Whether, to what extent, and how the axons in the central nervous system (CNS) can withstand sudden mechanical impacts remain unclear. By using a microfluidic device to apply controlled transverse mechanical stress to axons, we determined the stress levels that most axons can withstand and explored their instant responses at nanoscale resolution. We found mild stress triggers a highly reversible, rapid axon beading response, driven by actomyosin-II–dependent dynamic diameter modulations. This mechanism contributes to hindering the long-range spread of stress-induced Ca2+ elevations into non-stressed neuronal regions. Through pharmacological and molecular manipulations in vitro, we found that actomyosin-II inactivation diminishes the reversible beading process, fostering progressive Ca2+ spreading and thereby increasing acute axonal degeneration in stressed axons. Conversely, upregulating actomyosin-II activity prevents the progression of initial injury, protecting stressed axons from acute degeneration both in vitro and in vivo. Our study unveils the periodic actomyosin-II in axon shafts cortex as a novel protective mechanism, shielding neurons from detrimental effects caused by mechanical stress.
Introduction
Sudden mechanical impacts to the head can result in traumatic brain injury (TBI) (Povlishock and Katz, 2005), with incurable diffuse axonal injury (DAI) being the most common pathology (Adams et al., 1989; Johnson et al., 2013). Axons from the white matter of the central nervous system (CNS) are long and thin fibers with parallel orientations, making them susceptible to mechanical insults (Braun et al., 2020; Cavanagh, 1984; Rishal and Fainzilber, 2014; Tang-Schomer et al., 2010). However, it remains unclear how CNS axons manage to withstand mild mechanical stress, which causes 3–5% deformation of the brain tissue during daily activities and contact sports, without incurring injury (Funk et al., 2011; Knutsen et al., 2020). Recent experimental data demonstrate that CNS axons exhibit a significant ability to resist both axial and transverse stress (Gu et al., 2017; Li et al., 2019; Tang-Schomer et al., 2010). Remarkably, axons undergoing stress exhibit a distinctive “string of beads” morphology, characterized by axon beads (varicosities), which intriguingly revert within minutes (Gu et al., 2017). Despite such a plastic axonal response indicating resilience to stress, its underlying mechanism and physiological significance remain elusive.
The morphological plasticity of the axon attributes significantly to its unique subcortical cytoskeleton (Leterrier et al., 2015; Prokop, 2020), which is characterized by a membrane-associated periodic structure (MPS) that comprises periodically distributed F-actin rings, interlinking spectrin tetramers, non-muscle myosin II (NM-II) motors, and other actin-associated proteins (D’Este et al., 2015; Xu et al., 2013; Zhou et al., 2022). While the spectrin-actin lattices provide the passive longitudinal elasticity (Dubey et al., 2020; Krieg et al., 2017), the actomyosin-II, composed of NM-II motor and F-actin, actively drives radial contraction of the axon cortex, maintaining the axon’s diameter (Costa et al., 2020; Smith et al., 2018; Wang et al., 2020a). Recently, studies have demonstrated that the axon cortex plays a crucial role in shielding the axon during force loading, thereby protecting its deeper structures by buffering the mechanical impacts loaded onto the axon surface (Chai et al., 2023; Dubey et al., 2020; Kant et al., 2021; Zhang et al., 2019). However, it remains unclear whether the periodic actomyosin-II is involved in the resistive responses of the axon cortex to mechanical stress.
The influx of Ca2+ via lesion is the crucial instant signal underlying the primary axonal injury caused by stress (Gaub et al., 2020; Gu et al., 2017; Pan et al., 2022; Witte et al., 2019; Wolf et al., 2001). Failure to promptly suppress the elevated Ca2+ in the stressed axon results in a sustained Ca2+ surge originating from the lesion sites, evolving into a more robust second wave that spreads throughout the entire neuron (Vargas et al., 2015). This long-range Ca2+ propagation is destructive, transmitting damage signals to other intact neuronal regions (Mu et al., 2015), where it activates calpains and caspases, leading to cytoskeleton proteolysis and initiating secondary injury (Ma, 2013), ultimately causing acute axonal degeneration (AAD), characterized by rapid fragmentation of stressed axons (Shin et al., 2012; Wang et al., 2012). Restricting Ca2+ spread beyond the lesion is crucial to prevent AAD. However, whether the long-range transmission of stress-induced Ca2+ can be modulated en route remains unknown.
To address these critical questions, we developed an Axon-on-a-Chip (AoC) (Pan et al., 2022) to investigate how CNS axons survive mild mechanical stresses. We found that mild stress induces immediate cellular responses in both axonal and somatodendritic areas of the neuron, including beading and local Ca2+ elevation. Remarkably, only axonal responses display high reversibility. This stress-induced reversible axonal beading process is driven by actomyosin-II–dependent diameter modulations, impacting axon trafficking, but more importantly, it also hinders the long-range propagation of elevated Ca2+ beyond the stressed axonal region. Inhibiting actomyosin-II activity abolishes axon beading, exacerbating the flux-induced axonal injury and ensuing degeneration. Conversely, upregulating actomyosin-II activity exhibits a protective effect both in vitro and in mice with mild TBI (mTBI). This study reveals the novel mechanoprotective role of periodic actomyosin-II in the axon cortex, enabling the slender axon fiber to withstand mild mechanical challenges.
Results
The instant responses of axon shafts to mild mechanical stress are highly reversible
To explore the function and mechanism underlying the reversible axonal beading induced by mild mechanical stress, we employed the three-chamber microfluidic AoC device (Pan et al., 2022), with rat hippocampal neurons seeded in two soma chambers and axons extended into the central injury channel (Fig. 1 A, right). Neurons were transfected with the F-actin marker Lifeact-GFP (Ganguly et al., 2015) to visualize the dynamic shape changes of the axon cortex (Fig. S1, A and B). Previously, we found transverse stress delivered by 50 µl/min medium flux injected in the central injury channel of the AoC does not result in permanent injury to axons of rat hippocampal neurons cultured in vitro for 8 days (DIV8) (Pan et al., 2022). To investigate the responses of other neuronal parts to mild stress, instead of the soma chambers, neurons were seeded in the central injury channel, where mild transverse stress was given via injecting culture medium at 50 µl/min for 180 s, targeting both the somatodendritic and axonal regions of the neuron (Fig. 1 B). Instant cellular responses were captured by live-imaging confocal microscopy (Fig. 1 C and Video 1). We observed significant beading and Ca2+ elevating, reflected by the intensity changes of Ca2+ sensor GCaMP-6f, in both dendrites and axons (Fig. 1, D and E). However, compared with the persisting responses in somatodendritic regions (Fig. 1, D and E, red), the axonal responses are significantly more reversible, marked by the faster recovery of beads (Fig. 1 D, blue) and Ca2+ surges (Fig. 1 E, blue) after flux. To assess the reversibility of these responses, we introduced the reversibility index (Ir) calculated by quantifying the ratio of recovered beads to total beads (Fig. S1 C). We found that the Ir for both beads (Fig. 1 F) and Ca2+ surges (Fig. 1 G) in axons were significantly higher than those in dendrites. These results indicate mild mechanical stress induces highly reversible instant responses, marked by beading and Ca2+ surges, particularly in axons.
Mechanical stress induces reversible axonal beading process in vitro and in vivo. (A) Schematic representation of the axonal resistance hypothesis (middle), the mechanical stress brain (left), and the AoC device (right). The axonal resistance hypothesis suggests that mild mechanical impacts to the head can activate intrinsic resistance mechanisms in axons, promoting recovery. The AoC device applies transverse stress to axons by injecting culture medium at varying flow rates, mimicking different levels of head impact stress. (B) Modified AoC device for stress on the somatodendritic region. In the microfluidic device with three chambers attached to a glass-bottom dish, neurons were seeded into the central injury chamber (blue), instead of the two reservoirs (red). Bar = 0.5 cm. (C) Representative images of neurons within the central injury chamber, with axons (blue) and dendrites (red) marked with brackets. The right panels provide magnified views of the bracketed ROIs, revealing beading (top) and the intensity of Ca2+ sensor GCaMP-6f (bottom) dynamics before (0 s), during (35.6 s), and after (783 s) the 180-s flux. The arrowheads highlight the beading regions, which are further magnified in the lower-right insets. Bar = 20 μm. (D) Paired analysis of beading density on axons (N = 44) and dendrites (N = 45). (E) Quantification of Ca2+ fluctuation in beads of stressed axon (blue) and dendrites (red). The flux span is indicated with shades. (F and G)Ir quantification for (F) beading process (N = 39, 44) and (G) Ca2+ intensity (N = 53, 59). (H) Photograph of the immobilized Thy1-YFP transgenic mouse head during mild mechanical stress, with imaging window (blue) and impacted site (red) marked on the skull. Bar = 5 mm. (I) Representative two-photon images showing axon beading before and 5 or 150 min after impact. Boxed ROIs are amplified in bottom panels. Bar = 20 μm (top) and 5 μm (bottom). (J) Paired analysis of beading density in different axon-like processes before and 5 or 150 min after impact (N = 34, 45, 40 axons from four mice). (K) Quantification of the Ir for axon-like processes (N = 30). Data represent mean ± SEM; in D and J, paired two-tailed Student’s t test; in F and G, Mann-Whitney test; ***P < 0.001.
Mechanical stress induces reversible axonal beading process in vitro and in vivo. (A) Schematic representation of the axonal resistance hypothesis (middle), the mechanical stress brain (left), and the AoC device (right). The axonal resistance hypothesis suggests that mild mechanical impacts to the head can activate intrinsic resistance mechanisms in axons, promoting recovery. The AoC device applies transverse stress to axons by injecting culture medium at varying flow rates, mimicking different levels of head impact stress. (B) Modified AoC device for stress on the somatodendritic region. In the microfluidic device with three chambers attached to a glass-bottom dish, neurons were seeded into the central injury chamber (blue), instead of the two reservoirs (red). Bar = 0.5 cm. (C) Representative images of neurons within the central injury chamber, with axons (blue) and dendrites (red) marked with brackets. The right panels provide magnified views of the bracketed ROIs, revealing beading (top) and the intensity of Ca2+ sensor GCaMP-6f (bottom) dynamics before (0 s), during (35.6 s), and after (783 s) the 180-s flux. The arrowheads highlight the beading regions, which are further magnified in the lower-right insets. Bar = 20 μm. (D) Paired analysis of beading density on axons (N = 44) and dendrites (N = 45). (E) Quantification of Ca2+ fluctuation in beads of stressed axon (blue) and dendrites (red). The flux span is indicated with shades. (F and G)Ir quantification for (F) beading process (N = 39, 44) and (G) Ca2+ intensity (N = 53, 59). (H) Photograph of the immobilized Thy1-YFP transgenic mouse head during mild mechanical stress, with imaging window (blue) and impacted site (red) marked on the skull. Bar = 5 mm. (I) Representative two-photon images showing axon beading before and 5 or 150 min after impact. Boxed ROIs are amplified in bottom panels. Bar = 20 μm (top) and 5 μm (bottom). (J) Paired analysis of beading density in different axon-like processes before and 5 or 150 min after impact (N = 34, 45, 40 axons from four mice). (K) Quantification of the Ir for axon-like processes (N = 30). Data represent mean ± SEM; in D and J, paired two-tailed Student’s t test; in F and G, Mann-Whitney test; ***P < 0.001.
Parameter setups for AoC are compatible with live-imaging confocal microscopy and SIM to capture instant cellular responses during transverse stress. (A) Representative image illustrating flux-stressed axons of neurons co-expressing the F-actin marker Lifeact-GFP and the cytosolic marker mCherry. Bar = 10 µm. (B) Line profiles display normalized fluorescence intensity fluctuations in the stressed axons from A. Lifeact-GFP, labeling the axon cortex, exhibits lower fluctuations in significantly contracted or dilated axons than mCherry, which labels the cytosol. (C) The diagram illustrates key parameters for calculating the Ir, formation rate, and recovery rate of the beading process (see Materials and methods). (D) Representative time-lapse images show axonal deformation before (B), during (D), and after (A) the medium flux with indicated flow rates. Automatically detected beading regions (magenta) are shown in the bottom panels. Bar = 10 µm. (E) Representative high-temporal resolution images show the rapid beading formation stage during the initial 4.54 s following the onset of flux, which was set as 0 s. Bar = 5 μm. (F–H) Quantification of (F) peak bead number, (G) formation rate, and (H) recovery rate in response to different flux speeds (N = 11, 58, 20, 47 in F; 10, 66, 19, 59 in G; 11, 69, 20, 57 in H). (I) 3D-SIM images of axons from neurons expressing Lifeact-GFP were rendered into filaments using the Imaris software and displayed as multiple continuous spots with diameter fluctuation color-coded. Bar = 2 µm. (J) The mean axon diameter of I is shown (N = 5 axons). (K) Heatmap showing the frequency distribution of the diameter of an axon during the beading process. (L) The frequency distribution of axonal diameter before, during, and after flux is shown. (M) Quantification of normal axon segments with a diameter between 0.25 and 0.5 μm before, during, and after flux (N = 5 axons). Data represent mean ± SEM; in F and G, Mann-Whitney test; in J and M, paired two-tailed Student’s t test; *P < 0.05, **P < 0.01, ***P < 0.001; n.s., non-significant.
Parameter setups for AoC are compatible with live-imaging confocal microscopy and SIM to capture instant cellular responses during transverse stress. (A) Representative image illustrating flux-stressed axons of neurons co-expressing the F-actin marker Lifeact-GFP and the cytosolic marker mCherry. Bar = 10 µm. (B) Line profiles display normalized fluorescence intensity fluctuations in the stressed axons from A. Lifeact-GFP, labeling the axon cortex, exhibits lower fluctuations in significantly contracted or dilated axons than mCherry, which labels the cytosol. (C) The diagram illustrates key parameters for calculating the Ir, formation rate, and recovery rate of the beading process (see Materials and methods). (D) Representative time-lapse images show axonal deformation before (B), during (D), and after (A) the medium flux with indicated flow rates. Automatically detected beading regions (magenta) are shown in the bottom panels. Bar = 10 µm. (E) Representative high-temporal resolution images show the rapid beading formation stage during the initial 4.54 s following the onset of flux, which was set as 0 s. Bar = 5 μm. (F–H) Quantification of (F) peak bead number, (G) formation rate, and (H) recovery rate in response to different flux speeds (N = 11, 58, 20, 47 in F; 10, 66, 19, 59 in G; 11, 69, 20, 57 in H). (I) 3D-SIM images of axons from neurons expressing Lifeact-GFP were rendered into filaments using the Imaris software and displayed as multiple continuous spots with diameter fluctuation color-coded. Bar = 2 µm. (J) The mean axon diameter of I is shown (N = 5 axons). (K) Heatmap showing the frequency distribution of the diameter of an axon during the beading process. (L) The frequency distribution of axonal diameter before, during, and after flux is shown. (M) Quantification of normal axon segments with a diameter between 0.25 and 0.5 μm before, during, and after flux (N = 5 axons). Data represent mean ± SEM; in F and G, Mann-Whitney test; in J and M, paired two-tailed Student’s t test; *P < 0.05, **P < 0.01, ***P < 0.001; n.s., non-significant.
Mechanical stress triggers significant instant responses in both axonal and somatodendritic regions of neurons, but only the axonal responses are highly reversible. Rat hippocampal neurons transfected with GCaMP-6f were seeded in the central injury chamber of the AoC, and on DIV8, they were subjected to medium flux at 50 µl/min for 180 s. Dynamic morphological changes in axons (1–2#) and dendrites (3–4#) in response to flux-induced stress were captured using time-lapse spinning disc microscopy. The representative video depicts Ca2+ elevation (left, color-coded) and the beading process (right, gray), with the duration of flux indicated by red arrows and a cyan background on the right panel. Magnified ROIs are shown in the right panels. Arrowheads mark several representative beading regions along neurites. Bar = 20 µm (left), 5 µm (right). Video is displayed at 10 frames per second (fps).
Mechanical stress triggers significant instant responses in both axonal and somatodendritic regions of neurons, but only the axonal responses are highly reversible. Rat hippocampal neurons transfected with GCaMP-6f were seeded in the central injury chamber of the AoC, and on DIV8, they were subjected to medium flux at 50 µl/min for 180 s. Dynamic morphological changes in axons (1–2#) and dendrites (3–4#) in response to flux-induced stress were captured using time-lapse spinning disc microscopy. The representative video depicts Ca2+ elevation (left, color-coded) and the beading process (right, gray), with the duration of flux indicated by red arrows and a cyan background on the right panel. Magnified ROIs are shown in the right panels. Arrowheads mark several representative beading regions along neurites. Bar = 20 µm (left), 5 µm (right). Video is displayed at 10 frames per second (fps).
To validate the existence of reversible axonal responses induced by mild mechanical stress in vivo, we developed a mild brain mechanical stress assay in the cortex of head-fixed, anesthetized Thy1-YFP mice. As depicted in Fig. 1 H, imaging windows were positioned on the left primary somatosensory cortex, while the mild impact was applied to its right side using weight-dropping on the closed skull. Using two-photon imaging, we examined the morphology of cortical axons expressing YFP 60 min before and 5 and 150 min after the mechanical stress impact, respectively (see Materials and methods). In layer I of the impacted cortex, most axon-like processes, characterized by vertical branching and lacking dendritic spines, displayed a transient beading phenomenon (Fig. 1 I and Video 2). This beading process peaked immediately after the impacts but recovered within 150 min after impact (Fig. 1 J), showing high reversibility (Ir) closely resembled in vitro observations (Fig. 1 K). Our in vitro and in vivo data collectively demonstrate the highly reversible nature of axonal responses to mild mechanical stress, suggesting the presence of axon-specific mechanisms conferring resilience against such stress.
