Most proteins destined for the extracellular space require disulfide bonds for folding and stability. Disulfide bonds are introduced co- and post-translationally in endoplasmic reticulum (ER) cargo in a redox relay that requires a terminal electron acceptor. Oxygen can serve as the electron acceptor in vitro, but its role in vivo remains unknown. Hypoxia causes ER stress, suggesting a role for oxygen in protein folding. Here we demonstrate the existence of two phases of disulfide bond formation in living mammalian cells, with differential requirements for oxygen. Disulfide bonds introduced rapidly during protein synthesis can occur without oxygen, whereas those introduced during post-translational folding or isomerization are oxygen dependent. Other protein maturation processes in the secretory pathway, including ER-localized N-linked glycosylation, glycan trimming, Golgi-localized complex glycosylation, and protein transport, occur independently of oxygen availability. These results suggest that an alternative electron acceptor is available transiently during an initial phase of disulfide bond formation and that post-translational oxygen-dependent disulfide bond formation causes hypoxia-induced ER stress.
Introduction
Low levels of oxygen (hypoxia) influence normal physiological processes such as embryonic development, metabolism, and stem cell regulation (Simon and Keith, 2008), as well as pathophysiological conditions such as infarction, stroke, and cancer (Wouters and Koritzinsky, 2008). It is therefore of both fundamental and medical importance to elucidate the cellular processes that rely on molecular oxygen and drive important changes in cell phenotype. Hypoxia acts as a potent activator of the ER stress sensors PERK (EIF2AK3; Koumenis et al., 2002; Koritzinsky et al., 2006) and IRE1 (ERN1; Romero-Ramirez et al., 2004), that together with ATF6 orchestrate the unfolded protein response (UPR; Ron and Walter, 2007). These sensors regulate mRNA transcription and translation to alleviate stress arising from accumulation of unfolded and misfolded proteins in the ER. IRE1 is an endoribonuclease conserved from yeast that promotes expression of the transcription factor XBP1 by removing an intron in the XBP1 transcript (Ron and Walter, 2007). Relocalization and cleavage of ATF6 renders it an active transcription factor, while the kinase PERK negatively regulates overall mRNA translation by phosphorylating eukaryotic translation factor 2α (EIF2A; Ron and Walter, 2007). Both IRE1 and PERK signaling have been shown to play crucial roles in promoting hypoxia tolerance and tumor growth (Romero-Ramirez et al., 2004; Bi et al., 2005; Koritzinsky et al., 2007; Rouschop et al., 2010, 2013; Cojocari et al., 2013).
Clear evidence of UPR activation during hypoxia suggests a requirement for oxygen in ER function. The ER serves as a maturation space for newly synthesized proteins destined for secretion and the cell membrane, by providing a unique compartment for N-linked glycosylation and disulfide bond formation. The Glu3Man9GlcNac2 core glycan is assembled onto ER cargo mainly cotranslationally, followed by ER-localized trimming of the proximal Glu3Man6 and addition of complex oligosaccharides in the Golgi (Fig. 1 A). Disulfide bonds are introduced co- and post-translationally by protein disulfide isomerase (PDI; P4HB) and its family members in a redox reaction where disulfide bonds within PDI’s CXXC active site are reduced (Fig. 1 B; Braakman and Bulleid, 2011). PDI itself must subsequently be reoxidized, a reaction catalyzed by the canonical ER oxidases Ero1α (ERO1L) and Ero1β (ERO1LB), which are flavo-proteins containing a CXXC motif (Frand and Kaiser, 1999; Cabibbo et al., 2000; Pagani et al., 2000; Tu et al., 2000; Tu and Weissman, 2002; Gross et al., 2004; Vitu et al., 2010). Recently, the alternative oxidases PRDX4 (Tavender et al., 2010; Zito et al., 2010) and VKOR (Wajih et al., 2007; Rutkevich and Williams, 2012) have also been shown to contribute to disulfide bond formation in living cells. The peroxidases GPx7/8 and quiescin-sulfhydryl oxidases QSOX1/2 represent additional potential ER oxidases that are capable of introducing disulfide bonds in vitro, but whose physiological roles in the ER remain unclear (Hoober et al., 1999; Chakravarthi et al., 2007; Nguyen et al., 2011; Rutkevich and Williams, 2012; Wei et al., 2012; Ilani et al., 2013; Rudolf et al., 2013). Disulfide isomerases and oxidases hence create a redox relay from the ER cargo that is ultimately driven by a terminal electron acceptor (Fig. 1 B). Many proteins also undergo extensive isomerization of disulfide bonds before the correct fold is achieved. During folding, chaperones shield the protein and prevent aggregation that may occur due to transiently exposed hydrophobic regions (Braakman and Bulleid, 2011).
