Lipid droplets (LDs) are reservoirs for triglycerides (TGs) and sterol-esters (SEs), but how these lipids are organized within LDs and influence their proteome remain unclear. Using in situ cryo-electron tomography, we show that glucose restriction triggers lipid phase transitions within LDs generating liquid crystalline lattices inside them. Mechanistically this requires TG lipolysis, which decreases the LD’s TG:SE ratio, promoting SE transition to a liquid crystalline phase. Molecular dynamics simulations reveal TG depletion promotes spontaneous TG and SE demixing in LDs, additionally altering the lipid packing of the PL monolayer surface. Fluorescence imaging and proteomics further reveal that liquid crystalline phases are associated with selective remodeling of the LD proteome. Some canonical LD proteins, including Erg6, relocalize to the ER network, whereas others remain LD-associated. Model peptide LiveDrop also redistributes from LDs to the ER, suggesting liquid crystalline phases influence ER–LD interorganelle transport. Our data suggests glucose restriction drives TG mobilization, which alters the phase properties of LD lipids and selectively remodels the LD proteome.
Introduction
Lipid droplets (LDs) are unique ER-derived organelles dedicated to the storage of energy-rich neutral lipids. Structurally, LDs are composed of a hydrophobic core of triglycerides (TGs) and sterol-esters (SEs) that are surrounded by a phopsholipid (PL) monolayer decorated by specific proteins. Beyond their roles in energy homeostasis, recent work highlights the roles of LDs in signaling, development, and metabolism (Welte and Gould, 2017; Olzmann and Carvalho, 2019; Walther et al., 2017). These diverse jobs are largely dictated by the LD proteome, but a pervasive question is how specific proteins are targeted to the LD surface. Furthermore, whether the LD proteome is static or dynamic, and how LD lipid composition and cellular metabolic cues influence LD protein residency remains poorly understood.
LDs are generated at the ER and can remain connected to the ER bilayer for extended periods (Jacquier et al., 2011; Kassan et al., 2013). As such, Type I LD proteins can translocate between the ER and LD monolayer via lipidic bridges connecting the two organelles (Wilfling et al., 2013; Wilfling et al., 2013). Elegant in vitro studies have suggested that LD protein targeting promotes energetically favorable conformational changes within some proteins, and the repositioning of proteins to LDs from the ER network can even influence their enzymatic activities or modulate their degradation (Caillon et al., 2020; Chorlay and Thiam, 2020; Leber et al., 1998; Schmidt et al., 2013; Ohsaki et al., 2006). The second mechanism of LD targeting occurs from the cytoplasm, where soluble proteins insert into the LD monolayer via a hydrophobic region, amphipathic helix, or lipid moiety. Here, hydrophobic protein regions recognize lipid packing defects (LPDs) between the PL monolayer lipid head groups, enabling their insertion into the neutral lipid core (Bacle et al., 2017; Prevost et al., 2018; Chorlay and Thiam, 2020; Chorlay et al., 2021).
Although monolayer PLs can regulate LD protein targeting, how neutral lipids (NLs) within the LD core influence protein localization is less understood. However, NLs clearly impact the composition of the LD surface proteome (Chorlay and Thiam, 2020). For example, in yeast, some proteins preferentially decorate TG-rich LDs (Gao et al., 2017). Molecular studies also indicate that protein insertion into the LD neutral lipid core enables proteins to fold with lower free energy, and polar residues within hydrophobic regions can even interact with TG, further anchoring them to the LD (Olarte et al., 2020). Despite these insights, how NL pools ultimately influence the composition and dynamics of the LD proteome is underexplored, yet central to our understanding of LD organization and functional diversity.
NLs generally form an amorphous mixture within the hydrophobic LD core. This organization and even the phase properties of LD lipids themselves can change in response to various cellular stimuli. HeLa cells induced into mitotic arrest or starvation exhibit lipid phase transitions within their LDs, generating liquid crystalline lattices (LCLs) inside the LD core that can be visualized via cryo-electron tomography (cryo-ET) as striking onion-like layers inside the LDs (Mahamid et al., 2019). Yeast biochemical studies also proposed similar segregation of TGs and SEs into discrete layers within LDs (Czabany et al., 2008). This lipid reorganization is attributed to the biophysical properties of SEs, which can transition from disordered to ordered smectic phases under physiological conditions (Kroon, 1981; Ginsburg et al., 1984; Shimobayashi and Ohsaki, 2019; Czabany et al., 2008). Such phase transitions are also associated with human pathologies, including atherosclerosis, and liquid crystalline LDs were even observed in the macrophage of a patient with Tangier disease (Lundberg, 1985) (Katz et al., 1977). How these phase transitions are triggered, and whether they influence organelle physiology or are simply a biophysical consequence of the properties of SEs, is unknown.