Mild mechanical stress induces reversible axon beading in vivo. By applying a weight drop onto adjacent brain regions, we induced mild mechanical stress in layer I of the live adult Thy1-YFP mouse brain, establishing a mouse model for mild mechanical stress. Representative Z-stacks of two-photon images illustrate the beading regions before and after the impact (5 min, 150 min) along the axon-like processes in the cortex using a 40× water objective. High-magnification images in the bottom panels depict the detailed morphology of the beads, indicated by yellow arrowheads, along the axon-like processes. Scale bar = 20 µm (top), 5 µm (bottom). Video is displayed at 5 fps.
Mild mechanical stress induces reversible axon beading in vivo. By applying a weight drop onto adjacent brain regions, we induced mild mechanical stress in layer I of the live adult Thy1-YFP mouse brain, establishing a mouse model for mild mechanical stress. Representative Z-stacks of two-photon images illustrate the beading regions before and after the impact (5 min, 150 min) along the axon-like processes in the cortex using a 40× water objective. High-magnification images in the bottom panels depict the detailed morphology of the beads, indicated by yellow arrowheads, along the axon-like processes. Scale bar = 20 µm (top), 5 µm (bottom). Video is displayed at 5 fps.
Radial contraction and dilation jointly drive the rapid beading of stressed axons
We next assessed the threshold of stress intensity that axons can withstand by evaluating the effects of various levels of mechanical stress on axons using the AoC (Fig. 2 A). Neurons were seeded into the two opposing soma chambers, with axons extending into the central injury channel. Live-imaging windows were positioned near the device margin, where axon shafts predominated and growth cones constituted only a small fraction (Fig. 2 B, see Materials and methods). On DIV7–8, various levels of transverse stress were administered to axon shafts by injecting culture medium at different flow rates for 180 s, while instant subcellular responses of individual axons were monitored continuously until 10–15 min after the cessation of the flux (Fig. 2 C and Video 3). We found that cultured medium injected at higher flow rates (100 and 200 μl/min) caused axotomy or DAI, whereas low flow rates (20 and 50 μl/min) induced reversible axonal beading in the axon (Fig. S1 D). Using an automatic beads detection method based on circularity (see Materials and methods and Pan et al., 2022), we quantified the axon beading process elicited by four flow rates (20, 50, 100, 200 μl/min for 180 s) (Fig. 2, D and E; and Fig. S1 D). We found that the peak number of beads for all four flow rates was reached within 60 s of the flux, with the beading response triggered within 5 s after the onset of the flow (Fig. S1 E). Raising the flow speed resulted in a significant increase in both the density and formation rate of axon beads (Fig. 2 E and Fig. S1, F and G). This rise was associated with a reduced reversibility capacity, represented by the significantly lower Ir in axons exposed to higher flow rates (100, 200 μl/min for 180 s). Conversely, lower flow rates (20 and 50 µl/min) elicited a beading response with higher reversibility compacity (Fig. 2 F). In addition, we also noticed that the recovery rates of axon beading are not affected by different flow rates (Fig. S1 H). The data suggest that axons can withstand mechanical stress around 0.467 Pa, induced by a flow rate of 50 μl/min in the AoC. Surpassing this threshold may result in irreversible damage to the axon. In this work, unless stated otherwise, we applied mild mechanical stress using a flow rate of 50 μl/min for 180 s to induce reversible axon beading responses.
Radial contraction and dilation jointly drive the rapid beading in stressed axons. (A) Structure of an AoC with rat hippocampal neurons seeded in opposing soma chambers (red) and axons extending to the central injury chamber (blue). Bar = 0.5 cm. (B) On DIV7–8, axons expressing Lifeact-RFP underwent mechanical stress with culture medium flux into the central injury chamber. Red circles denote growth cones, and the white box marks the live-imaging window, magnified on the right, showing axon shafts are the predominantly stressed axonal region. Bar = 200 µm (left), 100 µm (right). (C) Schematic timeline of the flux-induced axon stress assay with a 180-s flux and ∼10-min recovery for live imaging. Fixation for staining occurred at 2 h (for SCG10 or Cleaved Caspase 3 staining) or 24 h (for in vitro fragmentation analysis) after flux. (D) Representative fields showing the axons of the central injury chamber before, during, and after flux with automatically detected beading regions (magenta). The red arrow indicates the flux direction. Bar = 20 µm (top) and 10 µm (bottom). (E) Quantification of the bead number in response to different flow-rated flux. (F) Quantification of the Ir (N = 12, 70, 22, 46). (G) Mild mechanical stress (20 µl/min flux, 180 s) induced beading in axons. Flux onset was set as 0 s. Beading regions are magenta, and non-beading between segments are cyan. Bar = 10 µm (left) and 5 µm (right). (H) Curves showing instant area changes in beading (red), between (blue), and total (black) regions during flux of G. (I) Quantification of the total axon area changes during the flux of G (N = 30). (J) The z-stack raw images show morphological changes in the same axon before and after a 50 µl/min flux, with 3D Imaris renderings at the bottom. Axon diameter is color-coded. Bar = 30 μm (top) and 2 μm (bottom). (K–M) Paired analysis of the Imaris-rendered 3D surfaces within the same axon, with quantifications of (K) the median axon diameter, (L) the distribution of axon diameter, and (M) the axon volume (N = 10). (N) Quantification of volume change ratio contributed by beading (red), between (blue), and total (black) regions of stressed axons (N = 10). (O) Model for axon beading formation. Left: axonal regions between beads contract to form the string (blue). Right: beaded regions dilate to form beads (red). Rapid axon beading formation is a mixture of the two models. Data represent mean ± SEM; in F and I, unpaired two-tailed Student’s t test; in K and L, paired two-tailed Student’s t test; in M, Wilcoxon matched-pairs signed rank test; *P < 0.05, **P < 0.01, ***P < 0.001; n.s., non-significant.
Radial contraction and dilation jointly drive the rapid beading in stressed axons. (A) Structure of an AoC with rat hippocampal neurons seeded in opposing soma chambers (red) and axons extending to the central injury chamber (blue). Bar = 0.5 cm. (B) On DIV7–8, axons expressing Lifeact-RFP underwent mechanical stress with culture medium flux into the central injury chamber. Red circles denote growth cones, and the white box marks the live-imaging window, magnified on the right, showing axon shafts are the predominantly stressed axonal region. Bar = 200 µm (left), 100 µm (right). (C) Schematic timeline of the flux-induced axon stress assay with a 180-s flux and ∼10-min recovery for live imaging. Fixation for staining occurred at 2 h (for SCG10 or Cleaved Caspase 3 staining) or 24 h (for in vitro fragmentation analysis) after flux. (D) Representative fields showing the axons of the central injury chamber before, during, and after flux with automatically detected beading regions (magenta). The red arrow indicates the flux direction. Bar = 20 µm (top) and 10 µm (bottom). (E) Quantification of the bead number in response to different flow-rated flux. (F) Quantification of the Ir (N = 12, 70, 22, 46). (G) Mild mechanical stress (20 µl/min flux, 180 s) induced beading in axons. Flux onset was set as 0 s. Beading regions are magenta, and non-beading between segments are cyan. Bar = 10 µm (left) and 5 µm (right). (H) Curves showing instant area changes in beading (red), between (blue), and total (black) regions during flux of G. (I) Quantification of the total axon area changes during the flux of G (N = 30). (J) The z-stack raw images show morphological changes in the same axon before and after a 50 µl/min flux, with 3D Imaris renderings at the bottom. Axon diameter is color-coded. Bar = 30 μm (top) and 2 μm (bottom). (K–M) Paired analysis of the Imaris-rendered 3D surfaces within the same axon, with quantifications of (K) the median axon diameter, (L) the distribution of axon diameter, and (M) the axon volume (N = 10). (N) Quantification of volume change ratio contributed by beading (red), between (blue), and total (black) regions of stressed axons (N = 10). (O) Model for axon beading formation. Left: axonal regions between beads contract to form the string (blue). Right: beaded regions dilate to form beads (red). Rapid axon beading formation is a mixture of the two models. Data represent mean ± SEM; in F and I, unpaired two-tailed Student’s t test; in K and L, paired two-tailed Student’s t test; in M, Wilcoxon matched-pairs signed rank test; *P < 0.05, **P < 0.01, ***P < 0.001; n.s., non-significant.
Reversible axon beading is induced by the low-speed flux in an AoC device. Rat hippocampal neurons cultured in an AoC device were transfected with Lifeact-GFP and subjected to mild mechanical stress by injecting low-speed flow (50 µl/min, 180 s) into the central injury chamber. Instant axonal deformation during flux-induced stress was monitored using time-lapse confocal microscopy. A representative movie shows the reversible axonal beading process, with the duration of flux indicated with a white arrow and cyan background in the top panel. The boxed ROI is magnified in the bottom panel. Bar = 20 µm (top), 5 µm (bottom left), and 3 µm (bottom right). Video display rate: 6 fps.
Reversible axon beading is induced by the low-speed flux in an AoC device. Rat hippocampal neurons cultured in an AoC device were transfected with Lifeact-GFP and subjected to mild mechanical stress by injecting low-speed flow (50 µl/min, 180 s) into the central injury chamber. Instant axonal deformation during flux-induced stress was monitored using time-lapse confocal microscopy. A representative movie shows the reversible axonal beading process, with the duration of flux indicated with a white arrow and cyan background in the top panel. The boxed ROI is magnified in the bottom panel. Bar = 20 µm (top), 5 µm (bottom left), and 3 µm (bottom right). Video display rate: 6 fps.
We then explored the mechanisms underlying swift axonal shape changes from a cylinder to a string of beads during the flux. In neurons expressing Lifeact-GFP, we separated time-lapse images of the fluxed axons into “beading” (magenta) and non-beading “between” (cyan) regions, in addition to the “total” area (beading and between combined) of the axon shafts (Fig. 2 G). Immediately following the onset of the flow, the beading area increased in size by 10.1 ± 2.9%, while the between area of the axonal shafts was reduced by 14.0 ± 3.3% (Fig. 2 H), collectively causing the total axonal area reaching the minimum value (96.0 ± 1.4% of the original) 2 min after the onset of the flux (Fig. 2 I). These results indicate that axon beading is not solely generated by focal dilation of beads but from the joint effect of the between region contraction and beading region dilation. 3D z-stack images of live axons before and immediately after the mild stress were analyzed using Imaris software, which extracted the volume information for paired comparison (Fig. 2 J and Video 4). Both the axonal diameter (Fig. 2 K) and overall volume (Fig. 2 M) were significantly reduced immediately after the flux, also reflected by the left shift of the main peak of the diameter profile of axons after stress (Fig. 2 L). Nevertheless, dilation of the beading regions was also noticed (Fig. 2, H and L; and Video 4). Between regions’ contraction led to a volume decrease of 42.9 ± 7.0%, while beading regions’ expansion resulted in a volume increase of 22.5 ± 5.2%, collectively causing a total volume reduction of 20.5 ± 9.4% (Fig. 2 N). Furthermore, time-lapse structured illumination microscope (SIM) imaging revealed continuous axon diameter reduction (Fig. S1, I–K; and Video 5) and beading area expansion during stress (Fig. S1 L) partially recovered after stress cessation (Fig. S1 M). These findings suggest that both between region contraction and beading region dilation contribute to axonal shape transition, with between region contraction being the primary factor.
Automatic detection of the mechanical stress-induced axon beads in 3D z-stack images using Imaris. Rat hippocampal neurons cultured in an AoC device were transfected with Lifeact-GFP. The mild mechanical stress was induced by injecting low-speed flow (50 µl/min, 180 s) into the central injury chamber. Z-stack confocal images were acquired in the middle injury chamber before and after the flux. The “Filament” function of Imaris software was used to render the 3D z-stack images into filaments, which were then divided into continuous spots using the plugin “Filament Analysis.” The final renderings are displayed as multiple continuous spots with diameter fluctuation color-coded. Bar = 30 µm (left) and 2 µm (right; magnification). Video display rate: 9 fps.
Automatic detection of the mechanical stress-induced axon beads in 3D z-stack images using Imaris. Rat hippocampal neurons cultured in an AoC device were transfected with Lifeact-GFP. The mild mechanical stress was induced by injecting low-speed flow (50 µl/min, 180 s) into the central injury chamber. Z-stack confocal images were acquired in the middle injury chamber before and after the flux. The “Filament” function of Imaris software was used to render the 3D z-stack images into filaments, which were then divided into continuous spots using the plugin “Filament Analysis.” The final renderings are displayed as multiple continuous spots with diameter fluctuation color-coded. Bar = 30 µm (left) and 2 µm (right; magnification). Video display rate: 9 fps.
Mild mechanical stress causes reversible axonal diameter modulations. In an AoC device, rat hippocampal neurons expressing F-actin marker Lifeact-GFP were stressed with 50 μl/min flux for 180 s. 3D-SIM time-lapse images were acquired in the central injury chamber, showing the dynamic axon diameter change. The axons were rendered into continuous spots using the plugin “Filament Analysis” of Imaris software and displayed with diameter fluctuation color-coded. The appearance of the cyan boxes and arrows marks the duration of the flux. Bar = 3 µm. Video display rate: 2 fps.
Mild mechanical stress causes reversible axonal diameter modulations. In an AoC device, rat hippocampal neurons expressing F-actin marker Lifeact-GFP were stressed with 50 μl/min flux for 180 s. 3D-SIM time-lapse images were acquired in the central injury chamber, showing the dynamic axon diameter change. The axons were rendered into continuous spots using the plugin “Filament Analysis” of Imaris software and displayed with diameter fluctuation color-coded. The appearance of the cyan boxes and arrows marks the duration of the flux. Bar = 3 µm. Video display rate: 2 fps.
Collectively, the rapid axon beading process induced by flux results from the simultaneous radial expansion of beads and the contraction of the regions between them, acting jointly (Fig. 2 O).
The interplay between the axon cortex and internal organelle determines the location of axon beads
Next, we examined the factors governing the distribution of these stress-induced axonal beads. As the presence of large organelles enlarges the diameter of the wrapping axon (Wang et al., 2020a), we first assessed whether the location of organelles correlates with the sites of axon beading. Axons of hippocampal neurons expressing TagRFP-mito were subjected to low-speed flux, and we found that the distribution of mitochondria was highly correlated with that of stress-induced axonal beads (Fig. 3 A). The ratio of mitochondria existing in the beading area was significantly increased after the flux (Fig. 3, B and C, marked by asterisks). Conversely, the axonal regions lacking mitochondria underwent a more dramatic radial contraction, forming a “string” in the stressed axon between the axonal beads. These data align well with earlier observations in puff-stressed axons, indicating that axonal beads tend to form around mitochondrial clusters (Gu et al., 2017; Ma et al., 2022). Moreover, we observed a strong correlation between the locations of axonal branches and axonal beads (Fig. 3, D and E). Of note, the intervals between the axonal beads measure over 20 µm (Fig. 3 F), significantly larger than the ∼200 nm spacing of MPS (Xu et al., 2013). The distribution of these beads is non-periodic, lacking obvious peaks in the autocorrelation value of the intervals (Fig. 3 G). Hence, the distribution of axonal beads is non-periodic but closely correlated with the presence of organelles and branches, where the axon cortex is significantly expanded.
The interplay between the axon cortex and internal organelle determines the location of axon beads. DIV5–6 rat hippocampal neurons cultured in an AoC device were either transfected with Lifeact-GFP or cotransfected with both Lifeact-GFP and TagRFP-mito and live-imaged on DIV7–8 using a spinning disc inverted confocal microscope. (A) The localization of the mitochondria is compared with that of the beading areas. Asterisks indicate the beads containing mitochondria. Bar = 10 μm. (B) Line profile showing the fluorescence intensity of mitochondria (TagRFP-mito) and the axonal volume (Lifeact-GFP). Asterisks indicate the beads containing mitochondria in A. (C) Quantification of the percentage of beads containing mitochondria as shown in B (N = 21). (D) Representative time-lapse images capturing beads on axon branches, with locations marked by asterisks. Bar = 10 μm. (E) Quantification showing the percentage of beads formed on axon branches (N = 26). (F) Distribution of the spacing intervals between beads. (G) The cross-correlation between these intervals. The interval values were measured from 855 beads obtained from 42 axons. (H) Timeline depicting the measurement of mitochondria size (top) and speed (bottom). Size analysis was conducted at two key time points: at the start of the imaging session (0 s), ∼8 min before the initiation of flux, and at 952 s thereafter. Mobility measurements were conducted in three distinct spans of time: before (0–8 min), during (180 s), and after (from flux cessation to 10 min) the flux. (I) Time-lapse images show the instant shape changes of inner mitochondria induced by the low-speed flux (50 μl/min, 180 s). The boxed region is amplified in the right panels. Shape changes of the mitochondria are indicated with arrows. Bar = 10 μm (left), 10 μm (right top), and 5 μm (right bottom). (J) Paired comparison of mitochondria size fluctuations induced by low-speed flux (N = 9). (K) Axonal trafficking of the intra-axonal mitochondria during the 50 μl/min flux. The perpendicular lines in the kymograph indicate the pausing stage of the mitochondria, whereas the tilted slopes indicated by arrowheads are the mobile stage. x-axis bar = 10 μm; y-axis bar = 500 s. (L) Quantification of the average speed of the mobile mitochondrial trajectories of K (N = 328, 67, 275). (M) Paired comparison of mitochondrial speed for individual ROIs before, during, and after flux (N = 5 ROIs). Data represent mean ± SEM. Paired two-tailed Student’s t tests were applied in C, E, J, and M, and Welch’s t test in L; *P < 0.05, ***P < 0.001; n.s., non-significant.