The identities of terminal electron acceptors that enable disulfide bond formation in living cells are not known. Oxygen can drive FAD-dependent reoxidation of yeast Ero1p and human Ero1α to support disulfide bond formation of a client protein in solution with PDI (Tu and Weissman, 2002; Gross et al., 2004; Wang et al., 2009). However, whether oxygen is the required terminal electron acceptor in living yeast or human cells has not been directly addressed. Various other proteins have been shown to drive the folding reaction in solution with Ero1p (Gross et al., 2006). In the bacterial periplasm, DsbB functions as the oxidase and is reoxidized by quinones (Kobayashi et al., 1997; Bader et al., 1999). In yeast, several lines of evidence suggest that oxygen is not strictly required as an electron acceptor to drive disulfide bond formation (Tu et al., 2000; Tu and Weissman, 2002). Pdi1p remains oxidized in anaerobic yeast cells (Tu et al., 2000), consistent with the existence of alternative electron acceptors. Loss of Ero1p causes sensitivity of yeast cells to anaerobic growth (Tu and Weissman, 2002), indicating retained Ero1p function in the absence of oxygen. Overexpression of the alternative yeast oxidase Erv2p rescued anaerobic growth of the ero1-1 mutant, supporting a model where both Ero1p and Erv2p are capable of using other electron acceptors than oxygen (Tu and Weissman, 2002). PRDX4 and GPx7/8 can use hydrogen peroxide (H2O2) as an electron acceptor, the source of which is unclear and may require oxygen.
Several explanations for hypoxia-induced ER stress unrelated to disulfide bond formation have also been proposed. For example, a reduction in cellular energy during hypoxia due to inhibition of mitochondrial respiration could limit the activity of ATP-dependent chaperones and changes in metabolism and glycolytic flux could rob the ER of oligosaccharides required for N-linked glycosylation. Furthermore, the machineries involved in glycan modifications, ER-associated degradation (ERAD) or Golgi export could have unknown requirements for oxygen. Here, we sought to elucidate requirements for oxygen in key ER cargo maturation processes, and thus the underlying cause for ER stress and UPR activation during hypoxia.
Results
Regulation of ERome transcripts during hypoxia
ER stress imposed by hypoxia results in PERK (Koumenis et al., 2002; Koritzinsky et al., 2006), IRE1 (Fig. S1 A; Romero-Ramirez et al., 2004) and ATF6 (Fig. S1 B) activation and subsequent regulation of transcripts coding for ER-localized protein maturation machinery, transport, and ERAD (ERome). We reasoned that the transcriptional output of the UPR during hypoxia may be tailored specifically to counteract the underlying mechanism of the imposed stress. Therefore, we compared transcript regulation of the ERome during anoxic conditions to that during ER stress caused by lack of glycosylation (tunicamycin) or chaperone inactivation by calcium depletion (thapsigargin). Approximately one third of the ERome of both colon (HCT116) and hepatocellular (HepG2) carcinoma cells exhibited mRNA abundance alterations (q < 0.05) after 24 h of anoxia (29% and 33%, respectively; Fig. 1, C and D; Fig. S1 C; Table S1). In these two cell lines, as well as in three others derived from colon, mammary, and prostate cancer (Fig. S2), there are minimal transcriptional changes of the glycan processing and sorting machinery. In contrast, the oxidase Ero1β and the chaperone ERdj4 (DNAJB9) were among the highest induced transcripts of the entire transcriptome across all cell lines (Fig. S1 C; Fig. S2). Interestingly, the only two ERome transcripts significantly (q < 0.05) and substantially (greater than twofold) up-regulated by anoxia, but not tunicamycin or thapsigargin, in both HCT116 and HepG2 were the oxidase Ero1α (known to be dependent on the transcription factor HIF1; May et al., 2005) and the canonical oxidoreductase PDI (P4HB; Fig. 1, C and D), suggesting that disulfide bond formation may be specifically limiting during ER stress caused by oxygen deprivation.