Here, we utilized budding yeast to dissect the metabolic cues governing lipid phase transitions within LDs. We used cryo-ET of cryo-focused ion beam (cryo-FIB)–milled yeast cells to study the in situ architecture of LDs in their native environment, under ambient or glucose-restricted conditions. We show that in response to acute glucose restriction (AGR), yeast initiate TG lipolysis, which induces the formation of LCLs within LDs. The formation of LCL-LDs closely correlates with changes in the TG:SE lipid ratios within the LD core. In line with this, molecular dynamics (MD) simulations of model LDs indicate that variations in this TG:SE ratio are sufficient to promote their spontaneous demixing within LDs. This lipid demixing also alters the LD monolayer surface, and consistently, we find that LCL-LD formation drastically alters LD protein targeting and selectively changes the LD surface proteome. Taken together, our data suggest that upon glucose restriction, TG lipolysis triggers spontaneous lipid demixing within LDs that supports liquid crystalline phase transitions and the subsequent remodeling of the LD surface proteome.
Results
AGR promotes TG lipolysis-dependent liquid crystalline phase transitions in LDs
Previous studies from our group indicated that budding yeast exposed to AGR, where the yeast are transferred from a glucose-rich (2%) synthetic complete media to a low-glucose (0.001%) media, exhibit metabolic remodeling that favors the production of SEs, which are stored in LDs (Rogers et al., 2021). We used cryo-ET to investigate if AGR also impacts LD morphology. We rapidly froze yeast cells that were either in logarithmic (log-phase) growth in glucose-rich media or exposed to 4 h of AGR, and used cryo-FIB milling to generate 100–200-nm-thick lamellae of the vitrified cells. These lamellae were then imaged by cryo-ET to reveal the 3D structure of native LDs in situ. The cryo-FIB–milled lamella exhibited a well-preserved yeast ultrastructure, including the nucleus, vacuole, mitochondria, and LDs (Fig. 1 A, Fig. S1, and Video 1). Typical LDs could be distinguished from other cellular organelles by their relatively electron-dense, amorphous interior that was surrounded by a thin PL monolayer (Fig. 1 B and Video 2). In contrast to normal LDs in glucose-fed log-phase cells, ∼77% of the LDs observed in 4-h AGR-treated yeast displayed reorganization of their interior, including the appearance of distinct concentric rings in the LD periphery (Fig. 1, C, D, and M for quantification; Video 3). These rings appear similar to the lattices previously observed in liquid crystalline phase LDs, which exhibited a regular spacing of ∼3.4–3.6 nm between their layers, suggesting they were composed of SEs (Mahamid et al., 2019; Engelman and Hillman, 1976). Indeed, our line-scan analysis showed regular 3.4-nm spacing between rings (Fig. 1 E), suggesting these LDs indeed exhibited SE LCLs. Thus, we refer to these “onion-like” LDs as LCL-LDs. Notably, these were never observed in the log-phase yeast (Fig. 1, B and M).
Visualization of the LCL-LDs promoted by TG lipolysis using in situ cryo-ET. (A) Representative tomographic slice from a cryo-FIB–milled and cryo-ET reconstructed WT yeast cell grown for 4 h under AGR. Note the “bubbled” (lighter) centers of the LDs (L). V, vacuole. N, nucleus. A different tomographic slice of the boxed LD is also shown in C. (B–J) Representative tomographic slices of LDs in yeast from glucose-fed WT in log phase (B), WT after 4 h AGR (C, boxed area magnified in D; E shows line-scan plot of area between yellow arrowheads), WT after 4 h AGR + 0.1% OA (F), tgl3,4,5Δ yeast after 4 h AGR (G), WT cultured with 2% glucose and 0.1% OA (H), nvj1Δ after 4 h AGR (I, boxed area magnified in J). LCLs were only observed in LDs from WT and nvj1Δ yeasts in AGR (C, D, I, and J). White arrows highlight the “bubbles” due to electron radiation in centers of LCL-LDs. (K) Quantification of relative whole-cell TGs and SEs in log and 4-h AGR conditions. (L) Relative TGs in log and 4-h AGR conditions. (MandN) Perecent abundance of LCL-LDs (M) and diameters of LDs (N) under various conditions measured in cryo-tomograms. Note that the observed diameter depends on the plane at which the LDs were sectioned; therefore, for size measurements, only LDs with clearly visible monolayer (indicating a slice through the LD center) were included. *, P < 0.05; ***, P < 0.001. Scale bars: 200 nm (A), 50 nm (B, C, and F–I), and 20 nm (D and J).