The interplay between the axon cortex and internal organelle determines the location of axon beads. DIV5–6 rat hippocampal neurons cultured in an AoC device were either transfected with Lifeact-GFP or cotransfected with both Lifeact-GFP and TagRFP-mito and live-imaged on DIV7–8 using a spinning disc inverted confocal microscope. (A) The localization of the mitochondria is compared with that of the beading areas. Asterisks indicate the beads containing mitochondria. Bar = 10 μm. (B) Line profile showing the fluorescence intensity of mitochondria (TagRFP-mito) and the axonal volume (Lifeact-GFP). Asterisks indicate the beads containing mitochondria in A. (C) Quantification of the percentage of beads containing mitochondria as shown in B (N = 21). (D) Representative time-lapse images capturing beads on axon branches, with locations marked by asterisks. Bar = 10 μm. (E) Quantification showing the percentage of beads formed on axon branches (N = 26). (F) Distribution of the spacing intervals between beads. (G) The cross-correlation between these intervals. The interval values were measured from 855 beads obtained from 42 axons. (H) Timeline depicting the measurement of mitochondria size (top) and speed (bottom). Size analysis was conducted at two key time points: at the start of the imaging session (0 s), ∼8 min before the initiation of flux, and at 952 s thereafter. Mobility measurements were conducted in three distinct spans of time: before (0–8 min), during (180 s), and after (from flux cessation to 10 min) the flux. (I) Time-lapse images show the instant shape changes of inner mitochondria induced by the low-speed flux (50 μl/min, 180 s). The boxed region is amplified in the right panels. Shape changes of the mitochondria are indicated with arrows. Bar = 10 μm (left), 10 μm (right top), and 5 μm (right bottom). (J) Paired comparison of mitochondria size fluctuations induced by low-speed flux (N = 9). (K) Axonal trafficking of the intra-axonal mitochondria during the 50 μl/min flux. The perpendicular lines in the kymograph indicate the pausing stage of the mitochondria, whereas the tilted slopes indicated by arrowheads are the mobile stage. x-axis bar = 10 μm; y-axis bar = 500 s. (L) Quantification of the average speed of the mobile mitochondrial trajectories of K (N = 328, 67, 275). (M) Paired comparison of mitochondrial speed for individual ROIs before, during, and after flux (N = 5 ROIs). Data represent mean ± SEM. Paired two-tailed Student’s t tests were applied in C, E, J, and M, and Welch’s t test in L; *P < 0.05, ***P < 0.001; n.s., non-significant.
Since radial contractility of the axon cortex significantly affects the mobility of large axonal organelles (Wang et al., 2020a), we investigated whether the shape and dynamics of axonal mitochondria were altered during the flux. We measured the size of the axonal mitochondria at time points before and after the flux (Fig. 3 H) and found that axonal mitochondria were significantly shortened due to the contraction of the adjacent axon sleeve during the flux (Fig. 3, I and J; and Video 6). This change in size showed kinetics highly consistent with the shape change of the contracted axonal membrane adjacent to the indicated organelle (Video 6). Additionally, the trafficking of previously mobile mitochondria was paused during and immediately after the flux, and some of the paused mitochondria restored their mobility several minutes later (Fig. 3 K and Video 7), suggesting the release of these paused mitochondria. Further analysis using automated tracking showed a significant reduction in the speed of mitochondrial trafficking during flux. This reduction was apparent in both the accumulated total mitochondrial speed (Fig. 3 L) and the paired comparison of mitochondrial speeds across different time points (Fig. 3 M), indicating that mild stress triggers the reversible radial contraction of the axonal cortex, which temporarily compresses and halts previously mobile mitochondria.
Mild mechanical stress causes the deformation of axonal mitochondria. In the AoC device, rat hippocampal neurons co-expressing Lifeact-GFP and TagRFP-mito were subjected to flux-induced mechanical stress (20 μl/min, 180 s). Dual-color time-lapse images were acquired using a spinning disc microscope during the flux, showing the dynamic morphological changes of both the beading axon and the mitochondria. The appearance of cyan boxes marks the duration of the flux. The boxed ROI is amplified in the right panels, with arrowheads indicating the compressed mitochondria (magenta) within the axonal beads (green). Bar = 20 µm (left) and 3 µm (right). Video display rate: 7 fps.
Mild mechanical stress causes the deformation of axonal mitochondria. In the AoC device, rat hippocampal neurons co-expressing Lifeact-GFP and TagRFP-mito were subjected to flux-induced mechanical stress (20 μl/min, 180 s). Dual-color time-lapse images were acquired using a spinning disc microscope during the flux, showing the dynamic morphological changes of both the beading axon and the mitochondria. The appearance of cyan boxes marks the duration of the flux. The boxed ROI is amplified in the right panels, with arrowheads indicating the compressed mitochondria (magenta) within the axonal beads (green). Bar = 20 µm (left) and 3 µm (right). Video display rate: 7 fps.
Reversible axon beading affects the axonal trafficking of mobile mitochondria. Rat hippocampal neurons cultured in an AoC device were transfected with Lifeact-GFP and TagRFP-mito. Mild mechanical stress was induced by injecting low-speed flow (20 µl/min, 180 s) into the central injury chamber. Dual-color time-lapse images were acquired using a spinning disc microscope during the flux, showing the dynamic morphological changes of both the beading axon and the mitochondria. The appearance of cyan boxes marks the duration of the flux. The boxed ROI is magnified in the right panels, with arrowheads indicating the mobile mitochondria (magenta). Bar = 10 µm (left) and 5 µm (right). Video display rate: 7 fps.
Reversible axon beading affects the axonal trafficking of mobile mitochondria. Rat hippocampal neurons cultured in an AoC device were transfected with Lifeact-GFP and TagRFP-mito. Mild mechanical stress was induced by injecting low-speed flow (20 µl/min, 180 s) into the central injury chamber. Dual-color time-lapse images were acquired using a spinning disc microscope during the flux, showing the dynamic morphological changes of both the beading axon and the mitochondria. The appearance of cyan boxes marks the duration of the flux. The boxed ROI is magnified in the right panels, with arrowheads indicating the mobile mitochondria (magenta). Bar = 10 µm (left) and 5 µm (right). Video display rate: 7 fps.
In summary, our data unveil that the interaction between the contractile axon cortex and internal organelles plays a pivotal role in regulating the distribution of flux-induced axonal beads.
Actomyosin-II mediates the reversible axon beading induced by mild mechanical stress
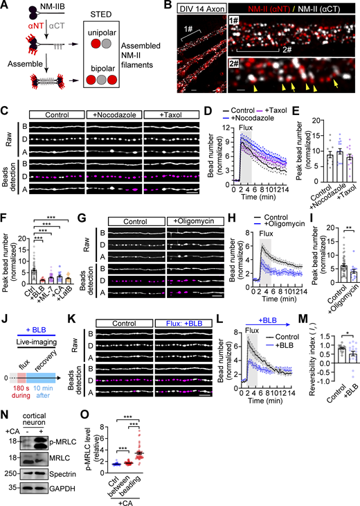
To determine the impact of mild mechanical stress on the axonal surface, we used scanning electron microscopy (SEM) to examine their surface integrity. We found that although the diameter of stressed axons altered significantly (Fig. 4 A) and exhibited significantly more fluctuations (Fig. 4 B), the integrity of the axon surface remained intact. Because axon radial contractility is driven by actomyosin-II, a complex comprising molecular motor NM-II and F-actin rings, we thus examined whether actomyosin-II controls the stress-induced contraction of the axonal cortex. Using time-lapse SIM, we observed that 69.5% of periodic F-actin rings, identified using the SiR-Actin probe, underwent radial contraction, correlating with thinning between regions (Fig. 4, C and D, blue spots; and Video 8). Simultaneously, 30.5% of F-actin rings dilated, coinciding with the formation of beading regions (Fig. 4, C and D, red spots; and Video 8). The collective contraction and dilation of F-actin rings led to an overall reduction in diameter (Fig. 4 E). In the post-flux stage, the majority (74.8%) of contracted rings expanded and most (77.7%) dilated rings contracted (Fig. 4, C–E; and Video 8), leading to the recovery of the majority (75.7%) of diameter-fluctuated actin rings after flux (Fig. 4 F). Summarized in Fig. 4 F, the reversible shape changes of periodic F-actin rings strongly correlate with the reversible axon beading process, suggesting that simultaneous radial contraction and dilation of periodic actin rings may underlie the flux-induced reversible axon beading process.
Actomyosin-II, not MT, mediates the reversible axon beading induced by mild mechanical stress. (A) Representative SEM images illustrate axon beading induced by low-speed (50 μl/min) flux. Red and blue arrows indicate the fluctuation of axon diameter. The bracket indicates the 10-μm length of the axon for each sampling. Bar = 1 μm. (B) Quantification of axon diameter fluctuations, calculated as the ratio of the longest to shortest diameters per 10 μm length of the axon in control (Ctrl) and fluxed axons (N = 80, 86). (C) Time-lapse SIM images capture dynamic changes in axons labeled with SiR-Actin (0.2 μM, 2 h) on DIV12 (Lukinavičius et al., 2014; Wang et al., 2020a). The bracketed ROI (1#) is magnified in the right panels, revealing actin ring diameter fluctuations before, during, and after flux. Further magnification highlights contracted (blue spots) and dilated (red spots) rings. Flux duration was indicated with a blue box. Bar = 5 μm (left), 1 μm (middle), and 1 μm (right). (D) Quantification of diameter changes in contracted (blue) and dilated (red) actin rings (N = 317, 139 rings). (E) Quantification of actin ring diameters before, during, and after flux (N = 456 rings). (F) The diagram summarizing the proportion of actin ring diameters undergoing contraction or expansion during and after flux. (G and H) Representative TEM images show the cytoskeletal changes in (G) control and (H) fluxed axons at 50 μl/min. Intact MT tracks are highlighted with yellow arrows, and organelles (multivesicular body, MVB; autophagosome, AP) are marked with blue arrows. Beading (red) and non-beading (blue) regions were indicated with brackets and amplified in the bottom panels. Representative images of non-beading (i and ii), beading with MT (iii), and beading without MT (iv) axons are shown. Bar = 200 nm. (I) Quantification of the percentage of axonal segments with either non-beading, beading with MTs, or beading without MTs in control and fluxed axons. N = 3 preparations. (J) Quantification of the percentage of axon beads containing organelles. N = 3 preparations. Data presented as mean ± SEM. Statistical analyses were performed using unpaired two-tailed Student’s t test for B, I, and J, within groups paired two-tailed t test for D, between groups unpaired two-tailed t test for D, and paired two-tailed unpaired t test for E. *P < 0.05, **P < 0.01, ***P < 0.001.
Actomyosin-II, not MT, mediates the reversible axon beading induced by mild mechanical stress. (A) Representative SEM images illustrate axon beading induced by low-speed (50 μl/min) flux. Red and blue arrows indicate the fluctuation of axon diameter. The bracket indicates the 10-μm length of the axon for each sampling. Bar = 1 μm. (B) Quantification of axon diameter fluctuations, calculated as the ratio of the longest to shortest diameters per 10 μm length of the axon in control (Ctrl) and fluxed axons (N = 80, 86). (C) Time-lapse SIM images capture dynamic changes in axons labeled with SiR-Actin (0.2 μM, 2 h) on DIV12 (Lukinavičius et al., 2014; Wang et al., 2020a). The bracketed ROI (1#) is magnified in the right panels, revealing actin ring diameter fluctuations before, during, and after flux. Further magnification highlights contracted (blue spots) and dilated (red spots) rings. Flux duration was indicated with a blue box. Bar = 5 μm (left), 1 μm (middle), and 1 μm (right). (D) Quantification of diameter changes in contracted (blue) and dilated (red) actin rings (N = 317, 139 rings). (E) Quantification of actin ring diameters before, during, and after flux (N = 456 rings). (F) The diagram summarizing the proportion of actin ring diameters undergoing contraction or expansion during and after flux. (G and H) Representative TEM images show the cytoskeletal changes in (G) control and (H) fluxed axons at 50 μl/min. Intact MT tracks are highlighted with yellow arrows, and organelles (multivesicular body, MVB; autophagosome, AP) are marked with blue arrows. Beading (red) and non-beading (blue) regions were indicated with brackets and amplified in the bottom panels. Representative images of non-beading (i and ii), beading with MT (iii), and beading without MT (iv) axons are shown. Bar = 200 nm. (I) Quantification of the percentage of axonal segments with either non-beading, beading with MTs, or beading without MTs in control and fluxed axons. N = 3 preparations. (J) Quantification of the percentage of axon beads containing organelles. N = 3 preparations. Data presented as mean ± SEM. Statistical analyses were performed using unpaired two-tailed Student’s t test for B, I, and J, within groups paired two-tailed t test for D, between groups unpaired two-tailed t test for D, and paired two-tailed unpaired t test for E. *P < 0.05, **P < 0.01, ***P < 0.001.
Mild mechanical stress induces the contraction and dilation of periodic actin rings in axons. On DIV12, rat hippocampal neurons cultured in AoC were labeled with the far-red probe SiR-Actin to visualize periodic F-actin rings. The axons were subjected to mild mechanical stress (50 μl/min, 180 s). In the 3D-SIM time-lapse images depicting dynamic diameter changes of the periodic actin rings during the flux, the boxed axonal segments are amplified in the middle panel, providing detailed insights into the expansion and dilation of actin rings in three beading regions (bracketed 1–3#), which are further zoomed in the right panels to reveal diameter alterations of individual rings, with contraction indicated by cyan spots and dilation indicated by red spots. White arrows in the cyan background mark the duration of the flux. Bar = 2 μm (left), 1 μm (middle), and 0.5 μm (right). Video display rate: 2 fps.
Mild mechanical stress induces the contraction and dilation of periodic actin rings in axons. On DIV12, rat hippocampal neurons cultured in AoC were labeled with the far-red probe SiR-Actin to visualize periodic F-actin rings. The axons were subjected to mild mechanical stress (50 μl/min, 180 s). In the 3D-SIM time-lapse images depicting dynamic diameter changes of the periodic actin rings during the flux, the boxed axonal segments are amplified in the middle panel, providing detailed insights into the expansion and dilation of actin rings in three beading regions (bracketed 1–3#), which are further zoomed in the right panels to reveal diameter alterations of individual rings, with contraction indicated by cyan spots and dilation indicated by red spots. White arrows in the cyan background mark the duration of the flux. Bar = 2 μm (left), 1 μm (middle), and 0.5 μm (right). Video display rate: 2 fps.
Moreover, as previously reported (Beach et al., 2014), activated NM-II molecules are assembled into unipolar or bipolar filaments. By using antibodies that recognize the C-terminal (αCT) and N-terminal (αNT) regions of NM-IIB (Fig. S2 A) and performing 3D-stimulated emission depletion microscopy (3D-STED), we found that assembled NM-IIB filaments, including both bipolar and unipolar (Fig. S2 B), are abundant in the shafts of mature axons. These filaments were found to align both perpendicular (Fig. S2 B, arrowheads) and parallel (Fig. S2 B, arrows) to the axon axis. This localization pattern of NM-II is similar to the previously reported distribution of NM-II, which partially overlaps with actin rings in axon shafts (Berger et al., 2018; Costa et al., 2020; Zhou et al., 2022). These assembled NM-II filaments not only interlink adjacent actin rings but also span within a single actin ring, thereby forming an actomyosin-II structure that facilitates the radial contraction and expansion of axons under stress.
The reversible axon beading consumes ATP and is not caused by the disruption of MT tracks. (A) Cartoon showing the unipolar or bipolar NM-II filaments represented by double- or triple-dot immunostaining signals revealed by antibodies recognizing the C-terminal (gray) and N-terminal (red) of the NM-IIB heavy chain. (B) STED image showing the distribution of the assembled NM-II filaments beneath the plasm membrane of the axon. The unipolar and bipolar NM-II filaments are indicated with arrowheads and arrows, respectively. Bar = 1 μm (left) and 300 nm (right). (C) Rat hippocampal neurons cultured in an AoC device were transfected with Lifeact-GFP on DIV5–6. On DIV7–8, after being pretreated with either an MT polymerization inhibitor (+Nocodazole; 50 μΜ) or MT stabilizer (+Taxol; 10 μΜ) for 30 min, neurons were subjected to 50 μl/min flux for 180 s. Time-lapse images showing the deformation of the same axons before (B), during (D), and after (A) the flux, with the automatically detected beading segments shown in magenta. Bar = 5 μm. (D and E) Quantification of (D) the dynamic beading process and (E) peak bead number are presented (N = 11, 15, 13) (F) Quantification of the peak number of axon beads formed in response to the 50 μl/min flux for 180 s of Fig. 5 B (N = 41, 30, 49, 29, 23). (G) Neurons expressing Lifeact-GFP were pretreated with oligomycin (1 μM) for 30 min, followed by 50 μl/min flux for 180 s. Time-lapse images illustrate axon deformation before (B), during (D), and after (A) flux, with automatically detected beading shown in magenta. Bar = 10 μm. (H and I) Quantification of (H) normalized bead number and (I) peak bead number (N = 41, 14). (J) Schematic timeline for flux-induced axon stress with acute blebbistatin treatment. Blebbistatin (+BLB, 50 μM) was administered concurrently with 50 μl/min flux for 180 s, followed by an approximate 10-min recovery. Axon dynamics were monitored via live-imaging microscopy throughout. (K) Time-lapse images depict axon deformation before (B), during (D), and after (A) flux, with automatically detected beading in magenta. Bar = 10 μm. (L and M) Quantification of (L) dynamic beading process and (M) reversibility index (N = 16, 17). (N) Western blot showing the level of the p-MRLC, total MRLC, βΙΙ-Spectrin, and GAPDH following Calyculin A (+CA) treatment in cultured cortical neurons. (O) Quantification of the p-MRLC intensity in control (Ctrl) and CA-treated neuron axons (N = 41, 45, 45). Data represent mean ± SEM; in E, F, M, and O, unpaired two-tailed Student’s t test; in I, Mann-Whitney test; *P < 0.05, **P < 0.01, ***P < 0.001. Source data are available for this figure: SourceData FS2.