Hypoxia impairs protein maturation in the ER
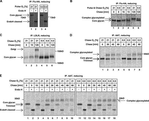
To determine whether one or more ER-localized maturation process is oxygen dependent, we first investigated glycan modifications of ectopically expressed influenza virus hemagglutinin (Flu-HA; Fig. S3). Flu-HA belongs to a small minority of proteins for which the folding pathway is well characterized (Braakman et al., 1991, 1992; Daniels et al., 2003; Maggioni et al., 2005). Flu-HA undergoes core N-linked glycosylation of seven asparagine residues, and defined hierarchical introduction of six disulfide bonds in the ER, followed by complex glycosylation in the Golgi apparatus (Braakman et al., 1991; Maggioni et al., 2005). To study protein maturation, we radioactively labeled newly synthesized proteins with a short (3 min) 35S-methionine pulse under normoxic (21% O2) or anoxic (0.0% O2) conditions. This creates a synchronized protein population whose maturation can be monitored by SDS-PAGE after immunoprecipitation. The presence of N-linked glycans can be confirmed by endoglucosidase H cleavage (see Fig. 1 A), while the complex glycosylation in the Golgi gives rise to a protein of lower gel mobility. Equal mobility of Flu-HA and sensitivity to cleavage by endoglucosidase H was observed immediately after synthesis in either normoxia or anoxia (Fig. 2 A), indicating no requirement for oxygen in cotranslational N-linked glycosylation. In contrast, anoxia substantially suppressed appearance of the slower migrating band representing complex glycosylation in the Golgi 2 h after synthesis (Fig. 2 B, lane 6 vs. 5). Similar results were obtained when investigating the maturation of human low-density lipoprotein receptor (LDLR), another well-characterized ER cargo (Jansens et al., 2002; Gent and Braakman, 2004; Pena et al., 2010; Oka et al., 2013). LDLR is a multi-domain protein that undergoes N-linked glycosylation on at least one residue, contains 30 disulfide bonds, and is heavily O-linked glycosylated in the Golgi (Cummings et al., 1983; Kurniawan et al., 2000; Jansens et al., 2002; Rudenko et al., 2002; Gent and Braakman, 2004). No differences could be discerned in the addition and modification of core glycans in normoxia and anoxia, but there was a complete lack of Golgi-localized glycosylation under anoxic conditions (Fig. 2 C). The observed defect in Golgi-localized glycosylation during anoxia in both Flu-HA and LDLR could potentially be secondary to impaired oxidative folding in the ER and/or transport to the Golgi. We therefore probed the maturation of a secreted protein that lacks cysteines and consequently does not rely on disulfide bonds for folding. Alpha1-antitrypsin (AAT/SERPINA1) expressed in the liver belongs to this minority of disulfide-lacking secreted proteins. For HepG2 liver carcinoma cells that expressed AAT endogenously, 35S-labeling under anoxia was not possible due to an extremely rapid PERK activation and inhibition of mRNA translation (Fig. S4 A). We could successfully block the translation inhibition using a small molecule inhibitor of PERK (Fig. S4 A), but this resulted in severe protein aggregation during anoxia (Fig. S4 B). Although this highlights the importance of PERK for these cells of high secretory load, it precluded studies of protein maturation with pulse-labeling under hypoxia. We therefore 35S-labeled cells in normoxia and prevented post-translational enzymatic glycan modifications by keeping them on ice until they were inserted into the hypoxic chamber. Increased AAT migration after 30 min of maturation in normoxia and anoxia (Fig. 2 D, lanes 2 and 6) suggested that glycan trimming is oxygen independent. Moreover, glycan modification of AAT in the Golgi is also oxygen independent, as evidenced by the appearance of the slower migrating and endoglucosidase H–resistant form (see Fig. 1 A) regardless of oxygen availability (Fig. 2, D and E). We conclude that N-linked glycosylation, glycan trimming, ER-to-Golgi transport, and complex glycosylation in the Golgi, per se, are all oxygen-independent processes. Proficiency of AAT maturation during anoxia suggested that the observed defects in Flu-HA and LDLR maturation were due to a requirement for oxygen in disulfide bond formation.
Oxygen is required for post-translational disulfide bond formation and isomerization
To investigate the oxygen dependency of disulfide bond formation in living cells, we flooded cells with N-ethylmaleimide (NEM) at various times after 35S-labeling and protein maturation in normoxia or anoxia. NEM alkylates free sulfhydryls and thereby prevents further disulfide bond formation and isomerization (see Fig. 1 B). We then probed disulfide bond formation by resolving Flu-HA and LDLR under nonreducing conditions, which keeps disulfide bonds intact. Changes in gel migration attributed to altered protein conformation can then be observed juxtaposed to migration changes due to glycan modifications. Introduction of disulfide bonds in Flu-HA occurring both co- and post-translationally increases protein compactness and gel mobility, giving rise to three distinctly migrating bands in nonreducing gels (Braakman et al., 1991). The slowest migrating form, named “intermediate 1” (IT1), represents protein in which the first two short-range disulfides have formed, and cannot be discerned from the fully reduced (R) protein. Formation of the disulfide bond between Cys52 and Cys277 gives rise to a substantial increase in gel mobility and a distinct band, named “intermediate 2” (IT2). Subsequent introduction of the final disulfide bond between Cys14 and Cys466 yields the native (NT) fully oxidized species. Immediately after synthesis (3-min pulse) in normoxia, most of Flu-HA was already present in its native (NT) oxidized form, with a small fraction remaining in folding intermediates (IT1/IT2; Fig. 3 A, lane 1), consistent with rapid, cotranslational folding (Braakman et al., 1991). 15 min after synthesis in normoxia, all the protein had folded properly (and trimerized), and completed exit from the ER into the Golgi by 2 h (Fig. 3 A, lanes 2 and 3). A smaller fraction of Flu-HA had reached NT after synthesis in anoxic conditions, and the protein pool that was still fully reduced (R) or in the indistinguishable IT1 stage after the initial 3-min pulse-labeling failed to complete disulfide bond formation in anoxia (Fig. 3 A, lane 6). In contrast, when disulfide bond formation was completed during protein synthesis giving rise to the native (NT) oxidized species, the protein was able to proceed to the Golgi for complex glycosylation. We could not decisively track the fate of IT2 during the chase period, but a consistent increase in R/IT1 intensity during anoxia suggests that IT2 was reduced post-translationally under these conditions. These results indicate that the partial defect in Flu-HA Golgi modifications observed during anoxia (Fig. 2 B) can be attributed to the protein pool that was not fully oxidized by the end of translation or very rapidly thereafter.