Visualization of the LCL-LDs promoted by TG lipolysis using in situ cryo-ET. (A) Representative tomographic slice from a cryo-FIB–milled and cryo-ET reconstructed WT yeast cell grown for 4 h under AGR. Note the “bubbled” (lighter) centers of the LDs (L). V, vacuole. N, nucleus. A different tomographic slice of the boxed LD is also shown in C. (B–J) Representative tomographic slices of LDs in yeast from glucose-fed WT in log phase (B), WT after 4 h AGR (C, boxed area magnified in D; E shows line-scan plot of area between yellow arrowheads), WT after 4 h AGR + 0.1% OA (F), tgl3,4,5Δ yeast after 4 h AGR (G), WT cultured with 2% glucose and 0.1% OA (H), nvj1Δ after 4 h AGR (I, boxed area magnified in J). LCLs were only observed in LDs from WT and nvj1Δ yeasts in AGR (C, D, I, and J). White arrows highlight the “bubbles” due to electron radiation in centers of LCL-LDs. (K) Quantification of relative whole-cell TGs and SEs in log and 4-h AGR conditions. (L) Relative TGs in log and 4-h AGR conditions. (MandN) Perecent abundance of LCL-LDs (M) and diameters of LDs (N) under various conditions measured in cryo-tomograms. Note that the observed diameter depends on the plane at which the LDs were sectioned; therefore, for size measurements, only LDs with clearly visible monolayer (indicating a slice through the LD center) were included. *, P < 0.05; ***, P < 0.001. Scale bars: 200 nm (A), 50 nm (B, C, and F–I), and 20 nm (D and J).
LD lipid phase transitions characterized by cryo-FIB and cryo-ET (corresponds to Fig. 1 ). (A–J) Electron dose series (“bubblegrams”) for LDs from cryo-FIB–milled WT yeast in log phase (A–E) or after AGR (F–J); series of 2D cryo-EM images were recorded of the same LDs exposed to increasing electron dose (1–400 e−/Å2). Note that LCLs (see box in G magnified in J) and excessive bubbling in LD centers (starting at an electron dose <30 e−/Å2) occurred only under AGR. Even at 400 e−/Å2 electron dose, minimal bubbling (white arrowheads in E) was observed in log WT. (K–M) Representative tomographic slices from cryo-FIB–milled and cryo-ET reconstructed WT in log phase (K), nvj1Δ yeasts after 4 h AGR (L), and are1are2Δ yeast after 4 h AGR (M). The nucleus-vacuole junction (black arrowheads in K and M) was observed in WT and are1are2Δ yeasts, but absent in nvj1Δ yeast (white arrowhead in L). No LDs were found in are1are2Δ yeast. V, vacuole; N, nucleus; L, LD; M, mitochondrion. (N) Yeast stained with LD marker MDH in log and 4 h AGR. Scale bars: 50 nm (A–I), 200 nm (K–M), 25 nm (J).
LD lipid phase transitions characterized by cryo-FIB and cryo-ET (corresponds to Fig. 1 ). (A–J) Electron dose series (“bubblegrams”) for LDs from cryo-FIB–milled WT yeast in log phase (A–E) or after AGR (F–J); series of 2D cryo-EM images were recorded of the same LDs exposed to increasing electron dose (1–400 e−/Å2). Note that LCLs (see box in G magnified in J) and excessive bubbling in LD centers (starting at an electron dose <30 e−/Å2) occurred only under AGR. Even at 400 e−/Å2 electron dose, minimal bubbling (white arrowheads in E) was observed in log WT. (K–M) Representative tomographic slices from cryo-FIB–milled and cryo-ET reconstructed WT in log phase (K), nvj1Δ yeasts after 4 h AGR (L), and are1are2Δ yeast after 4 h AGR (M). The nucleus-vacuole junction (black arrowheads in K and M) was observed in WT and are1are2Δ yeasts, but absent in nvj1Δ yeast (white arrowhead in L). No LDs were found in are1are2Δ yeast. V, vacuole; N, nucleus; L, LD; M, mitochondrion. (N) Yeast stained with LD marker MDH in log and 4 h AGR. Scale bars: 50 nm (A–I), 200 nm (K–M), 25 nm (J).