The reversible axon beading consumes ATP and is not caused by the disruption of MT tracks. (A) Cartoon showing the unipolar or bipolar NM-II filaments represented by double- or triple-dot immunostaining signals revealed by antibodies recognizing the C-terminal (gray) and N-terminal (red) of the NM-IIB heavy chain. (B) STED image showing the distribution of the assembled NM-II filaments beneath the plasm membrane of the axon. The unipolar and bipolar NM-II filaments are indicated with arrowheads and arrows, respectively. Bar = 1 μm (left) and 300 nm (right). (C) Rat hippocampal neurons cultured in an AoC device were transfected with Lifeact-GFP on DIV5–6. On DIV7–8, after being pretreated with either an MT polymerization inhibitor (+Nocodazole; 50 μΜ) or MT stabilizer (+Taxol; 10 μΜ) for 30 min, neurons were subjected to 50 μl/min flux for 180 s. Time-lapse images showing the deformation of the same axons before (B), during (D), and after (A) the flux, with the automatically detected beading segments shown in magenta. Bar = 5 μm. (D and E) Quantification of (D) the dynamic beading process and (E) peak bead number are presented (N = 11, 15, 13) (F) Quantification of the peak number of axon beads formed in response to the 50 μl/min flux for 180 s of Fig. 5 B (N = 41, 30, 49, 29, 23). (G) Neurons expressing Lifeact-GFP were pretreated with oligomycin (1 μM) for 30 min, followed by 50 μl/min flux for 180 s. Time-lapse images illustrate axon deformation before (B), during (D), and after (A) flux, with automatically detected beading shown in magenta. Bar = 10 μm. (H and I) Quantification of (H) normalized bead number and (I) peak bead number (N = 41, 14). (J) Schematic timeline for flux-induced axon stress with acute blebbistatin treatment. Blebbistatin (+BLB, 50 μM) was administered concurrently with 50 μl/min flux for 180 s, followed by an approximate 10-min recovery. Axon dynamics were monitored via live-imaging microscopy throughout. (K) Time-lapse images depict axon deformation before (B), during (D), and after (A) flux, with automatically detected beading in magenta. Bar = 10 μm. (L and M) Quantification of (L) dynamic beading process and (M) reversibility index (N = 16, 17). (N) Western blot showing the level of the p-MRLC, total MRLC, βΙΙ-Spectrin, and GAPDH following Calyculin A (+CA) treatment in cultured cortical neurons. (O) Quantification of the p-MRLC intensity in control (Ctrl) and CA-treated neuron axons (N = 41, 45, 45). Data represent mean ± SEM; in E, F, M, and O, unpaired two-tailed Student’s t test; in I, Mann-Whitney test; *P < 0.05, **P < 0.01, ***P < 0.001. Source data are available for this figure: SourceData FS2.
Since microtubule (MT) tracks are crucial for the formation of focal axonal swelling (FAS), an irreversible and expanded axonal beading structure that marks axonal injury (Datar et al., 2019; Gu et al., 2017; Prokop, 2021; Qu et al., 2017), we explored the integrity of axonal MT bundles in beading axons using transmission electron microscopy (TEM). We found that MTs are oriented in parallel tracks in non-fluxed axons (Fig. 4 G, yellow arrows). After mild flux, the beading area significantly increased (Fig. 4 H). However, in most of these beads, the MT tracks remained intact (Fig. 4 H, yellow arrows, and I, black bars). Additionally, after the flux, most of the axonal beads contained organelles (Fig. 4, H and J), verifying that the presence of organelles in the axon may contribute to the formation of the beads. We further investigated the potential role of MTs in axon beading by treating neurons with MT polymerization inhibitor Nocodazole and MT stabilizer Taxol. However, neither Nocodazole nor Taxol treatment affected the kinetics of axon beading (Fig. S2 C), as no changes in the curve of flux-induced axon beading (Fig. S2 D) or peak beading number (Fig. S2 E) were observed. These data, therefore, suggest that MT disorganization is unlikely to be the cause of underlying stress-induced reversible axon beading.
Manipulation of actomyosin-II activity affects the flux-induced axon beading process
We used two pharmacological inhibitors of NM-II activity: Blebbistatin, which blocks the ATPase activity of NM-II (Kovács et al., 2004), and ML-7, which blocks myosin regulatory light chain phosphorylation (p-MRLC) to inhibit NM-II assembly and activation (Saitoh et al., 1987), to examine whether flux-induced axon beading formation is affected. Preincubation of neurons with either Blebbistatin or ML-7 for 30 min almost abolished (Blebbistatin) or significantly reduced (ML-7) the beading formation induced by mild stress (Fig. 5, A and B; Fig. S2 F; and Video 9). Consistently, when ATP synthesis was inhibited by the respiratory chain blocker oligomycin, there was a notable decrease in flux-induced beading formation (Fig. S2, G–I). Conversely, when preincubated with the NM-II activator Calyculin A, which enhances the consecutive radial contraction of axon shafts (Costa et al., 2020; Wang et al., 2020a), the stress-induced beading formation was also significantly reduced by 50%, suggesting that axonal segments with over-activated NM-II are not sensitive to mild mechanical stress (Fig. 5, A and B; Fig. S2 F; and Video 9). When F-actin rings are disrupted by latrunculin B (5 μM, 30 min) (Li et al., 2020), the stress-induced axonal beading formation is significantly reduced (Fig. 5, A and B; Fig. S2 F; and Video 9). Moreover, we examined the impact of short-term Blebbistatin treatment specifically administered to axons during medium flux (Fig. S2 J). Our observations revealed a significant decrease in both the formation of beadings during flux and the subsequent reversal of these beads after flux (Fig. S2, K–M). These findings suggest that the flux-induced reversible axon beading process relies on the integrity and coordinated activity of actomyosin-II, constituting an ATP-consuming proactive response to stress.
Manipulation of actomyosin-II activity affects the flux-induced axon beading process. (A) Lifeact-G/RFP expressing neurons were either untreated (Ctrl) or pretreated for 30 min with either Blebbistatin (+BLB; 50 μΜ), ML-7 (+ML-7; 10 μΜ), Calyculin A (+CA; 50 nM), or latrunculin B (+LatB; 5 μΜ), prior to being stressed with 50 μl/min flux for 180 s. Representative time-lapse images show the deformation of the same axons before (top) and during (bottom) the flux for each condition, with beading regions shown in magenta. Bar = 5 μm. (B and C) Quantification of (B) axon bead number and (C) recovery rate of the axon beading process induced by 50 µl/min flux for 180 s (N = 41, 27, 49, 27, 23 axons). (D) IF staining of p-MRLC after 50 nM Calyculin A treatment (+CA) for 30 min. Bar = 10 μm. (E) Quantification of axon beading density induced by CA treatment (N = 16, 19). (F) Representative 3D-SIM images depict the relative localization between βII-Spectrin (green) and p-MRLC (magenta). Bottom: Line profiles illustrate fluorescence intensity along bracketed axonal regions in control and CA-treated axons. Bar = 0.5 μm. (G) Quantification of p-MRLC periodicity in control (Ctrl) and CA-treated axons (N = 17, 17, 33). (H) Representative 3D-SIM images display the periodicity and fluorescence intensity of p-MRLC in non-fluxed (top) and fluxed axons (bottom). Non-fluxed (1#, 2#), beading (3#), and between (4#) regions marked with brackets and amplified in right panels. Red brackets in 3# indicate gaps lacking periodic p-MRLC. Bar = 1 μm. (I) Quantification of p-MRLC periodicity (N = 18, 43, 87). (J) Quantification of spacing between p-MRLC rings (N = 112, 282, 804). (K) Quantification of p-MRLC fluorescence intensity (N = 11, 13, 13). (L) Representative time-lapse images showing axons infected with AAV virus expressing either MRLC-WT, an inactive MRLC mutant (MRLC-SA), a constitutively active MRLC mutant (MRLC-SD), or an empty vector (GFP), with the deformation of the same axon induced by 50 μl/min flux shown below the corresponding condition. Bar = 10 μm. (M) Quantification of the dynamic beading process induced by a 50 µl/min flux in L. Data are presented as mean ± SEM, analyzed using an unpaired two-tailed Student’s t test; *P < 0.05, **P < 0.01, ***P < 0.001.
Manipulation of actomyosin-II activity affects the flux-induced axon beading process. (A) Lifeact-G/RFP expressing neurons were either untreated (Ctrl) or pretreated for 30 min with either Blebbistatin (+BLB; 50 μΜ), ML-7 (+ML-7; 10 μΜ), Calyculin A (+CA; 50 nM), or latrunculin B (+LatB; 5 μΜ), prior to being stressed with 50 μl/min flux for 180 s. Representative time-lapse images show the deformation of the same axons before (top) and during (bottom) the flux for each condition, with beading regions shown in magenta. Bar = 5 μm. (B and C) Quantification of (B) axon bead number and (C) recovery rate of the axon beading process induced by 50 µl/min flux for 180 s (N = 41, 27, 49, 27, 23 axons). (D) IF staining of p-MRLC after 50 nM Calyculin A treatment (+CA) for 30 min. Bar = 10 μm. (E) Quantification of axon beading density induced by CA treatment (N = 16, 19). (F) Representative 3D-SIM images depict the relative localization between βII-Spectrin (green) and p-MRLC (magenta). Bottom: Line profiles illustrate fluorescence intensity along bracketed axonal regions in control and CA-treated axons. Bar = 0.5 μm. (G) Quantification of p-MRLC periodicity in control (Ctrl) and CA-treated axons (N = 17, 17, 33). (H) Representative 3D-SIM images display the periodicity and fluorescence intensity of p-MRLC in non-fluxed (top) and fluxed axons (bottom). Non-fluxed (1#, 2#), beading (3#), and between (4#) regions marked with brackets and amplified in right panels. Red brackets in 3# indicate gaps lacking periodic p-MRLC. Bar = 1 μm. (I) Quantification of p-MRLC periodicity (N = 18, 43, 87). (J) Quantification of spacing between p-MRLC rings (N = 112, 282, 804). (K) Quantification of p-MRLC fluorescence intensity (N = 11, 13, 13). (L) Representative time-lapse images showing axons infected with AAV virus expressing either MRLC-WT, an inactive MRLC mutant (MRLC-SA), a constitutively active MRLC mutant (MRLC-SD), or an empty vector (GFP), with the deformation of the same axon induced by 50 μl/min flux shown below the corresponding condition. Bar = 10 μm. (M) Quantification of the dynamic beading process induced by a 50 µl/min flux in L. Data are presented as mean ± SEM, analyzed using an unpaired two-tailed Student’s t test; *P < 0.05, **P < 0.01, ***P < 0.001.
Stress-induced axon beading requires actomyosin-II activity. Rat hippocampus neurons expressing Lifeact-GFP or Lifeact-RFP were pre-incubated with either Blebbistatin (BLB; 50 μM), ML-7 (10 μM), Calycullin A (CA; 50 nM), or latrunculin B (LatB; 5 μM) for 30 min. The axons of these neurons were then subjected to flux-induced mechanical stress (50 μl/min, 180 s) in an AoC device. Time-lapse images were acquired and processed automatically using ImageJ Macro (see Materials and methods), which separated and quantified the beading (magenta) and the non-beading between (cyan) regions. Bar = 10 µm. Video display rate: 12 fps.
Stress-induced axon beading requires actomyosin-II activity. Rat hippocampus neurons expressing Lifeact-GFP or Lifeact-RFP were pre-incubated with either Blebbistatin (BLB; 50 μM), ML-7 (10 μM), Calycullin A (CA; 50 nM), or latrunculin B (LatB; 5 μM) for 30 min. The axons of these neurons were then subjected to flux-induced mechanical stress (50 μl/min, 180 s) in an AoC device. Time-lapse images were acquired and processed automatically using ImageJ Macro (see Materials and methods), which separated and quantified the beading (magenta) and the non-beading between (cyan) regions. Bar = 10 µm. Video display rate: 12 fps.
Next, we examined the effect of the NM-II activator Calyculin A on axonal beading and observed an increase in both p-MRLC levels (Fig. 5 D and Fig. S2 N) and beading density (Fig. 5 E) along the entire axon shaft, with the highest level of p-MRLC accumulated in the beading region (Fig. 5 D, arrowheads, and Fig. S2 O). This is likely attributed to more cytosolic p-MRLC accumulating in the expanded axonal beads. As the periodic p-MRLC in the axon cortex reflects the activated actomyosin-II pool, which controls the axon caliber, we further explored the distribution of p-MRLC in the axon cortex. Using 3D-SIM, we found the periodic distribution of cortical p-MRLC puncta on DIV8 axon shafts (Fig. 5, F and G, Control group; and Fig. S3, A–C). Calyculin A treatment reduced p-MRLC periodicity exclusively in beading regions, leaving between regions unaffected (Fig. 5, F and G). Moreover, both p-MRLC and βII-spectrin exhibited a periodic distribution along axon shafts. Yet, their distinct separation is frequently challenging to discern, except in certain thicker axonal regions (Fig. 5 F), possibly attributed to the resolution limitations of 3D-SIM. Collectively, we found that Calyculin-A treatment promotes the formation of axon beads but disrupts the cortical p-MRLC periodicity in these beads.
The development of periodic actomyosin-II impacts the capacity of stress-induced reversible axon beading. (A) Representative SIM images illustrating p-MRLC periodicity measurement (see Materials and methods). The traced lines of p-MRLC and the non-periodic β III tubulin are shown in the bottom panels. Bar = 1 µm. (B) The line profiles of traced p-MRLC (blue line) and β III tubulin (black line) from A. p-MRLC and β III tubulin peaks are indicated with red circles, respectively. (C) The ratio of periodic p-MRLC is calculated as peaks with spacing between 0.2 ± 0.025 µm. (D) SIM images showing p-MRLC ring distribution in growth cones and distal axon shafts at DIV4 and DIV8 hippocampal neurons in AoC. Red brackets indicate gaps lacking periodic p-MRLC. Bar = 5 µm (top), 1 µm (bottom). (E) Comparison of periodicity ratio between growth cones and distal axon shafts in D (N = 18, 23, 21, 27). (F) Time-lapse images showing the beading process in growth cones (GC, 1#) and axon shafts (2#) before and after flux at DIV4 and DIV8. Bracketed ROIs amplified in bottom panels. Bar = 20 µm (top), 5 µm (bottom). (G) Paired comparison of flux-induced beading density as shown in F (N = 9, 11). (H) Positive correlation between p-MRLC periodicity and stress-induced axon beading density in growth cones or shafts on DIV4 or DIV8, with Pearson’s correlation coefficient close to 1. (I and J) Quantification of (I) initial bead number and (J) peak bead number during stress induced by 50 µl/min flux, related to Fig. 5 M. (N = 21, 41, 31, 42 in I; 21, 40, 32, 42 in J). Data represent mean ± SEM; in E, Tukey’s multiple comparisons test; in G, within groups paired two-tailed Student’s t test, between groups unpaired two-tailed Student’s t test; in I and J, Mann-Whitney test; *P < 0.05, **P < 0.01, ***P < 0.001.
The development of periodic actomyosin-II impacts the capacity of stress-induced reversible axon beading. (A) Representative SIM images illustrating p-MRLC periodicity measurement (see Materials and methods). The traced lines of p-MRLC and the non-periodic β III tubulin are shown in the bottom panels. Bar = 1 µm. (B) The line profiles of traced p-MRLC (blue line) and β III tubulin (black line) from A. p-MRLC and β III tubulin peaks are indicated with red circles, respectively. (C) The ratio of periodic p-MRLC is calculated as peaks with spacing between 0.2 ± 0.025 µm. (D) SIM images showing p-MRLC ring distribution in growth cones and distal axon shafts at DIV4 and DIV8 hippocampal neurons in AoC. Red brackets indicate gaps lacking periodic p-MRLC. Bar = 5 µm (top), 1 µm (bottom). (E) Comparison of periodicity ratio between growth cones and distal axon shafts in D (N = 18, 23, 21, 27). (F) Time-lapse images showing the beading process in growth cones (GC, 1#) and axon shafts (2#) before and after flux at DIV4 and DIV8. Bracketed ROIs amplified in bottom panels. Bar = 20 µm (top), 5 µm (bottom). (G) Paired comparison of flux-induced beading density as shown in F (N = 9, 11). (H) Positive correlation between p-MRLC periodicity and stress-induced axon beading density in growth cones or shafts on DIV4 or DIV8, with Pearson’s correlation coefficient close to 1. (I and J) Quantification of (I) initial bead number and (J) peak bead number during stress induced by 50 µl/min flux, related to Fig. 5 M. (N = 21, 41, 31, 42 in I; 21, 40, 32, 42 in J). Data represent mean ± SEM; in E, Tukey’s multiple comparisons test; in G, within groups paired two-tailed Student’s t test, between groups unpaired two-tailed Student’s t test; in I and J, Mann-Whitney test; *P < 0.05, **P < 0.01, ***P < 0.001.
To further validate the correlation between beading capacity and actomyosin-II periodicity, we determined p-MRLC periodicity in axon shafts and growth cones at DIV4 and DIV8, respectively. In both stages, axon shafts’ periodicity was higher than that of growth cone regions (Fig. S3, D and E). Moreover, DIV8 axon shafts exhibited significantly higher p-MRLC periodicity than DIV4 (Fig. S3, D and E). In growth cones with multiple p-MRLC gaps, the periodicity was markedly lower than in shafts of the same stage (Fig. S3, D and E). This suggests that in DIV8 distal axonal shafts, p-MRLC periodicity is well established, akin to MPS maturation revealed earlier (Xu et al., 2013; Zhong et al., 2014). Additionally, we explored beading capacity in axon shafts and growth cones at DIV4 and DIV8 and found that flux-induced beading was most prominent in DIV8 shafts with the highest p-MRLC periodicity ratio but was lowest in DIV4 growth cones with the lowest p-MRLC periodicity (Fig. S3, F and G). These results collectively support a highly positive correlation between p-MRLC periodicity and stress-induced axon beading capacity (Fig. S3 H).