The folding pathway of LDLR involves initial cotranslational oxidation, which gives rise to a collapsed form of high mobility, followed by substantial disulfide bond isomerization resulting in a less compact protein of decreased gel migration velocity (Fig. 3 B, lanes 2–4; Jansens et al., 2002). In anoxia, no difference could be discerned in the initial LDLR oxidation at the end of the pulse (Fig. 3 B, lane 5). However, under anoxia disulfide bonds failed to isomerize correctly after protein synthesis. Increased heterogeneity in the protein population’s migration velocity indicated the presence of a large number of non-native conformations. However, none of the detected protein migrated equally to the species under normoxia (Fig. 3 B, compare lanes 3 and 6, 4 and 7), indicating that the mature conformation was never reached. Progressively decreasing mobility approaching the fully reduced form (Fig. 3 B, lane 1) in the absence of oxygen could instead reflect net reduction in this period of time. The complete failure of LDLR to undergo Golgi-localized modifications during anoxia (Fig. 2 C and Fig. 3 B) is likely a result of never achieving a folded state adequate for passing quality control in the ER.
The results presented in Fig. 2 and Fig. 3 (A and B) indicate a specific requirement for oxygen in disulfide bonds that are introduced, or isomerized, post-translationally. We therefore tested whether there would be a complete lack of disulfide bond formation if proteins were forced to introduce disulfide bonds and fold exclusively after synthesis. To this end, we exposed cells to 5 mM DTT immediately after pulse labeling to reduce all disulfide bonds formed cotranslationally, and then followed the folding of proteins by reintroduction and isomerization of disulfide bonds after release from DTT. In line with the prediction, Flu-HA was fully able to (re)form disulfide bonds in normoxia after this reductive challenge, but no disulfide bond formation could be detected after reduction in anoxia (Fig. 3 C). To corroborate this finding in an endogenously expressed protein, we performed the same assay in HepG2 cells that express the highly disulfide-linked albumin protein. To circumvent the rapid inhibition of translation during anoxia in these cells, we again pulse-labeled in normoxia, added DTT, and then inserted the cells to the hypoxic chamber before removing DTT to let protein fold in anoxia. Under oxygen-replete conditions, albumin entered large complexes or aggregates immediately after release from DTT (Fig. 3 D, lanes 5 and 6). These complexes were disulfide linked, as evidenced by dissociation upon reduction in vitro (Fig. 3 D, lane 1), and are hence consistent with the formation of large intermolecular disulfide-linked complexes immediately after synthesis due to exposed surface sulfhydryl groups (Rutkevich and Williams, 2012). Under normoxia these complexes were rapidly resolved simultaneous with a substantial increase in albumin mobility (Fig. 3 D, lanes 5–10). The increased mobility is due to incorporation of intra-chain disulfide bonds because it is reversed after reduction (Fig. 3 D, lane 2). Under these reducing conditions, the heterogeneity in the protein population and the small increase in mobility after the 15-min chase under normoxia reflect a loss of covalent irreversible binding to NEM in the cysteines that have formed disulfides. Consistent with the results obtained for Flu-HA (Fig. 3 C), disulfide bond formation in albumin was also completely prevented under anoxic conditions (Fig. 3 D, lanes 11–16). Albumin hence also migrated as a sharp band after reduction in vitro (Fig. 3 D, lanes 3–4) because all sulfhydryls remained accessible to NEM during the chase period. Maturation and secretion of the disulfide-lacking ER cargo AAT remained efficient in the absence of oxygen also after a reducing challenge (unpublished data). Taken together, the data presented in Fig. 3 show that disulfide bonds can be introduced cotranslationally but not post-translationally in the absence of oxygen.
Dependency on oxygen for post-translational disulfide bond formation and isomerization
To assess the oxygen sensitivity for post-translational disulfide bond formation, we measured albumin folding in cells exposed to a range of oxygen concentrations. Strong inhibition of bona fide disulfide bond formation in albumin was also evident under more moderate hypoxia (0.1–0.3% ambient O2; Fig. 4 A), conditions that support mitochondrial respiration, proliferation, and long-term viability of these cells. This is consistent with activation and functional importance of the UPR under these more moderately hypoxic conditions (Koritzinsky et al., 2007). Folding of LDLR without the DTT synchronization step yielded a similar oxygen dependency, with post-translational disulfide bond isomerization being severely inhibited at 0.1% O2 and approaching baseline efficiency at 0.3% O2 (Fig. 4 B). Interestingly, addition of oxidizing agents including diamide (unpublished data) or H2O2 could not substitute for oxygen to support disulfide bond formation during anoxia, and resulted merely in irreversible aggregate formation at high concentrations (Fig. 4 C). The defect in disulfide bond formation during anoxia is thus not a consequence of an overall alteration of redox state, but rather reflects an absolute requirement for oxygen to provide the oxidative potential.