Tomographic reconstruction of a cryo-FIB–milled WT yeast cell after 4 h AGR. Compare with Fig. 1 A. Scale bar, 200 nm. Playback time, 8 s.
Tomographic reconstruction of a cryo-FIB–milled WT yeast cell after 4 h AGR. Compare with Fig. 1 A. Scale bar, 200 nm. Playback time, 8 s.
Tomographic reconstruction of a LD from a cryo-FIB–milled WT yeast cell in log phase (grown with 2% glucose). Compare with Fig. 1 B. Scale bar, 50 nm. Playback time, 9 s.
Tomographic reconstruction of a LD from a cryo-FIB–milled WT yeast cell in log phase (grown with 2% glucose). Compare with Fig. 1 B. Scale bar, 50 nm. Playback time, 9 s.
Tomographic reconstruction of a LD from a cryo-FIB–milled WT yeast cell after 4 h AGR. Compare with Fig. 1 C. Scale bar, 50 nm. Playback time, 10 s.
Tomographic reconstruction of a LD from a cryo-FIB–milled WT yeast cell after 4 h AGR. Compare with Fig. 1 C. Scale bar, 50 nm. Playback time, 10 s.
In addition to the LCLs beneath the LD monolayer surface, the amorphous centers of LCL-LDs were unusually sensitive to electron radiation, causing excessive radiolysis and “bubbling” (i.e., the generation of a gas bubble trapped in the ice that appears white in cryo-EM images) during tilt-series acquisition (Fig. 1 C, white arrow). This increased radiation sensitivity was only observed in LCL-LDs, but not in LDs with entirely amorphous interiors (i.e., not observed in the 23% disordered LDs of AGR-treated yeast or in any LDs of log-phase yeast). We generated comparative “bubblegrams” (i.e., a series of 2D cryo-EM images where the same sample area was exposed to an increasing amount of electron dose), which revealed that the centers of LCL-LDs exhibited bubbling following exposure to <30 e/Å2, whereas amorphous LDs from log-phase yeast did not show any bubbling even at 400 e/Å2 dosages (Fig. S1, A–J). Previous studies of electron radiation–induced bubbling of frozen biomolecules in aqueous solution and within cells demonstrated that similar gas bubbles contained mostly molecular hydrogen gas that became trapped in the vitrified samples (Leapman and Sun, 1995; Aronova et al., 2011). Although the mechanism of radiation-induced bubbling and increased radiation sensitivity within the center of LCL-LDs is not clear, it may be due to the production of gases derived from a specific combination of lipids or metabolites present within LCL-LDs.
We hypothesized that the formation of LCL-LDs may involve changes to the NLs within the LD core. To investigate the effects of AGR on yeast NL pools, we monitored TG and SE levels in log-phase and 4-h AGR-treated yeast. Indeed, although log-phase yeast contained similar levels of TG and SE, AGR-treated yeast contained significantly less TG (Fig. 1 K). As expected, AGR yeast also had increased amounts of SEs (Fig. 1 K), as previously observed (Rogers et al., 2021), indicating that the TG:SE ratio within the LDs was significantly decreased to ∼0.5:1.5 compared to a normal ratio of ∼1:1 (Leber et al., 1994). We hypothesized that LCL-LD formation was promoted by TG loss from LDs. To test this, cryo-ET was performed on yeast lacking the major TG lipases (tgl3,4,5Δ). Indeed, 4-h AGR-treated tgl3,4,5Δ yeast did not form any detectable LCL-LDs (Fig. 1, G and M), suggesting TG lipolysis was required for LCL-LD formation. In support of this, LDs in WT AGR-treated yeast were significantly smaller in diameter than log-phase LDs, and this reduced size was suppressed in tgl3,4,5Δ yeast (Fig. 1 N), suggesting the size reduction was due to lipid loss via TG lipolysis.