To directly explore how flux-induced stress affects actomyosin-II, we used 3D-SIM to resolve the intensity and distribution of p-MRLC in fluxed (injury chamber) axon shafts and compared them with non-fluxed (soma chamber) axons in the same device 2 h after flux. Beading regions of fluxed axons exhibited disrupted periodicity, evident through enlarged gaps between adjacent p-MRLC (Fig. 5 H, bottom, red brackets), resulting in loss of periodicity (Fig. 5 I) and increased spacing (Fig. 5 J). Conversely, between regions after flux showed no significant changes in periodicity but a notable upregulation in p-MRLC levels (Fig. 5 K), indicating localized enhancement of actomyosin-II activity. To further manipulate the NM-II activity, we transfected neurons cultured in an AoC with either the inactive MRLC mutant S19A/T18A (SA), the constitutively active MRLC mutant S19D/T18D (SD) (Beach et al., 2011), or wild-type MRLC (WT). We found that the beading density in non-fluxed axons is unaffected (Fig. 5 L and Fig. S3 I). In contrast, under mild stress (50 μl/min, 180 s), the capacity of axon beading in both NM-II inactivated MRLC-SA and constitutively active MRLC-SD neurons was significantly reduced (Fig. 5 M), reflected by the significantly reduced peak bead number (Fig. S3 J), and altered beading kinetics (Fig. 5 M), as compared with control neurons transfected with GFP. These results demonstrate that periodically arranged and coordinated NM-II filaments in the axon shaft cortex are both necessary and sufficient for rapid and reversible axon beading induced by mechanical stress.
Axon beading restricts Ca2+ elevation to mechanically stressed regions
Next, we investigated the physiological functions of stress-induced axon beading. In the AoC device, we found that within the same axon, flux-induced beading was restricted to the stressed distal region (Fig. 6, A, 2#, and B; and Fig. S4 A). In contrast, the morphology of non-fluxed proximal segments in the soma chamber showed no significant change after the flux (50 μl/min for 180 s) (Fig. 6, A, 1#, and B; and Fig. S4 A). In addition, the phenomenon of regionally restricted beading formation was also observed in axons stressed by higher flow speed (200 μl/min for 180 s) with the non-fluxed proximal axonal regions remaining structurally intact (Fig. S4 B). These data suggest that the reversible beading is restricted to the stressed axonal regions.
Both stress-induced axonal beading and Ca 2+ elevation are spatially restricted. (A) Representative image of non-stressed axonal segments in the soma chamber (Soma) and stressed segments within the injury chamber (Flux) of the same neuron before and after 50 μl/min flux for 180 s. Bracketed regions in the soma (1#) and bracketed regions in flux (2#) are magnified right. Arrows indicate the direction of injecting flux. The two white arrowheads denote a representative region illustrating the flux-induced beading process. Bar = 20 μm. (B) Paired comparison of the number of beads in non-stressed (soma) and stressed segments (fluxed) before and after the flux (N = 6). (C) Axons expressing GCaMP-6f were stressed with 50 μl/min flux for 180 s. [Ca2+ ]axon intensity was color-coded in the non-stressed (Soma) and the stressed (Flux) axonal segment. Arrows indicate the direction of injecting flux. Bar = 20 μm. (D) Paired comparison of the [Ca2+ ]axon in non-stressed (soma) and stressed segments (fluxed) (N = 6). (E) Spatial and temporal changes in [Ca2+]axon before (t1), during (t2), and after (t3) the 180 s of 50 µl/min flux, marked by the red line. The bracketed region is amplified at the bottom, with arrowheads indicating axon beads. Bar = 10 μm. (F) Kymographs of magnified axons in E; x-axis bar = 5 μm, y-axis bar = 20 s. (G) Quantification of the total [Ca2+]axon fluctuation induced by the 50 μl/min flux. The flux span is indicated with shades, with arrows indicating t1, t2, and t3. (H) Quantification of [Ca2+]axon at t1, t2, and t3 in 50 or 200 μl/min fluxed groups. N = 14, 17 (the 200 μl/min subsets of data were also used in Fig. 6 E of Pan et al. [2022]). (I) Time-lapse images showing the kinetics of the [Ca2+]axon along the beading axons, with the beading region indicated with an asterisk and the [Ca2+]axon spreading indicated with an arrow. The kymograph is shown on the right, with a dashed line indicating the spreading of the [Ca2+]axon. Bar = 20 μm (top and bottom left); x-axis bar = 20 μm and y-axis bar = 200 s (bottom right). (J) Quantification of the flux-induced [Ca2+]axon fluctuation in beading and between regions (N = 10). (K) Quantification of the heterogeneity of [Ca2+]axon (N = 115, 150, 110). (L) Comparison of the spreading speeds of the [Ca2+]axon waves along the same axon before and after the 50 μl/min flux, which induced axon beading. Ca2+ intensity is color-coded. Arrows indicate the frontier of the wave. Bar = 5 μm. (M) Quantification of the spreading speeds of L (N = 8, 17). (N) Schematic cartoon demonstrating the hindrance of [Ca2+]axon propagation by beading axons, with orange arrows indicating the spreading direction of retrograde [Ca2+]axon. Data represent mean ± SEM; in B and D, paired two-tailed unpaired t test; in H, K, and M, unpaired two-tailed Student’s t test. *P < 0.05, **P < 0.01, ***P < 0.001; n.s., non-significant.
Both stress-induced axonal beading and Ca 2+ elevation are spatially restricted. (A) Representative image of non-stressed axonal segments in the soma chamber (Soma) and stressed segments within the injury chamber (Flux) of the same neuron before and after 50 μl/min flux for 180 s. Bracketed regions in the soma (1#) and bracketed regions in flux (2#) are magnified right. Arrows indicate the direction of injecting flux. The two white arrowheads denote a representative region illustrating the flux-induced beading process. Bar = 20 μm. (B) Paired comparison of the number of beads in non-stressed (soma) and stressed segments (fluxed) before and after the flux (N = 6). (C) Axons expressing GCaMP-6f were stressed with 50 μl/min flux for 180 s. [Ca2+ ]axon intensity was color-coded in the non-stressed (Soma) and the stressed (Flux) axonal segment. Arrows indicate the direction of injecting flux. Bar = 20 μm. (D) Paired comparison of the [Ca2+ ]axon in non-stressed (soma) and stressed segments (fluxed) (N = 6). (E) Spatial and temporal changes in [Ca2+]axon before (t1), during (t2), and after (t3) the 180 s of 50 µl/min flux, marked by the red line. The bracketed region is amplified at the bottom, with arrowheads indicating axon beads. Bar = 10 μm. (F) Kymographs of magnified axons in E; x-axis bar = 5 μm, y-axis bar = 20 s. (G) Quantification of the total [Ca2+]axon fluctuation induced by the 50 μl/min flux. The flux span is indicated with shades, with arrows indicating t1, t2, and t3. (H) Quantification of [Ca2+]axon at t1, t2, and t3 in 50 or 200 μl/min fluxed groups. N = 14, 17 (the 200 μl/min subsets of data were also used in Fig. 6 E of Pan et al. [2022]). (I) Time-lapse images showing the kinetics of the [Ca2+]axon along the beading axons, with the beading region indicated with an asterisk and the [Ca2+]axon spreading indicated with an arrow. The kymograph is shown on the right, with a dashed line indicating the spreading of the [Ca2+]axon. Bar = 20 μm (top and bottom left); x-axis bar = 20 μm and y-axis bar = 200 s (bottom right). (J) Quantification of the flux-induced [Ca2+]axon fluctuation in beading and between regions (N = 10). (K) Quantification of the heterogeneity of [Ca2+]axon (N = 115, 150, 110). (L) Comparison of the spreading speeds of the [Ca2+]axon waves along the same axon before and after the 50 μl/min flux, which induced axon beading. Ca2+ intensity is color-coded. Arrows indicate the frontier of the wave. Bar = 5 μm. (M) Quantification of the spreading speeds of L (N = 8, 17). (N) Schematic cartoon demonstrating the hindrance of [Ca2+]axon propagation by beading axons, with orange arrows indicating the spreading direction of retrograde [Ca2+]axon. Data represent mean ± SEM; in B and D, paired two-tailed unpaired t test; in H, K, and M, unpaired two-tailed Student’s t test. *P < 0.05, **P < 0.01, ***P < 0.001; n.s., non-significant.
Functions of stress-induced axonal responses and validation of the effects of several compounds on such responses. (A) Representative images of the straightened axon before and after the flux (top) and automatic detection of the axon beading (bottom). Bar = 20 μm. (B) Paired comparison of axon bead density in soma chamber (soma) and central injury chamber (fluxed) (N = 6, 6, 21, 15). (C) Representative images showing the [Ca2+]axon intensity in straightened axons before and after the flux. Bar = 20 μm. (D) Rat hippocampal neurons co-expressing Lifeact-RFP and GCaMP-6f were fluxed at 50 μl/min. Representative field showing deformation of less-stressed axonal segments near the boundary of the AoC device (1#, boundary) or the more severely stressed distal axonal part (2#, central), with the beads indicated by white arrowheads. Bar = 30 μm (left) and 10 μm (right). (E) Quantification of D (N = 10, 12). (F) Axons expressing Lifeact-GFP were pretreated with EDTA (0.5 mM), BAPTA-AM (10 μM), and PNB (50 μM) for 30 min, then exposed to 50 μl/min flux for 180 s. Left panels display representative time-lapse images illustrating the axon deformation before and during flux; right panels show the automatically detected beads highlighted in magenta. Bar = 5 μm. (G) Curves depict fluctuations in axon bead number in F. (H) Peak bead number quantification in F (N = 41, 20, 28, 18). (I) Quantification of [Ca2+]axon wave frequency along the same axon before and during 50 μl/min flux (N = 58). (J) Representative images showing the resting [Ca2+]axon intensity before the flux in control, PNB (50 μΜ), and ML-7 (10 μΜ) treated axons. Bar = 20 μm. (K) Quantification of J (N = 64, 40, 49). (L) Quantification of the peak values of the ΔF/F0 [Ca2+]axon changes, related to Fig. 6 C (N = 26, 42). Results are shown as mean ± SEM; in B, E, and I, paired two-tailed Student’s t test; in H, K, and L, unpaired two-tailed Student’s t test; **P < 0.01, ***P < 0.001, n.s., non-significant.
Functions of stress-induced axonal responses and validation of the effects of several compounds on such responses. (A) Representative images of the straightened axon before and after the flux (top) and automatic detection of the axon beading (bottom). Bar = 20 μm. (B) Paired comparison of axon bead density in soma chamber (soma) and central injury chamber (fluxed) (N = 6, 6, 21, 15). (C) Representative images showing the [Ca2+]axon intensity in straightened axons before and after the flux. Bar = 20 μm. (D) Rat hippocampal neurons co-expressing Lifeact-RFP and GCaMP-6f were fluxed at 50 μl/min. Representative field showing deformation of less-stressed axonal segments near the boundary of the AoC device (1#, boundary) or the more severely stressed distal axonal part (2#, central), with the beads indicated by white arrowheads. Bar = 30 μm (left) and 10 μm (right). (E) Quantification of D (N = 10, 12). (F) Axons expressing Lifeact-GFP were pretreated with EDTA (0.5 mM), BAPTA-AM (10 μM), and PNB (50 μM) for 30 min, then exposed to 50 μl/min flux for 180 s. Left panels display representative time-lapse images illustrating the axon deformation before and during flux; right panels show the automatically detected beads highlighted in magenta. Bar = 5 μm. (G) Curves depict fluctuations in axon bead number in F. (H) Peak bead number quantification in F (N = 41, 20, 28, 18). (I) Quantification of [Ca2+]axon wave frequency along the same axon before and during 50 μl/min flux (N = 58). (J) Representative images showing the resting [Ca2+]axon intensity before the flux in control, PNB (50 μΜ), and ML-7 (10 μΜ) treated axons. Bar = 20 μm. (K) Quantification of J (N = 64, 40, 49). (L) Quantification of the peak values of the ΔF/F0 [Ca2+]axon changes, related to Fig. 6 C (N = 26, 42). Results are shown as mean ± SEM; in B, E, and I, paired two-tailed Student’s t test; in H, K, and L, unpaired two-tailed Student’s t test; **P < 0.01, ***P < 0.001, n.s., non-significant.
We then explored the mechanisms underlying the restriction of reversible axonal beading to stressed regions. The communication between an injured axon and its soma occurs through the long-range spreading of axonal Ca2+ waves, defined as the [Ca2+]axon, which originates from the injury site and spreads bidirectionally, triggering secondary degenerative responses en route (Rishal and Fainzilber, 2014; Vargas et al., 2015; Witte et al., 2019). In neurons expressing the Ca2+ sensor GCaMP-6f, we observed that mild mechanical stress (50 μl/min flux) induced significant elevation of [Ca2+]axon, resembling the Ca2+ increase observed in axonal varicosities induced by puff-stress reported previously (Gu et al., 2017). Furthermore, we found that the flux-induced elevation of the [Ca2+]axon was restricted to the fluxed region of the axon, which was directly exposed to the mechanical stress (Fig. 6 C, fluxed region [2#], Fig. 6 D, and Fig. S4 C). However, such elevation was absent in the non-fluxed region inside the soma reservoirs (Fig. 6 C, non-fluxed region [1#], Fig. 6 D, and Fig. S4 C). The elevation of the [Ca2+]axon coincided with the axon beading process, both of which are regionally restricted to the mechanically stressed axon parts. The distal axons near the center of the injury chamber showed the highest beading density, aligning with the faster flux speed they received (Fig. S4 D, central region [2#], and Fig. S4 E). In contrast, axons near the device boundary (Fig. S4 D, boundary region [1#], and Fig. S4 E) exhibited a limited increase in Ca2+ levels, attributed to the slower flow speed induced by the AoC’s boundary effect (Pan et al., 2022). This indicates that the extent of stress-induced reversible beading correlates with its ability to restrict [Ca2+]axon elevation.
To explore the relationship between the stress-induced axon beading and [Ca2+]axon elevation, we examined their kinetics while applying mild mechanical stress. We found that along the entire stressed axon shaft, which includes both beading and between regions, Ca2+ was significantly increased by 1.310 ± 0.127-fold compared with the resting level, with the peaks achieved at ∼160 s and restored around 480 s following flux onset (Fig. 6, E and G). Interestingly, the Ca2+ elevation triggered by mild stress was only prominent in the beading regions, which were restricted and soon reduced to the baseline. Such reversibility in the elevation of [Ca2+]axon sharply contrasts with that of the axons subjected to higher flow rates, which instead caused the progressive increase in Ca2+ surges that ultimately led to irreversible axonal injury (Fig. 6 H). Blocking flux-induced [Ca2+]axon elevation using Ca2+ chelators EDTA or BAPTA-AM (1,2-bis (2-aminophenoxy) ethane-N,N,N',N'-tetraacetic acid) significantly reduced the level of axonal beading (Fig. S4, F–H), suggesting that [Ca2+]axon is required to initiate axonal beading. These data indicate that the reversibility of [Ca2+]axon elevation is highly related to the reversibility of beading.
Because the [Ca2+]axon in mildly stressed axons is highly restricted (Fig. 6, F and H), we next examined whether axon beading, in turn, modulates the elevated [Ca2+]axon. We found that the stress-induced [Ca2+]axon was highly heterogeneous. As resolved in the kymograph of the stressed axon (Fig. 6 I, right), immediately after the flux onset, the [Ca2+]axon inside the beading regions increased significantly (Fig. 6 J, black line). In contrast, the [Ca2+]axon inside the between regions decreased significantly (Fig. 6 J, gray line). Such alterations combined caused dramatic Ca2+ heterogeneity along the stressed axon shortly after the onset of the flux (Fig. 6 K). Interestingly, after the flux, the Ca2+ trapped in the beads was released upon the relaxation of the flanking between regions (Fig. 6 I, asterisk, and Video 10). These observations demonstrate that the stress-induced reversible axonal beading is accompanied by Ca2+ heterogeneity along the axon. Notably, the transmission rates of the [Ca2+]axon along the fluxed and beading axon were significantly reduced as compared with that along the non-beading axon before the flux (Fig. 6, L and M), whereas their frequency was not affected (Fig. S4 I). These data demonstrate that mild mechanical stress induces the reversible axon beading process, leading to the restriction of elevated [Ca2+]axon into the beading areas, thereby impeding the long-range spreading of the [Ca2+]axon beyond the mechanically stressed regions (Fig. 6 N).
Stress-induced axon beading restricts the spreading of elevated Ca2+in the axon. Rat hippocampal neurons expressing GCaMP-6f were stressed with 50 μl/min flux for 180 s in an AoC device. Time-lapse images were acquired, showing the elevated [Ca2+]axon induced by flow injection. The appearance of cyan boxes marks the duration of the flux. The elevated Ca2+ restricted within a single axonal bead is marked by an asterisk. The spreading of the Ca2+ signal after the relaxation of the contracted regions flanking this axonal bead is indicated by arrows. Bar = 10 µm (left) and 5 µm (right). Video display rate: 5 fps.
Stress-induced axon beading restricts the spreading of elevated Ca2+in the axon. Rat hippocampal neurons expressing GCaMP-6f were stressed with 50 μl/min flux for 180 s in an AoC device. Time-lapse images were acquired, showing the elevated [Ca2+]axon induced by flow injection. The appearance of cyan boxes marks the duration of the flux. The elevated Ca2+ restricted within a single axonal bead is marked by an asterisk. The spreading of the Ca2+ signal after the relaxation of the contracted regions flanking this axonal bead is indicated by arrows. Bar = 10 µm (left) and 5 µm (right). Video display rate: 5 fps.
