonal anti-Ensconsin antibody was affinity purified from antigens (EH1 and EH2) immobilized on nitrocellulose membrane and used at a concentration of 1 µg/ml according to a protocol described previously (Montembault et al., 2007). Goat secondary peroxidase-conjugated antibodies (1:5,000) were obtained from Jackson ImmunoResearch Laboratories, and donkey Alexa Fluor–conjugated secondary antibodies (1:1,000) were obtained from Life Technologies. For Western blotting, ECL reagent was purchased from Thermo Fisher Scientific.
Live microscopy
Brains expressing the various labeled proteins were dissected in Schneider’s Drosophila medium containing 10% FCS. Isolated brains were loaded and mounted on stainless steel slides with fat bodies dissected from WT larvae (Siller et al., 2005). The preparations were sealed with mineral oil (Sigma-Aldrich). Images were acquired with a spinning-disk system mounted on an inverted microscope (Eclipse Ti; Nikon) equipped with a 60× 1.4 NA objective lens at 25°C. Z series were acquired every 30 or 60 s with a CCD camera (CoolSNAP HQ2; Photometrics) and a digital camera (sCMOS ORCA Flash 4.0; Hamamatsu Photonics) controlled by MetaMorph acquisition software version X. Images were processed with ImageJ software and are presented as maximum-intensity projections. The mother and daughter centrosomes can be unambiguously distinguished on the basis of their different Mt nucleation potentials after separation, after cytokinesis, or immediately before mitosis (Rebollo et al., 2007).
For Mt end tracking in Nbs, WT and ensc mutant brains expressing EB1-GFP were gently squashed in 13.4 µl of fresh Schneider’s media (Invitrogen), between a slide and a 22 × 22-mm coverslip, and the excess medium was absorbed with filter paper. The preparation was sealed with mineral halocarbon oil 700 (Sigma-Aldrich) to immobilize it and to prevent cell movement during imaging. Mitotic Nbs were imaged every 0.5 s for 1 min at 25°C, with a 100× 1.4 NA objective lens.
At least 16 mitotic prometaphase Nbs were imaged for comet tracking.
The Mt ends were tracked with the single-particle tracking routine available in Icy image analysis software (Olivo-Marin, 2002; Chenouard et al., 2013). The routine parameters were adjusted for the detection and tracking of most of the Mt ends. Nevertheless, because of the high density of Mts, we observed frequent erroneous merging of tracks corresponding to different Mt ends. These errors were filtered out with a customized Matlab (MathWorks) routine. The crude tracks were first broken at track steps characterized by an instantaneous speed of >0.78 µm/s, probably corresponding to erroneous jumps between different Mt tracks. They were also broken at positions at which a change in track direction of >60° was observed. We retained only the remaining filtered tracks corresponding to at least three time points and we estimated the growing speed for each track by averaging the instantaneous speeds along the track.
Cell culture and transfection
S2 cells were transiently transfected as described previously, and protein production was induced by incubation with 0.3 mM CuSO4 for 24 h (Romé et al., 2010).
Mt self-assembly and turbidity assays
A 40-µM solution of tubulin purified from porcine brain was prepared in 1 mM GTP in BRB80, and centrifuged for 10 min at 30,000 g, at 4°C, before assembly (Weis et al., 2010). Tubulin polymerization was induced by incubating the samples at 35°C and was monitored turbidimetrically, at 350 nm, with a UVIKON XS spectrophotometer (BioTek Instruments). We evaluated Ensconsin activity by adding various concentrations of the recombinant protein to tubulin (1.5 and 3 µM). For each experiment, the temperature was shifted to 4°C after 28 min of recording to estimate the degree of protein aggregation after assembly (Weis et al., 2010). Spectrophotometric curves were corrected so as to reflect only Mt polymerization.
Statistical analysis
Differences between datasets were assessed in a nonparametric test (Mann-Whitney-Wilcoxon), with values of P < 0.001 considered significant.
Online supplemental material
Fig. S1 shows the screening strategy used in this study. Fig. S2 demonstrates that the SAC is required for viability and to prevent chromosome segregation defects after Ensc RNAi. Fig. S3 shows the specificity of the Ensconsin antibody and Ensconsin localization. Table S1 summarizes the phenotypes obtained after RNAi for 18 putative mitotic regulators. Table S2 shows the proteins associated with mitotic and interphase Mt pellets, respectively, and their relative abundance. Table S3 shows the proteins screened in this study. Video 1 shows WT dividing Nbs. Video 2 shows dividing ensc mutant Nbs with short spindles. Video 3 shows ensc dividing Nbs with centrosome positioning and separation defects. Video 4 shows a WT Nb, expressing labeled centrosomes and Mts, between two consecutive mitoses. Video 5 shows the centrosome separation defects in an ensc mutant during interphase and the defective daughter centrosome inheritance. Video 6 shows the centrosomes and the Mts in a WT Nb. Video 7 demonstrates the defective centrosome separation, positioning, and inheritance defect but normal spindle assembly in khc mutants. Video 8 shows the Mt dynamics in WT and ensc mitotic Nbs. Video 9 shows the short spindle formation in the absence of centrosome and in the absence of both centrosome and Ensconsin. Video 10 reveals the Ensconsin-GFP fusion protein association with Mts in a dividing Nb and surrounding cells. Supplemental file 1, entitled “trajfilt,” corresponds to the source code of the routine used to filter the trajectories of the Mt ends obtained from the single particle tracking routine available on the Icy image analysis software. Supplemental file 2, entitled “trajfilt_batch,” corresponds to the source code of the routine which allows batching the filtering of the Mt end trajectories.