To further dissect how TGs influence LCL-LDs, we treated yeast with 0.1% oleic acid (OA), which promotes TG synthesis. As expected, OA elevated cellular TG levels in yeast when cultured in its presence during the 4-h AGR treatment (Fig. 1 L), and notably, no LCL-LDs were observed during log-phase or in this AGR + OA condition (Fig. 1, F, H, and M). In line with this, although LD sizes in AGR-treated yeast were significantly smaller than in log-phase cells, their sizes slightly recovered under the AGR + OA condition (Fig. 1, F and N). As we previously observed that the yeast nucleus–vacuole junction (NVJ) can serve as a site for LD biogenesis during nutrient stress (Hariri et al., 2018), we also examined whether NVJ loss impacted LCL-LD formation. Cryo-ET of nvj1Δ yeast cells showed the expected loss of tight contacts between the outer nuclear envelope and the vacuole (Fig. S1, K and L). However, nvj1Δ yeast exhibited ∼75% LCL-LDs under AGR conditions (very similar to WT yeast), indicating that the NVJ was not required for LCL-LD formation (Fig. 1, I, J, and M).
Since SEs can form LCLs, we next tested whether SEs were required for LCL-LD formation. We monitored LDs in are1are2Δ yeast that cannot synthesize SEs. Surprisingly, in 15 different cryo-FIB lamellae of are1are2Δ yeast cells, no LDs could be observed (Fig. S1 M). However, fluorescence staining with monodansylpentane (MDH) LD stain confirmed the presence of LDs in are1are2Δ yeast during AGR stress, but these LDs were small and sparser compared to any of the other examined strains (Fig. S1 N). Thus, the reduction in LD size and abundance within cells may account for the inability to observe LDs in the cryo-tomograms of the 100–200-nm-thick lamellae.
Collectively, these data suggest that TG abundance is a key modulator of SE-associated phase transitions within LDs. They support a model where Tgl-dependent TG lipolysis during AGR promotes LCL-LD formation by depleting the TG pool that maintains SE in its disordered phase.
TG and SE spontaneously separate in model LDs in response to altered TG:SE ratios
To investigate the mechanism by which AGR treatment promotes the formation of LCL-LDs, we performed MD simulations of model LDs, as this technique has been shown to provide molecular information on LD-like lipid assemblies (Ben M’barek et al., 2017; Bacle et al., 2017; Zoni et al., 2021; Prevost et al., 2018; Chorlay et al., 2019). As cryo-ET suggests that during AGR treatment SEs are enriched at the LD periphery (Fig. 1), and biochemical measurements indicate that this phenomenon correlates with imbalanced TG:SE ratios within LDs (Fig. 1 K), we initially performed MD simulations to investigate how SEs and TGs partition within the LD core at different ratios. We built lipid trilayers, model systems in which different concentrations of SEs and TGs are sandwiched between two monolayers of phosphatidylcholine (PC) PLs, representing the LD surface, and surrounded by water (Fig. 2 A). These structures mimic mature LDs and were previously used to study LD structural properties (Bacle et al., 2017) and protein targeting to LDs (Prevost et al., 2018).
SE and TG partition nonuniformly in the core of in silico model LDs. (A) Trilayer system of MD simulations, composed of PC PLs, yellow and gray, SEs, blue, and TGs, orange. (B) Density profile of TG, SE, and PC in a trilayer system containing 50:50 TG:SE. Only a small region of the profile is shown for clarity. For density profiles, the results are reported as the average between the analysis of the first part and the last part of the simulations, while the shaded regions correspond to the area between the two curves. See Materials and methods for details. (C) Density profile of TG, SE, and PC in a trilayer system containing 25:75 TG:SE. (D) Schematic representation of interdigitation and calculations for systems at different TG:SE ratios. The results are reported as the average between the analysis of the first part and the last part of the simulations, while the error bars correspond to the distance between the results. See Materials and methods for details. (E) Interdigitation for SE and TG at different TG:SE ratios. (F) Interdigitation between PC lipids and the CHOL moiety (red) or the acyl chain (black) of SE molecules at different TG:SE ratios. (G) Representative snapshots describing the time evolution of simulations mimicking TG lipolysis into DAG. (H) Density profiles of PC, SE, TG, and DAG after equilibration. (I) Comparison of PC and SE density profile for trilayer containing 50% SE in the absence (cyan) or presence (light blue) of 30% DAG. (J) Schematic representation of shallow and deep LPDs. (K) Quantification of deep and shallow LPDs in systems with different TG:SE ratios.