Reversible axon beading is mechanoprotective against mild mechanical stress
To examine whether disruption of actomyosin-II affects the propagation of [Ca2+]axon in stressed axons, we analyzed the [Ca2+]axon kinetics following treatment with either the NM-II inhibitor Para–Nitro–Blebbistatin (PNB), the low photo-toxicity analog of Blebbistatin (Képiró et al., 2014), or the NM-II inhibitor ML-7. We found that similar to the most potent NM-II inhibitor, Blebbistatin, both ML-7 and PNB could significantly reduce the formation of axonal beads that were induced by the low-speed flux (50 μl/min, 180 s) (Fig. 5, A and B; and Fig. S4, F–H). However, because in non-treated neurons ML-7 disturbed the resting [Ca2+]axon level (Fig. S4, J and K), we chose to use PNB as the actomyosin-II inhibitor in the following live-imaging experiments. While in control axons, the elevated [Ca2+]axon was highly restricted to the beading regions (Fig. 7, A and B, left panels) and the elevated [Ca2+]axon in the PNB-treated axons was less restricted, showing a significantly wider distribution (Fig. 7, A and B, right panels; and Video 11). In PNB-treated neurons, the amplitude of the [Ca2+]axon elevation along the entire axon region (Fig. 7 C and Fig. S4 L) and the beading region (Fig. 7 D) were both reduced compared with those of control axons (Video 11), suggesting that axonal beading is required for the [Ca2+]axon elevation. Notably, in control axons, the [Ca2+]axon elevations declined rapidly after the mild stress, as reflected by the sharp declining curve after the [Ca2+]axon reached its peak (Fig. 7 D, black curve). However, in the PNB-treated axons, the declining rate was significantly slower (Fig. 7 D, red curve), leading to reduced reversibility (Fig. 7 E) and extended recovery time (Fig. 7 F). This suggests that actomyosin-II inactivated axons have impaired capacity to return the elevated [Ca2+]axon to its baseline after the stress. Besides the changes in the [Ca2+]axon amplitudes, in PNB-treated axons, the occurrence of multiple [Ca2+]axon bursts, which are sudden shooting of [Ca2+]axon waves along the stressed axons bidirectionally (Fig. 7 B, red arrows; and Video 11, right panels), was significantly increased (Fig. 7 G), indicating that the inactivation of actomyosin-II–dependent axon beading can dramatically alter the kinetics of [Ca2+]axon elevation, leading to the [Ca2+]axon dysregulation, which is marked by slower recovery rate, reduced reversibility, and more frequent bursting rate of the elevated [Ca2+]axon.
Actomyosin-II–dependent axon beading suppresses the long-range spreading of the [Ca 2+ ] axon along the stressed axon. (A) Summation of [Ca2+]axon intensities over the entire stress-induced beading process, featuring representative control and PNB (+PNB; 50 μΜ) treated axons. Bracketed regions are shown magnified in the lower boxes. The changes in fluorescence intensity (ΔF/F0) reflecting the kinetics of [Ca2+]axon fluctuations are color-coded. Bar = 20 μm. (B) Kymographs of magnified axons in A, with bursts of [Ca2+]axon wave indicated by red arrows on the right. [Ca2+]axon hot spots are indicated with asterisks. X-axis bar = 5 μm, y-axis bar = 200 s. (C and D) Quantification of the ΔF/F0 changes reflecting the kinetics of [Ca2+]axon fluctuations (C) in the total axonal area (N = 26, 42) and (D) in the beading regions (N = 28, 30). (E) Quantification of the Ir of D (N = 27, 30). (F) Quantification of the time required to decay to half-maximal ΔF/F0 using the data set in D (N = 28, 30). (G) The relative burst frequency of [Ca2+]axon in control (Ctrl) and PNB-treated axons (N = 28, 47). (H) Representative tiled live-cell images showing the [Ca2+]axon in the non-stressed (Soma) and stressed (Flux) regions. Yellow-boxed regions are magnified in the lower panels, with red arrows indicating the flux direction. [Ca2+]axon intensity is color-coded. Bar = 40 μm (top) and 20 μm (bottom). (I) Comparison of [Ca2+]axon in the non-stressed soma chamber (N = 33, 30). (J) In control or Blebbistatin (BLB) treated neurons, the SCG10 intensity in the stressed axonal regions follows the stress induced by the indicated flow rates. Bar = 150 μm. (K and L) Quantification of (K) SCG10 and (L) Cleaved Caspase 3. For SCG10: control, N = 80*, 105*, 71, 63; +BLB, N = 90, 82, 84; subsets of data marked with asterisks were used in Fig. 4, K and L, of Pan et al. [2022]). For Cleaved Caspase 3: control, N = 119*, 131*, 125, 105; +BLB, N = 84, 109, 114; subsets of data marked with asterisks were used in Fig. 4, I and J; of Pan et al. [2022]). Data represent mean ± SEM; in C, D, F, G, K, and L, unpaired two-tailed Student’s t test; in E, Mann-Whitney test; in I, paired two-tailed Student’s t test; *P < 0.05, **P < 0.01, ***P < 0.001; * marks the t test results with the 0 μl/min control dataset; # marks the t test results between control and BLB-treated neurons of the same flow rate.
Actomyosin-II–dependent axon beading suppresses the long-range spreading of the [Ca 2+ ] axon along the stressed axon. (A) Summation of [Ca2+]axon intensities over the entire stress-induced beading process, featuring representative control and PNB (+PNB; 50 μΜ) treated axons. Bracketed regions are shown magnified in the lower boxes. The changes in fluorescence intensity (ΔF/F0) reflecting the kinetics of [Ca2+]axon fluctuations are color-coded. Bar = 20 μm. (B) Kymographs of magnified axons in A, with bursts of [Ca2+]axon wave indicated by red arrows on the right. [Ca2+]axon hot spots are indicated with asterisks. X-axis bar = 5 μm, y-axis bar = 200 s. (C and D) Quantification of the ΔF/F0 changes reflecting the kinetics of [Ca2+]axon fluctuations (C) in the total axonal area (N = 26, 42) and (D) in the beading regions (N = 28, 30). (E) Quantification of the Ir of D (N = 27, 30). (F) Quantification of the time required to decay to half-maximal ΔF/F0 using the data set in D (N = 28, 30). (G) The relative burst frequency of [Ca2+]axon in control (Ctrl) and PNB-treated axons (N = 28, 47). (H) Representative tiled live-cell images showing the [Ca2+]axon in the non-stressed (Soma) and stressed (Flux) regions. Yellow-boxed regions are magnified in the lower panels, with red arrows indicating the flux direction. [Ca2+]axon intensity is color-coded. Bar = 40 μm (top) and 20 μm (bottom). (I) Comparison of [Ca2+]axon in the non-stressed soma chamber (N = 33, 30). (J) In control or Blebbistatin (BLB) treated neurons, the SCG10 intensity in the stressed axonal regions follows the stress induced by the indicated flow rates. Bar = 150 μm. (K and L) Quantification of (K) SCG10 and (L) Cleaved Caspase 3. For SCG10: control, N = 80*, 105*, 71, 63; +BLB, N = 90, 82, 84; subsets of data marked with asterisks were used in Fig. 4, K and L, of Pan et al. [2022]). For Cleaved Caspase 3: control, N = 119*, 131*, 125, 105; +BLB, N = 84, 109, 114; subsets of data marked with asterisks were used in Fig. 4, I and J; of Pan et al. [2022]). Data represent mean ± SEM; in C, D, F, G, K, and L, unpaired two-tailed Student’s t test; in E, Mann-Whitney test; in I, paired two-tailed Student’s t test; *P < 0.05, **P < 0.01, ***P < 0.001; * marks the t test results with the 0 μl/min control dataset; # marks the t test results between control and BLB-treated neurons of the same flow rate.
Actomyosin-II–dependent radial modulation of axons is required to restrict stress-induced Ca2+elevation. Axons of rat hippocampal neurons expressing GCaMP-6f were subjected to mild mechanical stress (50 μl/min, 180 s) in an AoC device. Time-lapse images of [Ca2+]axon were acquired in the central injury chamber, showing the dynamic kinetics of [Ca2+]axon in both controls (left) and PNB-treated (right) axons. The cyan background indicates the duration of the flux, and the boxed ROI is magnified in the lower panels. Bar = 20 µm (top) and 5 µm (bottom). Video display rate: 6 fps.
Actomyosin-II–dependent radial modulation of axons is required to restrict stress-induced Ca2+elevation. Axons of rat hippocampal neurons expressing GCaMP-6f were subjected to mild mechanical stress (50 μl/min, 180 s) in an AoC device. Time-lapse images of [Ca2+]axon were acquired in the central injury chamber, showing the dynamic kinetics of [Ca2+]axon in both controls (left) and PNB-treated (right) axons. The cyan background indicates the duration of the flux, and the boxed ROI is magnified in the lower panels. Bar = 20 µm (top) and 5 µm (bottom). Video display rate: 6 fps.
Given the devastating effect of long-range spreading [Ca2+]axon underlying acute axonal injury (Vargas et al., 2015; Wang et al., 2012), actomyosin-II–dependent restriction of stress-induced [Ca2+]axon emerges as a protective mechanism for stressed axons. As axon beading impedes long-range [Ca2+]axon transmission, taking advantage of the design of AoC, we further compared the intensities of [Ca2+]axon in axons inside the soma chamber (Fig. 7 H, yellow boxes), which were not stressed. We found that in PNB-treated groups, the [Ca2+]axon intensity in the axons in the soma chamber was significantly increased following stress (Fig. 7 I, red spots). In contrast, the control groups remained stable (Fig. 7 I, gray spots). This result suggests that inhibiting actomyosin-II increased the long-range spreading of elevated [Ca2+]axon from stressed to non-stressed axonal regions.
To further explore whether manipulating actomyosin-II activity affects the ultimate fate of stressed axons, we employed two previously established AoC-based assays to assess the severity of flux-induced AAD (Pan et al., 2022). First, 2 h after flux, the severity of AAD was measured using two markers: upregulated Cleaved Caspase 3 and decreased SCG10 (observed in degenerating axonal segments shortly after mechanical injury) (Shin et al., 2012, 2014). We found that after being treated with Blebbistatin, the stressed axons exhibited significantly more severe AAD with notably reduced SCG10 (Fig. 7, J and K, red curve) and increased Cleaved Caspase 3 (Fig. 7, J and L, red curve) compared with control axons subjected to the same flux rates, suggesting the necessity of actomyosin-II activity to shield axons from AAD induced by mild stress. Second, 24 h after flux, the extent of AAD induced by high-speed flux (200 μl/min, 180 s), which causes severe irreversible diffuse axonal injuries (Pan et al., 2022), was assessed by evaluating the proportion of fragmented axons, identified by near-circular shape features of axonal fragments (Fig. S5 A). Overexpression of MRLC-SD significantly reduced the ratio of fragmented axons (Fig. S5 B), indicating that consecutive activation of actomyosin-II alleviates AAD severity induced by high-speed flux. These in vitro findings collectively suggest a crucial role of actomyosin-II in protecting stressed axons from primary injury and subsequent AAD.
Validation of AAV-mediated MRLC mutants expression in mouse cortex and analysis of axon fragmentation in vitro and in vivo. (A) Strong mechanical stress (200 μl/min, 180 s) was applied to axons of AAV-infected neurons expressing GFP and MRLC mutants in the AoC. At 24 h after flux, neurons were fixed and used for fragmentation analysis. Representative images depict the morphology of stressed axons, presenting raw images of the GFP channel (left) and extracted fragmented fractions (right). Fragmentation extraction criteria are based on circularity >0.8 and area between 0.1 and 30.0 μm2. Bar = 30 μm. (B) Quantification of the ratio of fragmented axons (N = 41, 24, 32, 28). (C) Confocal images show AAV-mediated overexpression of GFP and MRLC mutants in mice cortex, detected using MRLC antibody 14 days after viral injection. Arrowheads indicate neurons overexpressing MRLC. Bar = 0.4 mm (left), 0.1 mm (right). (D) 3D stacks of confocal microscopy in brain slices from a sham mouse reveal the continuous morphology of individual commissural axons. Bar = 100 μm (left), 20 μm (right). (E) Representative images for Imaris detection of axon fragmentation; the magnified ROIs were shown in Fig. 8 H. Sparsely (1#) and densely (2#) labeled ROI locations were indicated on these uncropped images by yellow boxes. Bar = 100 μm. Data represent mean ± SEM; unpaired two-tailed Student’s t test; *P < 0.05.
Validation of AAV-mediated MRLC mutants expression in mouse cortex and analysis of axon fragmentation in vitro and in vivo. (A) Strong mechanical stress (200 μl/min, 180 s) was applied to axons of AAV-infected neurons expressing GFP and MRLC mutants in the AoC. At 24 h after flux, neurons were fixed and used for fragmentation analysis. Representative images depict the morphology of stressed axons, presenting raw images of the GFP channel (left) and extracted fragmented fractions (right). Fragmentation extraction criteria are based on circularity >0.8 and area between 0.1 and 30.0 μm2. Bar = 30 μm. (B) Quantification of the ratio of fragmented axons (N = 41, 24, 32, 28). (C) Confocal images show AAV-mediated overexpression of GFP and MRLC mutants in mice cortex, detected using MRLC antibody 14 days after viral injection. Arrowheads indicate neurons overexpressing MRLC. Bar = 0.4 mm (left), 0.1 mm (right). (D) 3D stacks of confocal microscopy in brain slices from a sham mouse reveal the continuous morphology of individual commissural axons. Bar = 100 μm (left), 20 μm (right). (E) Representative images for Imaris detection of axon fragmentation; the magnified ROIs were shown in Fig. 8 H. Sparsely (1#) and densely (2#) labeled ROI locations were indicated on these uncropped images by yellow boxes. Bar = 100 μm. Data represent mean ± SEM; unpaired two-tailed Student’s t test; *P < 0.05.
Upregulating actomyosin-II activity alleviates axonal injury in mTBI mice
Finally, we investigated the function of stress-induced axon beading in vivo using a mouse model of mTBI. For this, we utilized closed-skull mouse models for TBI to mimic concussion, as previously described (Gu et al., 2017; Sun et al., 2022). Briefly, adeno-associated virus (AAV) encoding the vehicle, either the inactive MRLC-SA, the constitutively active MRLC-SD, or MRLC-WT were injected into the primary somatosensory cortex of adult mice to manipulate the activity of actomyosin-II of the infected cortical neurons (Fig. 8 A). 2 wk after AAV injection, MRLC mutants were efficiently expressed in cortical neurons at the injection sites (Fig. S5 C). In sham mice brain slices, 3D stacks from confocal microscopy illustrated the morphology of individual commissural axons originating from AAV-infected cortical neurons, with the majority exhibiting a typical continuous appearance (Fig. S5 D). On the day of the mTBI experiment, a single impact strike was given on the secondary motor cortex in the opposite hemisphere of the AAV injection site (Fig. 8, B and C). After a 24-h interval, the morphologies of AAV-infected commissural axons in the tracts crossing the midline (corpus callosum) and those projecting to the site of impact (impacted site) were analyzed to assess the degree of axon fragmentation, which marks AAD in vivo (Fig. 8 D). We found that in the impacted mice, more axons in both the corpus callosum and the impacted site demonstrated a fragmented appearance, marked by the shortened and sphere-like shapes (Fig. 8 E, right panels) compared with sham mice (Fig. 8 E, left panels). After comparing the morphological features of the stressed axons, color-coded by the volume of the axonal segments (Fig. 8 F), we found that in both regions (corpus callosum and impacted site) the ratio of the fragmented axon was significantly increased in the impacted mice (Fig. 8 G). This finding demonstrates the success of the mTBI model, as reflected by the significantly elevated severity of AAD 24 h after the impact. Next, we compared the severity of AAD in mice brains with that of neurons expressing the MRLC mutants. We found that in mice brains infected with AAV expressing the constitutively active MRLC-SD, the proportion of fragmented axons was significantly reduced compared with the vehicle (−) or MRLC-WT AAV-infected mice, in either densely or sparsely labeled axons (Fig. 8, H and I; and Fig. S5 E). This suggests that activation of actomyosin-II reduces the severity of AAD induced by mTBI.
Activations of actomyosin-II protect mechanically stressed axons from AAD. (A) Procedure timeline of the closed-skull mTBI mouse model. (B) Schematic illustrating the relative locations of stereotaxic cortical injection of AAV and impact sites in the brain of the mTBI mouse model. (C) Brain map showing AAV-hSyn-GFP injection and impact locations. (D) A representative tiled image shows axon tracts in the corpus callosum and impacted sites. Bar = 2 mm. (E) Confocal images of the corpus callosum and impacted sites, with boxed ROIs magnified in lower panels to reveal individual axon morphology. Bar = 100 μm (top) and 20 μm (bottom). (F) Z-stack raw images of axon tracts with 3D Imaris renderings of selected axonal segments shown on the right. White boxed outlines are magnified below. The volume of the axonal segments is color-coded. Bar = 100 μm (top) and 20 μm (bottom). (G) Quantification of the proportion of fragmented axon (sphericity >0.8; length <10 μm) in F (N = 18, 26, 24, 25). (H) Representative images show the axons of neurons expressing either MRLC-WT, MRLC-SA, MRLC-SD or empty vector (GFP) in commissural axons crossing the corpus callosum (top) or projecting to the impacted site (bottom). Axons in sparse (1#) or dense (2#) labeled regions are shown in lower panels. The volume of axonal fragments is color-coded. Bar = 20 μm. (I) Percentage of fragmented axons (sphericity >0.8; length <10 μm) for the corpus callosum (top) and impacted site (bottom) in H (top: N = 73, 34, 37, 31; bottom: N = 70, 35, 40, 33). Data represent mean ± SEM; unpaired two-tailed Student’s t test; *P < 0.05, **P < 0.01, ***P < 0.001.
Activations of actomyosin-II protect mechanically stressed axons from AAD. (A) Procedure timeline of the closed-skull mTBI mouse model. (B) Schematic illustrating the relative locations of stereotaxic cortical injection of AAV and impact sites in the brain of the mTBI mouse model. (C) Brain map showing AAV-hSyn-GFP injection and impact locations. (D) A representative tiled image shows axon tracts in the corpus callosum and impacted sites. Bar = 2 mm. (E) Confocal images of the corpus callosum and impacted sites, with boxed ROIs magnified in lower panels to reveal individual axon morphology. Bar = 100 μm (top) and 20 μm (bottom). (F) Z-stack raw images of axon tracts with 3D Imaris renderings of selected axonal segments shown on the right. White boxed outlines are magnified below. The volume of the axonal segments is color-coded. Bar = 100 μm (top) and 20 μm (bottom). (G) Quantification of the proportion of fragmented axon (sphericity >0.8; length <10 μm) in F (N = 18, 26, 24, 25). (H) Representative images show the axons of neurons expressing either MRLC-WT, MRLC-SA, MRLC-SD or empty vector (GFP) in commissural axons crossing the corpus callosum (top) or projecting to the impacted site (bottom). Axons in sparse (1#) or dense (2#) labeled regions are shown in lower panels. The volume of axonal fragments is color-coded. Bar = 20 μm. (I) Percentage of fragmented axons (sphericity >0.8; length <10 μm) for the corpus callosum (top) and impacted site (bottom) in H (top: N = 73, 34, 37, 31; bottom: N = 70, 35, 40, 33). Data represent mean ± SEM; unpaired two-tailed Student’s t test; *P < 0.05, **P < 0.01, ***P < 0.001.