Reversibility of folding defects upon reoxygenation
We were curious as to whether ER cargo that failed to fold during anoxia would be trapped in terminal unfoldable states or could complete folding upon the reintroduction of oxygen. To investigate this we removed HepG2 cells from the anoxic chamber after 60 min of oxygen deprivation. At that point, albumin had completed folding under normal oxygen conditions, but had failed to fold (Fig. 5 A, lane 10) under anoxia. Re-introduction of oxygen was sufficient to enable disulfide bond formation and folding of albumin (Fig. 5 A, lanes 11 and 12), albeit with somewhat slower kinetics than in cells that had not been exposed to anoxia (Fig. 5 A, lanes 3–5). LDLR radiolabeled during anoxia similarly regained folding proficiency slightly delayed after reoxygenation, evidenced by the appearance of the Golgi modified form (Fig. 5 B). The observed defect and subsequent recovery from anoxia-induced inhibition of disulfide bond formation tracked well with the overall redox status of Ero1α. Ero1α possesses redox-sensitive regulatory disulfide bonds (Kim et al., 2012) that render it more active in its reduced form. These regulatory disulfide bonds were reversibly reduced during anoxia, to an extent more severe than exposure to 0.5 mM DTT (Fig. 5 C). Thus, disulfide bond formation was severely inhibited during anoxia despite high Ero1α activity inferred from its redox status, suggesting a lack of a terminal electron acceptor.
Much of the ER-localized protein maturation machinery is transcriptionally induced by oxygen deprivation and other sources of ER stress (Fig. 1, C and D; Fig. S1 C; Fig. S2). This response, largely governed by the UPR transcription factors, is often assumed to contribute to ER folding capacity and fitness. Contrary to this expectation, we found that conditioning cells in hypoxia did not improve the ability to form disulfide bonds in albumin during hypoxia (Fig. S5). This suggests that the electron acceptor rather than components of the folding machinery is limiting in these conditions.
Hypoxia results in reduced rates of overall secretion
If the maturation of cargo entering the secretory pathway relies on oxygen, one would predict hypoxia to profoundly affect protein expression in the extracellular space. Indeed, overall protein secretion was severely impaired during oxygen deprivation (Fig. 6 A). This is consistent with a large majority of secreted proteins relying on post-translational disulfide bond formation during folding, the formation of which is impaired during anoxia. As expected, albumin did not reach the extracellular space during anoxia (Fig. 6 B), in line with its inability to mature under these conditions. In contrast, AAT, which does not rely on disulfide bonds for maturation, was readily secreted even under anoxia (Fig. 6 C).
Taken together, these data demonstrate the existence of an oxygen-independent pathway for cotranslational disulfide bond formation in living cells of human origin, alongside an oxygen-dependent pathway for post-translational disulfide bond formation and isomerization.
Discussion
In this work, we set out to identify the ER-localized protein maturation processes that are dependent on oxygen, and hence responsible for rapid activation of the UPR during anoxia described more than a decade ago (Koumenis et al., 2002; Romero-Ramirez et al., 2004; Koritzinsky et al., 2006). We have ruled out a general oxygen dependency of N-linked glycosylation, glycan trimming, ER export, Golgi-localized complex glycosylation, and transit to the extracellular space. Our work has uncovered a differential requirement for oxygen in specific phases of disulfide bond formation (Fig. 6 D). Disulfide bonds are readily introduced into ER cargo in the absence of oxygen very early in its lifetime (within 3 min of protein synthesis). Subsequently, the cargo enters a folding phase where disulfide bond formation and/or isomerization is strictly oxygen dependent. We cannot formally attribute this differential oxygen requirement to being a consequence of translation or association with the translocon, but the data resonate with this interpretation. We did not observe disulfide bond formation in anoxia under any circumstances at time points where translation was completed (Fig. 3). The lack of disulfide bond formation after translation under anoxia applied both to net oxidation, as required for Flu-HA (Fig. 3 A), as well as isomerization, as required for LDLR (Figs. 3 B and 6 D). However, we cannot rule out that the requirement for oxygen in post-translational net oxidation of Flu-HA also involves isomerization, as Flu-HA migrating with IT1/IT2 immediately after synthesis in anoxia could contain non–bona fide disulfide bonds. The oxygen dependency of disulfide isomerization was somewhat surprising, given that this is a net electron-neutral reaction. However, the reduction of non–bona fide disulfide bonds in LDLR was recently shown to rely on the PDI family member ERdj5 (Oka et al., 2013), which mainly has activity as a reductant and is unable to isomerize disulfide bonds (Ushioda et al., 2008). There is thus a requirement for a second PDI member to introduce new disulfide bonds in LDLR and complete the isomerization process. Our data suggest that activity of the second PDI is coupled to oxygen availability, while ERdj5 potentially retains activity during anoxia to progressively reduce LDLR (Fig. 3 B).