SE and TG partition nonuniformly in the core of in silico model LDs. (A) Trilayer system of MD simulations, composed of PC PLs, yellow and gray, SEs, blue, and TGs, orange. (B) Density profile of TG, SE, and PC in a trilayer system containing 50:50 TG:SE. Only a small region of the profile is shown for clarity. For density profiles, the results are reported as the average between the analysis of the first part and the last part of the simulations, while the shaded regions correspond to the area between the two curves. See Materials and methods for details. (C) Density profile of TG, SE, and PC in a trilayer system containing 25:75 TG:SE. (D) Schematic representation of interdigitation and calculations for systems at different TG:SE ratios. The results are reported as the average between the analysis of the first part and the last part of the simulations, while the error bars correspond to the distance between the results. See Materials and methods for details. (E) Interdigitation for SE and TG at different TG:SE ratios. (F) Interdigitation between PC lipids and the CHOL moiety (red) or the acyl chain (black) of SE molecules at different TG:SE ratios. (G) Representative snapshots describing the time evolution of simulations mimicking TG lipolysis into DAG. (H) Density profiles of PC, SE, TG, and DAG after equilibration. (I) Comparison of PC and SE density profile for trilayer containing 50% SE in the absence (cyan) or presence (light blue) of 30% DAG. (J) Schematic representation of shallow and deep LPDs. (K) Quantification of deep and shallow LPDs in systems with different TG:SE ratios.
As a reference starting point, we investigated a model LD trilayer with an NL ratio of 50% SE and 50% TG molecules (TG:SE 50:50), as this composition is compatible with that of WT yeast cells in log-phase (Fig. 1 K). Starting from an initial random distribution of SEs and TGs in the trilayer core, the simulations show that when equilibrium is reached, SEs and TGs are similarly enriched close to the PC monolayers (Fig. 2 B and Fig. S2 A). Of note, this comparable behavior of TGs and SEs is quite unexpected since in oil–water interfaces of TG:SE mixtures, in the absence of PLs, TG molecules are acutely enriched at the oil–water interface (Fig. S2 B) because of the lower interfacial tension of TGs with water in comparison with that of SEs (Fig. S6 B). Thus, our data suggest that preferential interactions with PLs drive SE molecules close to the LD surface.
SEs and TGs partition nonuniformly in the core of LDs (corresponds to Fig. 2 ). (A) Density profile of TG, SE, and PC in trilayer systems containing 50:50 TG:SE. For density profiles, the results are reported as the average between the analysis of the first part and the last part of the simulations, while the shaded regions correspond to the area between the two curves. See Materials and methods for details. (B) Density profile of TG and SE in systems containing 50:50 TG:SE with no PC PLs. (C) Density profile of TG, SE, and PC in trilayer systems containing 25:75 TG:SE. (D) Density profiles of PC, SE, TG, and DAG in systems containing 30:50:20 TG:SE:DAG. (E) Energies, temperatures, pressure components, and surface tension over time from molecular dynamics simulations. NL indicates the temperature of TG only, TG + SE, or TG + SE + DAG depending on the system composition (see Materials and methods). PC indicates the monolayer of PLs. Pxx, Pyy, and Pzz are diagonal values of the pressure tensor.
SEs and TGs partition nonuniformly in the core of LDs (corresponds to Fig. 2 ). (A) Density profile of TG, SE, and PC in trilayer systems containing 50:50 TG:SE. For density profiles, the results are reported as the average between the analysis of the first part and the last part of the simulations, while the shaded regions correspond to the area between the two curves. See Materials and methods for details. (B) Density profile of TG and SE in systems containing 50:50 TG:SE with no PC PLs. (C) Density profile of TG, SE, and PC in trilayer systems containing 25:75 TG:SE. (D) Density profiles of PC, SE, TG, and DAG in systems containing 30:50:20 TG:SE:DAG. (E) Energies, temperatures, pressure components, and surface tension over time from molecular dynamics simulations. NL indicates the temperature of TG only, TG + SE, or TG + SE + DAG depending on the system composition (see Materials and methods). PC indicates the monolayer of PLs. Pxx, Pyy, and Pzz are diagonal values of the pressure tensor.
To mimic the variations in NL composition upon AGR treatment, we next modeled the LD core at a higher (25:75 TG:SE) SE concentration (Fig. 2 C and Fig. S2 C) and compared it with the previous (50:50 TG:SE) composition. Remarkably, even in the absence of any transition to the LCL state, in this condition, there is a clear difference in surface localization of TG versus SE, with SE molecules becoming more abundant at the LD surface at a higher SE concentration (Fig. 2 C and Fig. S2 C). Of note, this NL composition corresponds approximately to that of 4-h AGR-treated yeast, where LCL-LDs were observed (Fig. 1, C and K).