Analysis of centrosome separation between two consecutive mitoses in WT Nbs. Nbs from WT brains expressing β-tubulin–GFP (for Mt labeling) and asterless-YFP (for centriole labeling). Z series were acquired every 60 s, with a spinning-disk system mounted on an inverted microscope (Eclipse Ti; Nikon). Note that the two centrosomes start to split and separate during cytokinesis. Full separation is achieved before NEBD. The daughter centrosome is immobile on the apical side, retains Mt nucleation capacity, and is inherited by the Nb. The mother centrosome loses its Mt nucleation potential and migrates to the opposite side of the cell and is inherited by the GMC. Time is shown in hours:minutes:seconds. Bar, 10 µm.
Analysis of centrosome separation between two consecutive mitoses in WT Nbs. Nbs from WT brains expressing β-tubulin–GFP (for Mt labeling) and asterless-YFP (for centriole labeling). Z series were acquired every 60 s, with a spinning-disk system mounted on an inverted microscope (Eclipse Ti; Nikon). Note that the two centrosomes start to split and separate during cytokinesis. Full separation is achieved before NEBD. The daughter centrosome is immobile on the apical side, retains Mt nucleation capacity, and is inherited by the Nb. The mother centrosome loses its Mt nucleation potential and migrates to the opposite side of the cell and is inherited by the GMC. Time is shown in hours:minutes:seconds. Bar, 10 µm.
Analysis of centrosome separation in WT Nb. Nbs from WT brains expressing mCherry–α-tubulin (for Mt labeling, displayed in white) and GFP-Sas4 (for centriole labeling, displayed in yellow). Z series were acquired every 30 s, with a spinning-disk system mounted on an inverted microscope (Eclipse Ti; Nikon). Time is shown in minutes:seconds. Bar, 10 µm.
Analysis of centrosome separation in WT Nb. Nbs from WT brains expressing mCherry–α-tubulin (for Mt labeling, displayed in white) and GFP-Sas4 (for centriole labeling, displayed in yellow). Z series were acquired every 30 s, with a spinning-disk system mounted on an inverted microscope (Eclipse Ti; Nikon). Time is shown in minutes:seconds. Bar, 10 µm.
Analysis of centrosome separation and mitotic spindle assembly in Khc27/khc63 Nbs. Nbs from WT brains expressing mCherry–α-tubulin (for Mt labeling, displayed in white) and GFP-Sas4 (for centriole labeling, displayed in yellow). Z series were acquired every 30 s, with a spinning-disk system mounted on an inverted microscope (Eclipse Ti; Nikon). Centrosome splitting was normal, but separation was not. The movie on the right shows a cell in which the daughter centrosome (identified on the basis of its stronger Mt nucleation potential) is inherited by the GMC rather than the Nb. Time is shown in minutes:seconds. Bars, 10 µm.
Analysis of centrosome separation and mitotic spindle assembly in Khc27/khc63 Nbs. Nbs from WT brains expressing mCherry–α-tubulin (for Mt labeling, displayed in white) and GFP-Sas4 (for centriole labeling, displayed in yellow). Z series were acquired every 30 s, with a spinning-disk system mounted on an inverted microscope (Eclipse Ti; Nikon). Centrosome splitting was normal, but separation was not. The movie on the right shows a cell in which the daughter centrosome (identified on the basis of its stronger Mt nucleation potential) is inherited by the GMC rather than the Nb. Time is shown in minutes:seconds. Bars, 10 µm.
Acknowledgments
We would like to thank D. Glover, M. Savoian, C. Gonzalez, T. Megraw, D. Sharp, D. Buster, A. Guichet, W. Saxton, R. Basto, A. Ephrussi, M. Bettencourt-Dias, and P. Rorth for fly stocks and antibodies. We thank M. Savoian, C. Benaud, and S. Giet for critical reading of the manuscript. We thank Drs. A. Royou and E. Montembault for helpful discussions.
This work was funded by the Ligue Nationale Contre le Cancer, l’Association de la Recherche contre le Cancer, Biosit, and the University of Rennes 1. This work was supported by the Canadian Institutes of Health Research (grant No. MO-178013 to GGP). The authors wish to thank the Proteomics Platform of Quebec Genomic Center for analytical services and the Microscopy Rennes Imaging Center. G.G. Poirier holds a Canada Research Chair in Proteomics. E. Gallaud and R. Caous are doctoral fellows of the Région Bretagne and the French Ministry of Research, respectively.
The authors declare no competing financial interests.
References
- CNS
central nervous system
- dsRNA
double-stranded RNA
- EHR
Ensconsin homology region
- GMC
ganglion mother cell
- Khc
kinesin heavy chain
- Kt
kinetochore
- LC-MS/MS
liquid chromatography/tandem mass spectrometry
- MAP
Mt-associated protein
- Mt
microtubule
- Nb
neuroblast
- NEBD
nuclear envelope breakdown
- SAC
spindle assembly checkpoint
- WT
wild type

