On October 7, 2008, the world lost one of the most influential scientists of the 20th century, and modern cell biology lost its founder. George E. Palade, recipient of the Nobel Prize in 1974 for his work that established our basic understanding of cellular organization, died at the age of 95 after a long illness.
George was a towering intellect, an urbane man possessed of natural dignity and grace. Scientifically, George's sense of insight and foresight was without equal. His laboratory's contributions were so fundamental and conceptually influential that he not only transformed the field of cell biology, but re-created it. George's early work at The Rockefeller University involved the combined use of electron microscopy and biochemistry (in subcellular fractions) to establish the existence and define the function of many organelles and cytoplasmic structures whose roles in the cell we now take entirely for granted. Perhaps even more importantly, he provided the conceptual and empirical framework for understanding virtually all aspects of membrane trafficking: how organelles cooperate to enable protein secretion, membrane biogenesis, and endocytosis.
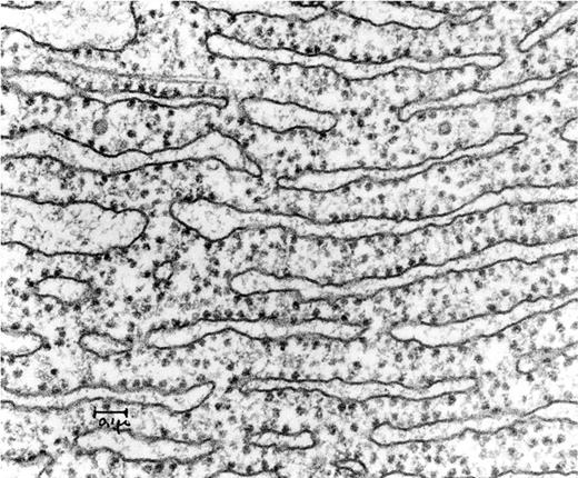
An electron micrograph showing microsomes decorated with ribosomes.
PHOTO COURTESY OF G.E. PALADE
The many lives and careers that George profoundly influenced (including my own) served to amplify his impact on the scientific community and thus extend our understanding of cellular organization to the incredible degree of molecular and functional sophistication we see today. George recruited me to my first faculty position at Yale Medical School, where he served as the Department of Cell Biology's founding chair. I can attest to the incredible care and dedication George devoted to his junior faculty. He continually encouraged us to embrace the most important issues of the day. In fact, George very clearly indicated what those issues were, articulating them with a clarity of thought that helped inspire and guide an entire field. I eventually succeeded George as chair of Cell Biology at Yale, whose impossibly large shoes I attempted to fill.
I will leave it to others to provide a detailed, scholarly account of George Palade's life and his impact on cell biology, a task that will be undertaken in a future issue of The JCB. My purpose here is to honor the fact that The JCB owes its very existence to George's efforts (Porter and Bennett, 1981). As part of an intrepid and forward-looking group of pioneers (notably including his colleague Keith R. Porter), George played a decisive role in seeing to it that the emerging field of cell biology had its own journal. Founded in 1955 as The Journal of Biophysical and Biochemical Cytology (the first issue containing a paper documenting George's landmark discovery of ribosomes), the journal was rapidly re-named The Journal of Cell Biology (The JCB) and grew to serve as the forum where all of the great discoveries in our field were submitted, reviewed, and read with great anticipation by scientists throughout the world. For many years, George also served as one of The JCB's senior editors; I fondly recall him handling my very first paper while I was still an undergraduate.
George was also a major contributor to the journal. It is safe to say that his most influential work, the aggregate of which led directly to his Nobel Prize, was published on The JCB's pages. I have provided links to all of George's broad and notable papers from The JCB and the two other Rockefeller University Press journals, The Journal of Experimental Medicine and The Journal of General Physiology.
George Palade was uniquely gifted and creative. He was also uniquely influential, not only due to the immense quality of his work and the scientific concepts he devised, but also due to the clarity and beauty with which he communicated his ideas. George's was a life well and long lived; science, and cell biology in particular, shall always be the better for his having graced us with his presence.