As an additional measure of the extent to which NLs pervade the LD interfacial region with water, that is, mostly populated by PLs, we next measured the interdigitation between NLs and the PC monolayer (Fig. 2 D). Remarkably, simulations show that as the SE relative concentration with respect to TG increases (TG:SE ratios of 75:25 → 50:50 → 25:75), SEs interdigitate more with the PL surface than TGs (Fig. 2 E). Since the interdigitation between the surface PC monolayer and the acyl chain of SE molecules remains approximately constant for increasing SE concentrations, our simulations suggest that this mechanism may be driven by the preferential interaction of the cholesterol (CHOL) moiety of SE with surface PLs (Fig. 2 F). Taken together, our results suggest that PLs preferentially interact with SEs, leading to a nonuniform distribution of the two NLs in the LD core. This nonuniform partitioning is broadened at TG:SE ratios, where SE is in abundance, such as those observed under yeast AGR treatment.
Since experiments suggest that the action of TG lipases is necessary for LCL-LD transition (Fig. 1, G and M), we wondered how the products of TG lipolysis would partition in the LD core. Assuming that fatty acids released from TG lipolysis would be directly transported away from LDs for cellular bioenergetics, we tested how the other main product of TG metabolism, diacylglycerol (DAG), distributes in the LD core. To mimic a physiological situation where DAGs are produced at the LD periphery and where TG lipases act, we modified only the TG molecules that are close to the PL monolayers to DAGs and then monitored their spatial localization over time (Fig. 2 G). At equilibrium, DAGs partitioned similarly to TGs near the center of the LD interior, with SEs again being the predominant lipid species at the LD periphery, immediately below the PL surface (Fig. 2 H and Fig. S2 D). A direct comparison of SE density in the presence/absence of DAG molecules indicates that even in the presence of more surface-active TG products, such as DAG, SEs retain their surface localization (Fig. 2 I; Campomanes et al., 2019), suggesting that TG lipolysis induced by TG lipases is unlikely to alter the surface enrichment of SE molecules.
Collectively, our simulations support the hypothesis that, at high concentrations of SEs within the LD core, SEs are enriched near the PL monolayer surface. This suggests that the nonuniform partitioning of TG and SE molecules at the LD periphery could be attributed to physicochemical properties of these molecules already in the liquid state, i.e., when the LD core is amorphous. Of note, TGs are not completely excluded from the LD periphery in this modeling, suggesting that, even at high SE concentrations, TGs are potentially still accessible to surface lipases. These observations could explain why, even in our simulations at 25:75 TG:SE ratio, we do not observe crystalline lattice formations. It is possible that TGs need to be almost completely removed from the LD periphery to promote the phase transition to LCL-LDs.
Spontaneous NL separation alters the LD monolayer surface properties
Since SEs and TGs can distribute nonhomogenously within the LD core, we next investigated whether this demixing influences the surface properties of LDs. We computed LPDs, a measure of the stable voids between the PL headgroups that expose lipid hydrophobic regions to water. LPDs can be classified as “deep” if they extend below the PL glycerol backbone or “shallow” if they are only above the PL glycerol backbone (Fig. 2 J), and both types have been identified as crucial to modulate peripheral protein binding to bilayers (Vanni et al., 2014; Vanni et al., 2013) and monolayers (Prevost et al., 2018; Olarte et al., 2020; Caillon et al., 2020; Chorlay and Thiam, 2020). Our simulations show that the number of deep LPDs remains almost constant in systems with increasing concentrations of SEs (Fig. 2 K). However, we observed a significant increase in the number of shallow LPDs when SEs rose above 50% in the trilayer core (Fig. 2 K). This may be due to the increased interdigitation of the CHOL moiety of SEs, which we found was more prone to interdigitate in the acyl chain layer of the PC PL surface of the trilayer system at higher SE concentrations (Fig. 2 F).
In summary, our MD simulations support a model where SEs and TGs can spontaneously demix at the surface of LDs when SEs are in excess. Such conditions closely match the empirically measured NL abundances we observed in yeast during AGR, where we observes the appearance of LCL-LDs in a TG lipolysis-dependent manner. However, a limitation of our simulations is that they do not directly model the liquid crystalline phase of the SEs. Even if these simulations do not exhibit phase transitions at high SE concentrations, they support a model where local SE enrichment near the LD monolayer surface can alter the monolayer properties, and thus may influence LD protein targeting. It may also explain why earlier studies on amorphous LDs showed a different proteome targeting SE-rich vs. TG-rich LDs (Khor et al., 2014; Hsieh et al., 2012; Gao et al., 2017).