The existence of distinct stages of disulfide bond formation with vastly varying requirements for oxygen has several important implications. It suggests the transit of ER cargo between multiple machineries for disulfide bond formation with different dependencies on oxygen. Identification of the machineries and alternative oxidants that support oxygen-dependent versus -independent protein folding will be of great interest. PRDX4 and GPx7/8 represent clear candidates for mediating oxygen-independent disulfide bond formation because they use H2O2 as an electron acceptor rather than oxygen. Interestingly, a recent study demonstrated that PRDX4 in combination with its preferred PDI family members ERp46 and P5 mediated rapid but error-prone disulfide bond formation in solution (Sato et al., 2013). PDI was required to isomerize non–bona fide disulfide bonds and promote the native conformation of substrate proteins. From these data and ours, a model emerges where rapid but promiscuous disulfide bond formation mediated by PRDX and ERp46/P5 occurs independent of oxygen during translation, followed by oxygen-dependent isomerization by PDI and Ero1 post-translationally. In this model, PRDX4 would rely on other sources of H2O2 than Ero1 during hypoxia. The Q0 site of the mitochondrial complex III is a rich source of H2O2 during hypoxia (Bell et al., 2007), and it will be important to probe its involvement along with that of PRDX4.
Our discovery also strongly suggests a differential requirement for oxygen in the transit of various cargo through the secretory pathway. The minority of cargo that lacks cysteines and disulfide bonds would be predicted to have a maturation advantage, along with proteins that fold mainly cotranslationally. This is consistent with our data demonstrating folding proficiency of AAT in anoxia, combined with a partial folding defect in Flu-HA and complete lack of a bona-fide LDLR folding product. For most ER cargo proteins, modification and folding continues throughout the post-translational phase until it leaves the ER (Braakman and Hebert, 2013), suggesting that a requirement for oxygen in the post-translational phase of disulfide bond formation would have profound effects on ER physiology and cargo expression. This suggestion is consistent with a strong and rapid UPR activation during anoxia. As such, the specific requirement for oxygen in a later phase of disulfide bond formation/isomerization results in two key phenotypic consequences for hypoxic cells. The first is a rapid accumulation of unfolded proteins in the ER, which results in ER stress and activation of the UPR. UPR activation not only affects the transcriptome of ER folding factors, but also genes that influence autophagy, pH regulation, redox homeostasis, and vascularization (Blais et al., 2006; van den Beucken et al., 2009; Ghosh et al., 2010; Rouschop et al., 2010, 2013; Wang et al., 2012). The second consequence is a rapid decrease in overall protein expression in the extracellular space and a shift toward expression of proteins with a competitive advantage conferred by no or cotranslationally introduced disulfide bonds. We hence speculate that differential disulfide bond formation represents another level of regulation of gene expression during hypoxic conditions.
It has been suggested that hypoxia could indirectly influence physiological parameters important for folding, such as ATP (required for chaperone activity) or calcium levels. Although such events could contribute to disruptions in protein folding, these indirect effects are unlikely to contribute to our observations of oxygen-dependent disulfide bond formation. First, oxygen is known to be capable of driving the folding reaction directly in vitro (Tu and Weissman, 2002; Gross et al., 2006; Wang et al., 2009), rendering it a probable contributor in vivo. Second, defects in disulfide bond formation are observed immediately after exposure to anoxia, and thus before changes in glucose, ATP, or cell viability that typically require >24 h of exposure (Rouschop et al., 2010). ATP deprivation is also known to affect Flu-HA folding in a profoundly different way than observed here, characterized by massive protein aggregation during folding (Braakman et al., 1992). We observed no aggregation of Flu-HA in our experiments, and ER cargo remained in a folding-competent form, rescued upon reintroduction of oxygen alone. Furthermore, AAT folding and secretion is sensitive to ER calcium levels (Cooper et al., 1997), but was not affected by oxygen deprivation. Together, our data and these considerations render oxygen absolutely required for post-translational disulfide bond formation and isomerization, and a highly likely obligatory electron acceptor in this reaction.
It was somewhat surprising that preconditioning cells with hypoxia, resulting in activation of the UPR and transcriptional up-regulation of a battery of folding factors, did not enhance the cells’ ability to fold albumin under hypoxia (0.2% O2). It is generally assumed that UPR activation leads to increased folding capacity. However, these data are in line with recently published work demonstrating that pharmacological inhibition of IRE1 does not promote survival in response to tunicamycin or hypoxia (Cross et al., 2012; Cojocari et al., 2013). The contrasting demonstrated importance of PERK signaling for hypoxia tolerance has been attributed to the general inhibition of protein synthesis coupled with up-regulation of ATF4 transcriptional targets that support redox homeostasis and autophagy rather than folding capacity (Rouschop et al., 2010, 2013; Harding et al., 2003). Nevertheless, we do not rule out that up-regulation of the ERome promotes the folding of a specific subset of ER cargo that may be important for hypoxic cells within a tissue or organism.