In Fig. 9, our findings reveal that the reversible axon beading process, triggered by mild mechanical stress, constitutes a critical resistive response against such stress. This process involves the rapid modulation of axon diameter driven by periodic actomyosin-II, resulting in a string of beads–shaped axon within seconds. The swift shape transition effectively prevents elevated Ca2+ from spreading to non-stressed neuronal regions. Increasing actomyosin-II activity through the overexpression of its consecutive active mutant enhances mechanoprotection, effectively mitigating stress-induced AAD both in vitro and in vivo. Thus, actomyosin-II serves as a mechanoprotective structure against mild mechanical stress in the axons of CNS neurons.
Actomyosin-II–dependent axon plasticity shields CNS axons from mild mechanical stress. (A) Actomyosin-II–driven radial contraction and dilation of the axon cortex (blue/red arrows) leads to rapid and reversible axonal beading (red brackets) in axon shafts exposed to mild mechanical stress. The acute shape change confines the spreading of elevated Ca2+ (yellow regions within beads) in the axon, thereby protecting the stressed axon from widespread Ca2+ (yellow bidirectional arrow) and subsequent severe injury caused by mild mechanical stress. (B) The schematic of a single bead is magnified to show how the acutely beading axon restricts both organelle trafficking and Ca2+ spreading. Cellular components are indicated in the graph.
Actomyosin-II–dependent axon plasticity shields CNS axons from mild mechanical stress. (A) Actomyosin-II–driven radial contraction and dilation of the axon cortex (blue/red arrows) leads to rapid and reversible axonal beading (red brackets) in axon shafts exposed to mild mechanical stress. The acute shape change confines the spreading of elevated Ca2+ (yellow regions within beads) in the axon, thereby protecting the stressed axon from widespread Ca2+ (yellow bidirectional arrow) and subsequent severe injury caused by mild mechanical stress. (B) The schematic of a single bead is magnified to show how the acutely beading axon restricts both organelle trafficking and Ca2+ spreading. Cellular components are indicated in the graph.
Discussion
The vulnerability of long white matter axons to mechanical stress is well documented (Johnson et al., 2013; Smith and Meaney, 2000). However, it remains unknown why CNS axons can resist significant mechanical stress during daily activities and contact sports, which causes significant deformation of the soft brain (Funk et al., 2011; Knutsen et al., 2020). Our study delineated the novel proactive role of periodic axonal actomyosin-II in shielding axons from mild transverse forces in vitro and in vivo.
Actomyosin-II underlies the reversible axon beading induced by mild mechanical stress
Using the microfluidic devices to capture instant cellular responses triggered by mechanical stress, we noticed distinct patterns in somatodendritic areas compared to axons: in dendrites, stress triggers an enduring beading response and Ca2+ elevation, while axonal responses were more reversible (Fig. 1, B–G). We further validated the reversibility of axon beading in the Thy1-YFP mouse cortex (Fig. 1, H–K). These results suggest that CNS axons may have innate mechanoprotective mechanisms, shielding them from injury.
The cortical cytoskeleton of the axon features a unique quasi-one-dimensional membrane periodic structure called MPS (D’Este et al., 2015; Xu et al., 2013), with actomyosin-II playing a crucial role in controlling axon diameter (Costa et al., 2020; Wang et al., 2020a). Our study reveals that periodic actomyosin-II drives a reversible beading process triggered by mild mechanical stress (Fig. 4, C–E). While the exact directions of these NM-II filaments in the axon cortex remain unclear due to resolution limitations of the 3D-SIM, in some axonal regions, they distributed alternatively with periodic β-spectrin stripes (Fig. 5 F), suggesting their existence within a single actin ring (Berger et al., 2018; Zhou et al., 2022). Remarkably, disruption of p-MRLC periodicity in persisting beading regions (Fig. 5, H–J) indicates impaired reversibility of axon beads.
To clarify the relationship between actomyosin-II and reversible beading, we examined stress-induced beading in axon shafts and growth cones at two developmental stages in vitro. Beading is more pronounced on the DIV8 shafts, matching the most established local periodicity, while notably lower on growth cones lacking periodic actomyosin-II at both DIV4 and DIV8 (Fig. S3, D–H). Actomyosin-II resides in two pools driving different functions in axon growth cones and shafts (Costa and Sousa, 2020; Leite et al., 2021). In growth cones, it forms contractile arcs limiting axon extension (Wang et al., 2020b), while in shafts, it governs diameter contraction and dilation. Our data highlight the association between beading capacity and subcortical periodic actomyosin-II in axon shafts. Considering the distinct functions of these pools, tailored therapeutic approaches are warranted to avoid conflicting effects.
Reversible axon beading is distinct from FAS
The stress-induced axonal beads, mediated by actomyosin-II in the axon cortex, represent a plastic response to withstand mild mechanical stress, distinct from the permanent damage of FAS observed in degenerating axons (Tang-Schomer et al., 2012; Valiyaveettil et al., 2014). First, these beads impede the long-distance transmission of injury signals by restricting the spread of elevated Ca2+ (Fig. 7 I) and reverse elevated Ca2+ in beads (Fig. 7 D), actively protecting stressed neurons, thereby protecting stressed neurons (Fig. 7 I). Supporting this, acute inhibition of actomyosin-II promotes axon degeneration (Fig. 7, J–L), while its activation reduces axonal fragmentation in vitro (Fig. S5, A and B) and mitigates AAD mTBI mice cortex (Fig. 8 I). Second, inside the reversible axon beads, the MT tracks, axon surface, and organelle trafficking machinery remain intact, as revealed by TEM, SEM, and live-cell imaging microscope (Figs. 3 and 4), distinguishing them from FAS loci with disrupted structures. Furthermore, organelle trafficking resumes after transient deformation during beading, contrasting with irreversible damage trafficking in FAS (Tang-Schomer et al., 2012; Valiyaveettil et al., 2014). Our finding that the actomyosin-II–dependent axon beading is mechanoprotective, aligning well with the role of the axon cortex in shielding deeper structures from mechanical insults (Dubey et al., 2020; Kant et al., 2021), offers insights for mitigating mTBI and concussion.
Our study highlights the functional role of stress-induced instant and plastic responses in CNS axons. However, the exact source of the Ca2+ remains unclear, necessitating further efforts. Additionally, the mechanisms underlying the rapid decline of elevated Ca2+ several minutes after axon beading remain unknown, warranting future investigation. Furthermore, limited by microscopic resolution, the exact orientations of periodic NM-II filaments in axon shafts remain unclear. Advanced imaging techniques, including platinum-replica electron microscopy and single-molecule localization fluorescence microscopy, are crucial for addressing these uncertainties.
Materials and methods
Reagents, antibodies, and DNA constructs
The following reagents were purchased from listed suppliers: SiR-Actin (#CY-SC001; Cytoskeleton); Oligomycin (#11342; Cayman); Blebbistatin (#ab120425; Abcam); PNB (#24171; Cayman); ML-7 (#11801; Cayman); Calyculin A (#9902S; Cell Signaling); BAPTA-AM (#T6245; Targetmol); Nocodazole (#M1404; Merck); Taxol (#S1150; Selleck); and EDTA (#A500895; Sangon Biotech). The following primary and secondary antibodies were purchased from commercial suppliers: rabbit polyclonal anti-Cleaved Caspase 3 (#9661S; Cell Signaling); rabbit polyclonal anti-SCG10 (STMN2) (#10586-1-AP; Proteintech); mouse monoclonal anti-β tubulin (#66240-1-Ig-100ul; Proteintech); chicken polyclonal anti-β III tubulin (#AB9354; merck); rabbit polyclonal anti-Phospho-Myosin Light Chain 2 (Thr18/Ser19) (#3674; Cell Signaling); rabbit monoclonal anti-Myosin Light Chain 2 (#8505; Cell Signaling); mouse monoclonal anti-βII-Spectrin (#sc-136074; Santa Cruz); rabbit polyclonal anti-GAPDH (#10494-1-AP; Proteintech); chicken polyclonal anti-GFP (#GFP-1020; Aves Labs); rabbit polyclonal anti-NM-IIB αCT (#M7939; Sigma-Aldrich); mouse monoclonal anti-NM-IIB αNT (#sc-376954; Santa Cruz); donkey anti-chicken IgY (IgG) (H+L)-Alexa Fluor 488 (#703-545-155; Jackson); goat anti-mouse IgG (H+L)-DyLight 488 (#P35502; Thermo Fisher Scientific); goat anti-rabbit IgG (H+L)-Alexa Fluor 568 (#A11011; Thermo Fisher Scientific); goat anti-mouse IgG (H+L)-Alexa Fluor 568 (#A11031; Thermo Fisher Scientific); goat anti-Chicken IgY (H+L)-Alexa Fluor 568 (#ab175477; Abcam); goat anti-mouse IgG (H+L)-Alexa Fluor 647 (#A32728; Thermo Fisher Scientific); goat anti-rabbit IgG (H+L)-Alexa Fluor 647 (#A21244; Thermo Fisher Scientific); goat anti-rabbit IgG-abberior STAR 580 (#ST580-1002-500UG; Abberior); goat anti-mouse-IgG-Atto 647N (#50185-1Ml-F; Merck); HRP-labeled Goat Anti-Rabbit IgG (#ab131366; Abcam); HRP-labeled Goat Anti-Mouse IgG (#ab131368; Abcam). The primers GFP-forward (5′-CGAAGGCTACGTCCAGGAGC-3′) and GFP-reverse (5′-CGATGTTGTGGCGGATCTTG-3′) were synthesized from Tsingke, for the AAV virus titration. The DNA construct encoding Lifeact-G/RFP was provided by Roland Wedlich Soldner (MPI Biochemistry, Martinsried, Planegg, Germany); pTagRFP-mito was purchased from Evrogen (#FP147); GCaMP-6f, pEGFP-MRLC (Plasmid #35680), pEGFP-MRLC T18AS19A (Plasmid #35681), and pEGFP-MRLC T18DS19D (Plasmid #35682) were purchased from Addgene; pAAV-hSyn-GFP, pHelper, and pPHP.S were gifts from Professor Zhenge Luo (ShanghaiTech University, Shanghai, China).
Neuronal culture and transfection in the AoC
The polydimethylsiloxane (PDMS) slab of the AoC was fabricated as described in a previous study (Pan et al., 2022). Then, the slab was plasma-treated, sealed against a glass-bottom dish, and immediately immersed in ethanol to enhance the hydrophilicity of the PDMS surface. Under sterile conditions, a glass-bottom dish attached to the PDMS microfluidic device was washed with 100% ethanol and then with phosphate-buffered saline (PBS) three times before being coated with 0.5 mg/ml Poly-L-Lysine (#P2636-100MG; Sigma-Aldrich) in borate buffer (1 M, pH 8.5) in all chambers overnight. Hippocampal neurons were cultured from embryonic day 18 embryos of Sprague–Dawley rats. All experiments followed relevant guidelines and regulations as approved by the Animal Ethics Committees of ShanghaiTech University (approval number: 20230217002) and the Chinese Academy of Sciences (approval number: NA-058-2021). Hippocampal neurons were prepared and seeded into the soma chambers of microfluidic devices at a minimum of 2 × 105 cells per reservoir. Lipofectamine 2000 was used to transfect the neurons with indicated plasmids on DIV5–6. Flux-induced injury and stress experiments in the AoC were performed on DIV7–8.
Surgical procedure for in vivo imaging
Before surgical procedures and experimentation, the adult Thy1-YFP-H transgenic mice (stock #003782 from the Jackson Laboratory) were anesthetized by intraperitoneal injection of the combination of Zoletil 50 (30 mg/kg body weight [BW]) and xylazine (40 mg/kg BW). The hair over most of the scalp was shaved and the scalp was wiped and disinfected with ethanol. The mouse was fixed in a stereotaxic apparatus during surgery. A midline scalp incision was performed and periosteum tissue was removed with a microsurgical blade. After identifying the bregma and lambda, the horizontal positioning of the mouse was performed by adjusting the earbars and nosebar to ensure the animal was leveled in the rostral-caudal direction. Before drilling, a 3-mm-diameter circle was carved with a cranial drill bit above the left primary somatosensory cortex (center position: −0.5 mm anterior-posterior, A/P; −2.5 mm medial-lateral, M/L; relative to bregma). According to the circle, a circular craniotomy was performed with a high-speed microdrill to tightly fit the customized cranial window (3-mm-diameter, 0.2-mm-thickness glass coverslip). After the glass window was carefully placed on the craniotomy, a trace amount of tissue adhesive (3 M, Vetbond) was applied at the edge of the glass window to secure it to the surrounding skull. Dental cement was used around the cranial window to reinforce the implantation. Light-curable flowable composite resin (DentKist, CharmFil Flow A2) was applied to the exposed part of the skull, forming a small bowl shape with a diameter of 12–15 mm that could hold large water droplets. The mouse would recover for at least 5 days after surgery.
Two-photon imaging in a mild mechanical stress mouse model
For in vivo imaging, mice were anesthetized by intraperitoneal injection of the combination of Zoletil 50 (30 mg/kg BW) and xylazine (40 mg/kg BW). Then the mouse was head-fixed on the stereotaxic microscope stage with the headbars and nosebars, which were adjusted to ensure the cranial window was horizontal. In vivo, images were acquired by a two-photon microscope (Bruker) with a tunable femtosecond laser (Coherent Chameleon, Discovery) and focused on the mouse brain with a water-immersion 40× objective (Olympus, LUMPlanFLN 40×/0.80 N.A.). The laser excitation wavelength was set at 920 nm. Fibers were imaged at 0–200 μm below the dura with a step size of 1 μm. Each field of view contains 20–50-μm-thick Z stacks with a resolution of 512 × 512 pixels at ×3 digital zoom (0.272 μm/pixel). The imaging parameters remained the same in different imaging sessions. For each imaging session, the mouse was imaged twice within 1 h before impact injury and >5 times within 5–150 min after impact. Cerebral surface vessels assisted in localizing the same field of view before and after impact.
The mild mechanical stress was applied during the imaging session by the fall of a pontil (10 g) with a velocity of 2 m/s. The impacted site was located on the right side, close to the cranial window (Fig. 1 H). When impacted, a glass sleeve was against the surface of the skull, and a 2-mm-diameter pontil fell in the glass sleeve from 20 cm above the skull. After impact, the mouse was quickly placed back under the two-photon microscope and positioned to the suitable field of view for imaging within 150 min.
AAV package and mTBI mice model
The plasmids MRLC-SA, MRLC-SD, and MRLC-WT were modified with a P2A sequence at their N terminus and then cloned into the pAAV-hSyn-GFP vector. AAV viruses were produced by cotransfecting HEK293T cells with the AAV helper plasmid, pPHP.S (Chan et al., 2017), and the transgene plasmids mentioned before using the PEI transfection reagent. The transfected cells were incubated for 72 h for AAV production and the cell pellet was resuspended in lysis buffer (150 mM NaCl, 20 Mm tris, pH 8.0). After being treated with Benzonase for 15 min, the supernatant containing AAV particles was collected by centrifugation. AAV particles were purified using OptiPrep-density gradient ultracentrifugation (Stemcell, 07820) in a 40% fraction. The titer was determined using quantitative PCR (qPCR) with primers targeting the GFP region. The qPCR primers for GFP are listed as follows: forward, 5′-CGAAGGCTACGTCCAGGAGC-3′ and reverse, 5′-CGATGTTGTGGCGGATCTTG-3′. The purified AAV particles were used for in vitro and in vivo experiments.
For in vitro experiments in Fig. 5 L and Fig. S5 A, neurons cultured in AoC were infected with a multiplicity of infection (MOI) of 103 on DIV6, and the flux-induced stress assay was performed on DIV8. In the mTBI mice model, AAV virus injection was slowly injected into the primary somatosensory cortex (M/L +3.0/3.3/3.5 mm; A/P +1/+0.5/−0.5 mm; dorsal-ventral [D/V] −0.6/−0.4 mm) in 8-wk-old WT C57BL/6J mice. The mTBI experiments were performed 2 wk after the injection. The C57BL/6J mice (N = 23) were put into a stereotaxic frame with rounded head holders after being given 5% isoflurane anesthesia. Isoflurane was delivered by nose cone at 2% in air. After shaving the heads, a midline skin incision was made to reveal the skull. An electromagnetic stereotaxic impact device with a rubber tip (3 mm in diameter) was used to impact the secondary motor cortex (M/L −0.5 to −3.0 mm; A/P +2 to −1 mm; D/V −2.4 mm) at a speed of 3.5 m/s for a duration of 100 ms. The mice were immediately sacrificed, perfused, and fixed after 24 h. In our mTBI model, the force we used falls within a similar range, albeit slightly lighter, compared with the impact strengths used in other recent studies (Angoa-Pérez et al., 2020; Eger et al., 2019; Goddeyne et al., 2015; Radomski et al., 2022; Sun et al., 2022; Wu et al., 2021; Yu et al., 2023).
