Long COVID frequently presents with neurological complications, including neuroinflammation and demyelination. Proinflammatory cytokines, particularly interleukin-18 (IL-18), play a pivotal role in immune dysregulation, contributing to neuroinflammation and white matter damage.
A 29-year-old previously healthy man developed mild COVID-19 in October 2023, recovering within two weeks. In late December 2023, he experienced a generalized tonic-clonic seizure, followed by transient right arm rigidity and postictal aggression. Brain MRI revealed multifocal juxtacortical T2/FLAIR hyperintensities with faint gadolinium enhancement. CSF analysis showed no pleocytosis, a normal IgG index, and an absence of oligoclonal bands. MOG and AQP4 antibodies were negative, ruling out neuromyelitis optica and MOG-associated disorders. High-dose corticosteroids resolved the lesions, as observed on follow-up imaging in January 2024.
In May 2024, MRI revealed new subcortical enhancing lesions, despite the absence of symptoms. By November 2024, the patient developed intermittent paresthesia in the left leg and right-sided hyperreflexia. Imaging demonstrated progressive lesions in the brainstem and cervical spine. Neurological examination remained largely normal, apart from hyperreflexia and mild sensory disturbances. Despite extensive testing for infectious and autoimmune etiologies, no alternate causes were identified. Repeated corticosteroid therapy provided symptom relief. The relapsing-remitting radiological course was consistent with an ADEM/MOGAD spectrum diagnosis, and the patient was planned to receive rituximab.
In December 2024, despite being on high-dose steroids, analysis revealed markedly elevated serum IL-18 (759.55 pg/mL), indicating immune dysregulation. CSF analysis showed normal results, ruling out multiple sclerosis and direct infectious causes. These cytokine elevations correlated with imaging findings of progressive demyelination, supporting a diagnosis of post-viral neuroinflammation.
IL-18 plays a central role in neuroinflammation through blood–brain barrier disruption, glial activation, and oxidative stress, all of which contribute to neuronal damage and demyelination. Elevated IL-18 has been observed in COVID-19–associated encephalopathy and encephalitis, correlating with white matter degeneration and sustained immune activation. In this case, IL-18’s involvement highlights its utility as a biomarker and potential therapeutic target in post-viral demyelination. Early cytokine profiling and tailored immunomodulatory interventions may mitigate progressive neuroinflammatory damage and improve outcomes in similar patients.
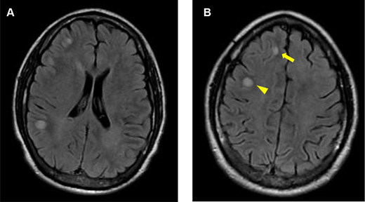
The patient’s magnetic resonance imaging (MRI) of the brain at presentation. A, axial fluid-attenuated inversion recovery (FLAIR) imaging of the brain shows multifocal hyperintensities at the gray–white matter interface. B, axial FLAIR imaging of the brain shows a hyperintense lesion at the right frontal gray–white matter interface (arrow) and a hyperintense lesion in the right frontal white matter (arrowhead).
The patient’s magnetic resonance imaging (MRI) of the brain at presentation. A, axial fluid-attenuated inversion recovery (FLAIR) imaging of the brain shows multifocal hyperintensities at the gray–white matter interface. B, axial FLAIR imaging of the brain shows a hyperintense lesion at the right frontal gray–white matter interface (arrow) and a hyperintense lesion in the right frontal white matter (arrowhead).
The patient’s magnetic resonance imaging (MRI) of the brain at 5 months after the seizure onset. He had no symptoms. Axial fluid-attenuated inversion recovery (FLAIR) imaging of the brain shows new poorly demarcated hyperintense lesions in the left frontoparietal white matter (arrows).
The patient’s magnetic resonance imaging (MRI) of the brain at 5 months after the seizure onset. He had no symptoms. Axial fluid-attenuated inversion recovery (FLAIR) imaging of the brain shows new poorly demarcated hyperintense lesions in the left frontoparietal white matter (arrows).
The patient’s magnetic resonance imaging (MRI) at 10 months after the seizure onset. He had intermittent paresthesia in the left leg, and his reflexes were increased in his right arm and leg. A, Axial fluid-attenuated inversion recovery (FLAIR) imaging of the brain shows ill-defined hyperintense lesions in the periventricular regions. B, Sagittal T1-weighted image of the spinal cord shows new short hyperintense lesions affecting the brainstem, the cervical spinal cord, and upper thoracic spinal cord (arrows).
The patient’s magnetic resonance imaging (MRI) at 10 months after the seizure onset. He had intermittent paresthesia in the left leg, and his reflexes were increased in his right arm and leg. A, Axial fluid-attenuated inversion recovery (FLAIR) imaging of the brain shows ill-defined hyperintense lesions in the periventricular regions. B, Sagittal T1-weighted image of the spinal cord shows new short hyperintense lesions affecting the brainstem, the cervical spinal cord, and upper thoracic spinal cord (arrows).