In summary, our results indicate that ER oxidases fall within a group of key enzymes whose activity is directly regulated by molecular oxygen. The mammalian ER thereby constitutes a cellular oxygen sensor that governs signaling and survival during hypoxic conditions. Future work is required to understand in detail how ER cargo transits from an oxygen-independent to an oxygen-dependent folding phase early in its lifetime, and whether this is governed by association with unique folding machineries and/or the availability of alternative electron acceptors.
Materials and methods
Cell culture and hypoxia
Cell lines of human origin used were HepG2 (hepatocellular carcinoma, ATCC: HB-8065), HCT116 (colon carcinoma, ATCC: CCL-247), and HeLa (cervix carcinoma, ATCC: CCL-2). HepG2 was grown in DMEM, HCT116 in RPMI, and HeLa in MEM-α, all with 10% FBS. Cells were grown adherent at 80% confluency on glass dishes that in contrast to plastic do not release oxygen. They were exposed to hypoxia and anoxia in H35 and H85 HypOxystations (Don Whitley Scientific).
XBP1 splicing assay
RNA was isolated using TRI Reagent (Sigma-Aldrich) and reverse transcribed with qScript (Quanta Biosciences). XBP1 was amplified using the primers 5′-AAACAGAGTAGCAGCTCAGACTGC-3′ and 5′-TCCTTCTGGGTAGACCTCTGGGAG-3′, resolved and detected on ethidium bromide–containing 3% agarose gels.
Microarray analysis
RNA was isolated using the RNeasy Mini kit (QIAGEN) and quality assessed on an Bioanalyzer system (model 2100; Agilent Technologies). 250 ng from each of 24 RNA samples (four groups, two cell lines, triplicate) were labeled using the Illumina TotalPrep RNA Amplification kit (Ambion). 750 ng of cRNA generated from amplification and labeling were hybridized to two Human HT-12 v4.0 BeadChips. The BeadChips were scanned on the Illumina iScan platform after washing and staining. Data files were quantified in GenomeStudio version 2011.1. All samples passed Illumina’s sample-dependent and -independent quality control metrics with one sample having higher background and overall signal intensities resulting in lower detection calls relative to the other samples. This sample was included after normalization. Bead summary text files containing quality corrected median intensity values for each probe were loaded into the R statistical environment (v2.13.2). Data were normalized using the variance-stabilizing method VSN (Lin et al., 2008), as implemented by the BeadArray package v2.2.0 (Dunning et al., 2007). No samples were excluded after quality control. The expression of 85 genes involved in ER-localized protein processing or ERAD as per literature review (Görlich et al., 1992; Kelleher and Gilmore, 2006; Appenzeller-Herzog and Ellgaard, 2008; Riemer et al., 2009; Hoseki et al., 2010; Otero et al., 2010; Benyair et al., 2011; Braakman and Bulleid, 2011; Burr et al., 2011; McLaughlin and Vandenbroeck, 2011; Rutkevich and Williams, 2012) were analyzed. After preprocessing, statistical analysis was performed on expression levels in each treatment group relative to the matched normoxia control. Fold changes were calculated and tested for significance using a two-tailed t test with Welch’s adjustment for heteroscedasticity. Resulting P values were adjusted to account for multiple testing using the FDR method to create q-values (Benjamini and Hochberg, 1995). Heat maps of log2 fold changes relative to the control were created in R (v2.13.2) using the lattice (v0.19-24) and latticeExtra (v0.6-15) packages.
Transfections
Cells were transiently transfected with pcINeo-FluHA encoding the full-length influenza hemagglutinin from the X31 strain (Maggioni et al., 2005), pcDNA3-Ero1α-myc encoding the full-length human Ero1α with a C-terminal myc-6his tag (Benham et al., 2000; Cabibbo et al., 2000), or pcDNA3-LDLR encoding the full-length human low-density lipoprotein receptor (Jansens et al., 2002) using Lipofectamine 2000 (Invitrogen).