Brain slice sectioning, immunofluorescence (IF) staining, imaging, and analysis
Mice brains were subjected to cardiac perfusion and fixation. The fixed brains were left overnight in 4% paraformaldehyde and subsequently placed in 30% sucrose for at least 24 h for dehydration. The dehydrated brain tissue was then submerged in OCT (#4583; SAKURA) in a plastic mold, avoiding air bubbles, and frozen quickly in liquid nitrogen. The frozen tissue was then sectioned into 40-µm slices using a Leica cryostat microtome CM3050S and collected onto slides. For IF, the samples were blocked with 5% donkey serum in PBS with 0.05% Tween for 1 h, followed by adding primary antibody GFP (1:1,000, chicken) and MRLC (1:1,000, rabbit), which was incubated overnight at 4°C. The slides were then incubated with donkey anti-chicken secondary antibody Alexa Fluor 488 (1:5,000) and goat anti-rabbit secondary antibody Alexa Fluor 647 (1:3,000) for 2 h at room temperature. For imaging, samples were mounted in a fluoroshield mounting medium (#F6182; Sigma-Aldrich). The brain slices were imaged using the Nikon inverted spinning confocal microscope (CSU-W1). Images captured with a 40 × 1.3 NA oil immersion objective were used to validate the expression of AAV-mediated MRLC mutants. Additionally, images obtained using a 20 × 0.75 NA objective were used to analyze fragmented axons. For this analysis, 3D stacks of confocal images were deconvoluted using up to 40 cycles of iterations with the Huygens Professional (v18.10, Scientific Volume Imaging). Then, Imaris (Imaris 9.7.2, Bitplane) was used to render the fluorescent axonal segments into “surface” detected in manual mode with the following parameters: surface grain size = 0.800 μm, diameter of largest sphere = 2.800 μm, manual threshold value = 2.969. After the rendering, the fragmented axon segments were extracted by setting the filter of the sphericity to >0.8 and the length to <10 μm.
Live imaging in the AoC and reversibility analysis
We conducted high-temporal-resolution imaging of axons experiencing medium flux in the AoC using a Nikon TI2-E inverted microscope with a Yokogawa spinning confocal disc head (CSU-W1) and a 60 × 1.4 NA/219.15 µm WD/0.1826 µm/pixel (1,200 × 1,200) objective. We used Neurobasal minus phenol red (#12348017; Thermo Fisher Scientific) as the imaging medium. Variable microfluidic flux was generated by injecting conditioned culture medium into the central injury channel using Pump 11 Elite Programmable Syringe Pumps (#704505; Harvard Apparatus) at indicated flow rates for 180 s while time-lapse images were acquired simultaneously.
As shown in the schematic times in Fig. 2 C, to assess the effects of various compounds on axon beading, we prepared Blebbistatin (50 μΜ), PNB (50 μΜ), ML-7 (10 μΜ), Calyculin A (50 nM), latrunculin B (5 μΜ), BAPTA-AM (10 μΜ), Nocodazole (50 μΜ), Taxol (10 μΜ), and Oligomycin (1 μΜ) in DMSO, and EDTA (0.5 mM) in sterilized Milli-Q water. For pretreatment, these compounds were added to the neuron culture medium of the AoC 30 min before the microfluidic flux session. For acute actomyosin-II inhibition experiments (Fig. S2 J), the Blebbistatin was added only in the culture medium injected to elicit flux-induced stress during the live-imaging session.
As shown in Fig. 2 B, the observation window was placed near the margin of the microgrooves, where axon shafts are the predominant axonal section, and the rarely detected growth cones were excluded for analysis.
Automatic analysis of live-imaging micrographs
Automatic bead detection was executed on live-imaging stacks of axons before, during, and after flux using a custom macro in ImageJ2 (version 1.53f51, National Institutes of Health), as previously described (Pan et al., 2022). Briefly, raw images were stabilized with the “Image Stabilizer” plugin for the selected axon. Subsequently, only the axon shafts were traced to obtain lengths and straightened for further analysis, excluding growth cones. Live stacks of the selected axon were converted to binary format and subjected to watershed segmentation to reveal the beading process. Identification and extraction of bead features were based on pre-set circularity values and areas using the “Analyze Particles” function. Extracted particle information was managed in the “ROI manager,” and bead numbers were normalized with axon length to generate the beading density. The bead number was normalized to the baseline bead number to yield the normalized bead number. This value was plotted against time to provide a curve representing the immediate morphological changes induced by flux injection. For the automated area analysis of beading and the between in Fig. 2 G, following the extraction of beading regions of interest (ROIs), the frame displaying the maximum beading served as the mask for segregating the beading and between areas in non-fluxed axons, employing the “Image Calculator” function. Subsequent calculations were then executed to determine the dilation in the beading and the contraction in the between areas, respectively.
The [Ca2+]axon intensity analysis in time-lapse images was performed using ImageJ software (v2.0.0/1.52p, National Institutes of Health). Firstly, background noise was removed using the “subtract background” plugin with the rolling ball radius set to 200 pixels. Then, axons were outlined by the “segmented line” tool. Next, the [Ca2+]axon intensity values along the line were measured using the “line profile” plugin. Kymographs were generated using the Multi-Kymograph plugin for ImageJ. All measurements were analyzed using GraphPad Prism. Finally, all images and figures were compiled using Illustrator CS 23.1.1 (Adobe).
Mitochondrial movement analysis was conducted using the Trackmate Plugin of ImageJ2, as previously described (Wang and Meunier, 2022). Briefly, raw live stacks of the mitochondrial channel were stabilized and converted to binary images with the threshold function. Using the “Trackmate” plugin, the movement of the mitochondria was traced, and the data showing the duration and mean speed of each track were exported. The mobile fraction of the mitochondria was filtered out based on the duration of the tracks over two frames and track speed between 0.1 and 3 μm/s.
For fragmentation analysis, neurons cultured in AoC were infected with AAV encoding either MRLC mutants or GFP at an MOI of 103 on DIV6 and were subjected to medium flux at a speed of 200 μl/min on DIV8. The cells were imaged using the Nikon inverted spinning confocal microscope (CSU-W1) with a 40 × 1.3 NA oil immersion objective. Analysis of axon fragmentation in vitro utilized the “Analyze Particles” function of ImageJ2, extracting fragments meeting the criteria of circularity >0.8 and an area between 0.1 and 30.0 μm2. The proportion of fragmented axons was calculated by comparing it to the total axon area.
Imaris analysis of SIM and spinning disc confocal images
Lifeact-GFP was transfected into the neurons cultured in AoC on DIV5–6 and subsequently live imaged on DIV8 using SIM (ZEISS Elyra 7 with Lattice SIM). The images were performed with a 63 × 1.4 NA oil immersion objective, utilizing a grid size of 27.5 μm at 488 nm excitation with 12 rotations. Time-lapse intervals were set at 90 s, with 15 frame accumulations as multislice z-stacks. The time-lapse raw images were processed using the adjusted mode of the SIM algorithm in Zen software (version 16.0.13.306, ZEN 3.0 SR black edition; Zeiss), which included a strong sharpness filter and the fast fit advanced filter. Before and after the medium flux, we obtained z-stack images of the same axon using a spinning disc confocal microscope (Nikon TI2-E with a Yokogawa spinning disc head CSU-W1) and a 60 × 1.4 NA objective. Next, the time-lapse and z-stack microscopic images were exported to Imaris software (version 9.7.2; Bitplane) for analysis. Briefly, the extent of radial contraction was analyzed using the “filament” function. Axon filaments were manually rendered by fitting the axon diameter with a lower contrast threshold of 4.5 and using the “Approximate Circle of Cross Section Areas” mode. The “Filament Analysis” plugin was used to cut the filaments into continuous spots with diameters corresponding to the fluctuated diameter along the axon. For 3D-SIM time-lapse images (Fig. S1, I–M), the axon diameter was fitted with a lower contrast threshold of 0.08, and the continuous spots were color-coded from 0.10 to 2.50 µm. For confocal images (Fig. 2, J–N), the same process in Imaris was followed. The spots were color-coded from 0.15 to 2.10 µm. The changes in the diameter distribution of spots constituting the axon were quantified to determine the extent of radial contraction and dilation.
Periodicity analysis of lattice SIM images
For the live-cell labeling of Sir-Actin, 0.2 μM SiR-Actin probe was added to the culture medium of neurons cultured in AoC on DIV12. After being labeled for 2 h at 37°C with CO2, medium flux (50 μl/min for 180 s) was applied to AoC while axons were live-imaged using SIM, equipped with a 63 × 1.4 NA oil immersion objective, using a grid size of 36.5 μm at 640 nm excitation and 12 rotations. Time-lapse intervals were set at 14 s, with four frame accumulations as multislice z-stacks. The raw 3D time-lapse images were reconstructed in Zen software using the 3D leap mode of the SIM2 algorithm. This processing involved 12 iterations with a regularization weight of 0.15, incorporating both processing and outcome sampling set to a value of 4. It was further enhanced by the “Gaussian” filter and the “Detrend” function to optimize the results in Zen software.
For p-MRLC and βII-Spectrin staining, DIV8 rat hippocampal neurons cultured in AoC or glass-bottom dish were fixed in 4% paraformaldehyde for 30 min and then permeabilized with 0.1% Triton X-100 (in PBS) for 10 min at room temperature. Then, cells were blocked with 3% BSA (in PBS) for 1 h. The primary antibodies p-MRLC (1:500, rabbit) and βII-Spectrin (1:500, mouse) were diluted in 1% BSA and incubated with a dish overnight at 4°C. Goat anti-rabbit secondary antibody Abberior 580 STAR (1:1,000) and goat anti-mouse secondary antibody Atto 647N (1:1,000) were incubated for 1 h at room temperature. Samples were then mounted in ProLong Diamond antifade medium and imaged with SIM equipped with a 63 × 1.4 NA oil immersion objective, with 16 frame accumulations as multislice z-stacks. The 3D time-lapse raw images were reconstructed in Zen software using the 3D mode of the SIM2 algorithm. This processing involved 25 iterations with a regularization weight of 0.005, incorporating both processing and outcome sampling set to a value of 4. It was further enhanced by the Gaussian and “fast fit” advanced filters to optimize the results in Zen software.
For periodicity analysis, microscopic Z-stack images were analyzed in ImageJ2 (version 1.53f51, National Institutes of Health), as previously described by Wang et al. (2020a). Briefly, in the SIM images displaying p-MRLC staining of axons, a segmented line of at least 10 μm was drawn along the edges of the axon shafts, excluding growth cones. Following this, line profiles of p-MRLC were obtained and analyzed using the Multichannel plot profile function and Find Peaks function of the BAR collection in ImageJ2. Subsequently, the intervals between extracted p-MRLC peaks were analyzed, and the periodicity proportion was calculated as the percentage of p-MRLC peaks distributed within intervals around 200 ± 25 nm.
STED microscope
To prepare the samples for 3D-STED imaging, hippocampal neurons at DIV14 were fixed in 4% paraformaldehyde for 30 min at room temperature and then blocked with a blocking buffer (0.1% saponin, 1% BSA, 0.2% gelatin in PBS) for 1 h. The primary antibodies NM-IIB αCT (1:1,000) and NM-IIB αNT (1:500) were added to the dish and incubated at 4°C overnight. Goat anti-rabbit secondary antibody Alexa Fluor 647 (1:5,000) and Goat anti-mouse-488 secondary antibody DyLight 488 (1:500) were incubated for 1 h at room temperature. For dual-color STED imaging, samples were mounted in ProLong Diamond antifade medium (P36961; Thermo Fisher Scientific). A Leica TCS SP8 STED 3X Microscope equipped with a tunable white light laser and 775-, 660-, and 592-nm STED depletion lasers were used for imaging. Images were acquired using the HC plan Apochromat 100 × 1.4 NA oil immersion objective with Leica LASX software and 11-frame accumulations as multislice z-stacks. NM-IIB αNT was excited at 495 nm, STED depleted at 592 nm with a laser power of 40%, while NM-IIB αCT was excited at 631 nm, and STED depleted at 775 nm with the same laser power. The resulting 3D stacks of STED images were deconvoluted and z-drift corrected in Huygens Professional (Version 18.10; Scientific Volume Imaging) using up to 40 cycles of iterative deconvolution.
SEM and TEM
The DIV8 rat hippocampal neurons in AoC were fluxed at a flow rate of 50 μl/min for 180 s. Following the flux, all neurons were fixed in 2.5% glutaraldehyde for 2 h at 4°C. The coverslips were removed and transferred to 1% osmium tetroxide for 2 h at 4°C. To prepare for SEM, the samples were dehydrated using an ascending ethanol series (30–100%) at 4°C and then critically dried using a low-speed critical point dryer (EM CPD300; Leica). Subsequently, the samples were attached to SEM pin studs with conductive double-sided carbon tape and coated with 8-nm gold layers using a vacuum sputter coater (EM ACE200 Low Vacuum Coater; Leica). The gold-coated samples were imaged using a Zeiss field emission scanning electron microscope (GeminiSEM 460) equipped with a Gemini 2 electron optical column and SE2 detector, with an accelerating voltage of 2.0 kV and a beam current of 50 pA. For TEM, after secondary fixation with 1% osmium tetroxide for 2 h at 4°C, the cells were stained with 1% uranyl acetate overnight at 4°C. The samples were dehydrated with ethanol and gradually infiltrated with liquid resin. The resin was polymerized and sections (50 nm) were cut using an Ultramicrotome Leica EM UC7. The sections were observed using a GeminiSEM 460 microscope with a STEM detector, operated at 15.0 kV accelerating voltage and 1.0 nA.
Statistical information
We used GraphPad Prism (GraphPad Prism v9.3.1) for statistical analyses. All measurements were taken from distinct samples. Results are reported as mean ± SEM. Outliers were removed using the ROUT method at Q = 1% in Prism. Anderson-Darling test (alpha = 0.05) was used to test the normality of data sets. Between the two groups, data sets conforming to normal distribution were analyzed using a two-tailed Student’s t test to determine statistical significance. Data sets not meeting the criteria for normal distribution were subjected to non-parametric tests: the Mann-Whitney test for unpaired tests and the Wilcoxon matched-pairs signed-rank test for paired tests. One-way ANOVA was used for comparing two or more groups to one control group. P values <0.05 indicated statistical significance. Sample size sufficiency was determined by preliminary data or discussion. Unless otherwise specified, the sample size (N) provided in the figure legends corresponds to the number of ROIs measured for each analysis, thereby representing the number of data points. All data were derived from at least three independent cultures. Locations of ROI for imaging acquisition were randomly selected in all experimental groups. Data collection and analysis were performed by different operators who were blind to the conditions of the experiments.
Online supplemental material
Fig. S1 illustrates the setup parameters for the AoC system compatible with live-imaging confocal and SIM microscopes and the automatic analysis of stressed axons using 3D-SIM imaging, supporting Figs. 1 and 2. Fig. S2 demonstrates the reversible axon beading process, which consumes ATP but is not involved in MT track disruption, supporting Figs. 4 and 5. Fig. S3 presents the developmental characteristics of the actomyosin-II–dependent reversible axon beading process, supporting Fig. 5. Fig. S4 shows that flux-induced axon beading and Ca2+ elevation were regionally restricted in stressed axonal segments, revealing the effectiveness of various pharmacological inhibitors on axon beading. It also includes the data showing the resting Ca2+ levels in PNB and ML-7 treated axons, supporting Figs. 6 and 7. Fig. S5 validates AAV expression in the mouse brain and analyzes axonal fragmentation in neurons expressing MRLC mutants in AoC and mTBI mouse brains, supporting Figs. 7 and 8. Videos 1 and 2 show the reversible axonal beading process observed in both the AoC and a mild mechanical stress mouse model. Videos 3 and 4 show the time-lapse images of reversible axon beading and its automatic detection. Video 5 shows the time-lapse SIM images revealing the diameter contraction of individual actomyosin rings induced by flux. Videos 6 and 7 display the deformation of mitochondria and paused axon trafficking during the flux-induced axonal radial contraction. Video 8 shows the SiR-Actin–labeled periodic ring diameter fluctuation during the flux-induced beading process. Video 9 demonstrates the process of beading formation in axons treated with actomyosin-II inhibitor/activator during flux. Videos 10 and 11 exhibit the dynamic Ca2+ wave transmission and stress-induced axon beading process during the flux.
Data availability
All data reported in this paper will be shared by the lead contact upon request. This paper does not report the original code. Any additional information required to reanalyze the data reported in this paper is available from the lead contact upon request.
Acknowledgments
We thank Prof. Zhenge Luo, Dr. Xiaoming Li, Dr. Ziwei Yang, Dr. Xiuqing Fu, Chengyu Fan, Rui Wang, Dr. Alex McCann, and Dr. Xu Wang for her/his expert technical assistance.
This work was supported by the National Natural Science Foundation of China (32271001 and 31871036 to T. Wang). Y. Li acknowledges the support from the National Natural Science Foundation of China (92168105), Shanghai Municipal Science and Technology Major Project (2018SHZDZX05), and Biosecurity Research Project (23SWAQ24). Y. Chu acknowledges the support from the National Natural Science Foundation of China (32100777). Y. Liu would like to thank the Double First-Class Initiative Fund of ShanghaiTech University (SYLPOC0022022, SYLDX0302022). F.A. Meunier acknowledges the support from the National Health and Medical Research Council Senior Research Fellowship (GNT1155794 and GNT1120381), and the Australian Research Council equipment grant (LE130100078).
Author contributions: Conceptualization: T. Wang, Y. Li, C. Zhao, and Y. Liu; Data curation: T. Wang and Y. Li; Formal analysis: X. Pan, Y. Hu, and T. Luan; Funding acquisition: T. Wang, Y. Li, Y. Chu, and Y. Liu; Investigation: X. Pan, Y. Hu, J. Li, Y. Chu, and Y. Feng; Methodology: X. Pan, J. Li, G. Lei, Y. Wei, Y. Zhang, W. Zhan, T. Luan, and Y. Hu; Project administration: Y. Chu; Visualization: X. Pan, Y. Hu, and T. Luan; Resources: F.A. Meunier, Y. Li, and C. Zhao; Supervision: T. Wang, Y. Li, and Y. Liu; Writing—original draft: T. Wang, X. Pan, Y. Li, Y. Hu, and T. Luan; Writing—review & editing: Y. Li, C. Zhao, Y. Liu, and F.A. Meunier.
References
Author notes
X. Pan and Y. Hu contributed equally to this paper.
Disclosures: The authors declare no competing interests exist.