Pulse-chase assay
Cells were rinsed with phosphate-buffered saline (PBS) and starved of methionine and cysteine for 15 min. Newly synthesized proteins were radioactively labeled for 3 or 5 min using 50 µCi EasyTag EXPRESS 35S-Protein Labeling Mix (PerkinElmer) per 4-cm dish. Experiments were conducted within minutes of inserting cells into a hypoxic chamber to prevent PERK activation from limiting protein synthesis. Incorporation of radioactive amino acids was stopped by adding chase media (containing 10% FBS, 5 mM methionine, 5 mM cysteine, and 1 mM cycloheximide). To study post-translational disulfide bond formation, cotranslationally formed disulfide bonds were reduced by incubating cells in chase media with 5 mM dithiothreitol (DTT) for 5 min. This created a synchronized reduced radioactive protein population. DTT was omitted from the 35S pulse itself because it reduced labeling efficiency. DTT inclusion immediately after the pulse resulted in sharp protein bands indistinguishable from those produced when DTT was added to cell lysates. Cells were then washed three times and incubated in DTT-free oxygen-equilibrated chase media before protein maturation was stopped by flooding cells with ice-cold PBS containing 20 mM N-ethylmaleimide (NEM) to alkylate free cysteines. For HepG2 cells, where radioactive labeling in hypoxia was impossible due to rapid inhibition of mRNA translation, cells were labeled in normoxia. Cells were kept in DTT-containing chase media for 20 min after the 35S pulse to allow insertion into the hypoxic chamber and three washes with oxygen-equilibrated chase media before release in DTT-free chase media. Glycan modifications in normoxia were likewise prevented by keeping cells ice-cold before being released to fold in 37°C chase media under various oxygen concentrations. Cells were lysed in 20 mM NEM-containing Flu-HA lysis buffer (20 mM MES, 100 mM NaCl, 30 mM Tris-HCl, pH 7.4, 0.5% Triton X-100, 60 mM N-octylglucoside, and 1 mM EDTA) or RIPA buffer (150 mM NaCl, 1% NP-40, 0.5% Na-deoxycholate, 0.1% SDS, and 50 mM Tris, pH 7.5) with Complete protease inhibitor cocktail (Roche). Immunoprecipitated ER cargo glycoproteins were digested with endoglucosidase H. Proteins were resolved on SDS-PAGE gels with or without DTT reduction. Gels were fixed (30% methanol, 10% acetic acid), neutralized (30% methanol in PBS), and signal enhanced (8% sodium salicylate, 30% methanol) before drying and exposing to a storage phosphor screen (GE Healthcare). Signals were detected on a variable mode imager (Typhoon 9410; GE Healthcare).
Western blotting
Cells were rinsed with PBS and lysed in RIPA buffer (150 mM NaCl, 1% NP-40, 0.5% Na-deoxycholate, 0.1% SDS, and 50 mM Tris, pH 7.5) with Complete protease inhibitor cocktail (Roche). Protein was resolved on 10% SDS-PAGE gels, transferred to nitrocellulose membranes (GE Healthcare), blocked with 5% skim milk (Bio-Rad Laboratories) in PBS containing 0.02% Tween 20 (Sigma Aldrich) and decorated with antibodies. Protein detection was performed by chemiluminescence (Thermo Fisher Scientific).
Antibodies
For immunoprecipitations we used the following antibodies: rabbit polyclonal antiserum raised against X31 HA (Braakman et al., 1991), rabbit polyclonal antiserum raised against human LDLR (Jansens et al., 2002), and antibodies against albumin and alpha1-antitrypsin (Sigma Aldrich). For Western blotting we used the following primary antibodies: rabbit polyclonal purified antiserum raised against the SENQRLKVPSPKRR peptide of human/mouse ATF6 (Zhang et al., 2009; a gift from A. Volchuk, Toronto General Research Institute, Toronto, Canada), β-actin (MP Biomedicals), and HA and myc (Sigma Aldrich). We used HRP-linked secondary antibodies from GE Healthcare.
Online supplemental material
Fig. S1 shows activation of IRE1 and ATF6 during anoxia, as well as transcriptional regulation of the ERome during anoxia, tunicamycin, and thapsigargin exposure. Fig. S2 illustrates the regulation of ERome transcripts during hypoxia in three additional cancer cell lines. Fig. S3 shows Flu-HA overexpression in the experiment corresponding to Fig. 2 B. Fig. S4 shows that inhibition of PERK during anoxia results in protein aggregation. Fig. S5 demonstrates that oxygen deprivation preconditioning does not promote disulfide bond formation in albumin during hypoxia. Table S1 shows average fold induction of ERome transcripts during hypoxia, tunicamycin, and thapsigargin exposure, along with the level of statistical significance for their regulation corrected for false discovery rates. Microarray data are deposited under GEO accession nos. GSE41491 and GSE41666.
Acknowledgments
We thank A. Volchuk for the ATF6 antibody, D. Williams for good advice, and Z. Shalev for technical assistance.
We are grateful for financial support from The Terry Fox Foundation/Research Institute (New Investigator Award to M. Koritzinsky, New Frontiers Research Program PPG09-020005 to B.G. Wouters and M. Koritzinsky, and Strategic Initiative for Excellence in Radiation Research for the 21st Century [EIRR21] at the Canadian Institutes of Health Research [CIHR] award to F. Levitin); The Dutch Science Foundation (NWO VENI 916.56.015 to M Koritzinsky, NWO ECHO 700.54.013 to I. Braakman); The Dutch Cancer Society (KWF UM-2008-4068 to M. Koritzinsky and B.G. Wouters); The Princess Margaret Cancer Foundation (M. Koritzinsky and B.G. Wouters); and the Ontario Institute for Cancer Research and Government of Ontario (P.C. Boutros and B.G. Wouters). This work was also financially supported in part by the Ontario Ministry of Health and Long Term Care (OMOHLTC). The views expressed do not necessarily reflect those of the OMOHLTC.