LCL-LD formation correlates with Erg6 redistribution from LDs to the ER network
Motivated by our in silico data indicating that variations in TG:SE ratios can alter LD monolayer surface properties, we next investigated whether AGR stress and its associated LCL-LD formation impact LD protein targeting. Indeed, changes in the LD surface monolayer have been proposed to control protein targeting to lipid bilayers (Vanni et al., 2014; Vanni et al., 2013) and monolayers (Prevost et al., 2018; Caillon et al., 2020; Chorlay and Thiam, 2020; Olarte et al., 2020). This observation is also in agreement with previous studies indicating that LD proteins may interact with TGs contained within the LD interior (Olarte et al., 2020; Santinho et al., 2021). However, whether smectic LCL lipid phase transitions influence LD protein targeting remains unknown. To explore this possibility, we imaged the canonical yeast LD protein Erg6 tagged with mNeonGreen (Erg6-mNg) over time in yeast exposed to AGR stress. As expected, Erg6-mNg initially colocalized with LDs prior to AGR stress (t = 0). However, the Erg6-mNg labeling pattern changed after ∼1 h AGR and primarily decorated the cortical ER and nuclear envelope (Fig. 3 A). Erg6-mNg remained at the ER network throughout 2, 4, and 24 h AGR, and notably, the LD stain gradually dimmed over these time points, consistent with the loss of LD volume via lipolysis.
Erg6 LD de-localization correlates with altered TG:SE ratios and LCL-LD formation. (A) Yeast expressing Erg6-mNg and stained for LDs (MDH) at time points when yeasts were transferred from log-phase (2% glucose) to AGR. Red arrows indicate protein targeting. (B) TLC measurements of TG and SE in AGR-treated yeast over time. (C) Yeast expressing Erg6-mNg and MDH-stained for LDs. Yeast were either treated with AGR, AGR + lovastatin (sterol synthesis inhibitor) together, or AGR + Mg132 (proteasome inhibitor) together for 4 h. (D) Relative Manders M1 coefficient of Erg6-mNg colocalization with MDH LD stain in various conditions related to C. (E) TLC measurements of TG and SE from yeast treated for 4 h with AGR or AGR + lovastatin. (F) Yeast expressing Erg6-mNg and MDH-stained for LDs in log-phase (2% glucose), AGR, AGR + 0.1% OA, and AGR + 15 min 40°C. (G) Relative Manders M1 coefficient of Erg6-mNg colocalization with LD stain MDH in various conditions from F. (H) Time-lapse imaging of Erg6-mNg yeast stained with MDH, and heated up to 40°C following 4 h AGR. (I) Pln1(Pet10)-mNg in log and 4 h AGR. (J) Relative M1 coefficient of Pln1-mNG with LD targeting. Statistics are one-way ANOVA. *, P < 0.05; **, P < 0.01; ***, P < 0.001. Scale bars, 5 μm.
Erg6 LD de-localization correlates with altered TG:SE ratios and LCL-LD formation. (A) Yeast expressing Erg6-mNg and stained for LDs (MDH) at time points when yeasts were transferred from log-phase (2% glucose) to AGR. Red arrows indicate protein targeting. (B) TLC measurements of TG and SE in AGR-treated yeast over time. (C) Yeast expressing Erg6-mNg and MDH-stained for LDs. Yeast were either treated with AGR, AGR + lovastatin (sterol synthesis inhibitor) together, or AGR + Mg132 (proteasome inhibitor) together for 4 h. (D) Relative Manders M1 coefficient of Erg6-mNg colocalization with MDH LD stain in various conditions related to C. (E) TLC measurements of TG and SE from yeast treated for 4 h with AGR or AGR + lovastatin. (F) Yeast expressing Erg6-mNg and MDH-stained for LDs in log-phase (2% glucose), AGR, AGR + 0.1% OA, and AGR + 15 min 40°C. (G) Relative Manders M1 coefficient of Erg6-mNg colocalization with LD stain MDH in various conditions from F. (H) Time-lapse imaging of Erg6-mNg yeast stained with MDH, and heated up to 40°C following 4 h AGR. (I) Pln1(Pet10)-mNg in log and 4 h AGR. (J) Relative M1 coefficient of Pln1-mNG with LD targeting. Statistics are one-way ANOVA. *, P < 0.05; **, P < 0.01; ***, P < 0.001. Scale bars, 5 μm.
Using TLC, we also observed a gradual decrease in cellular TG during the AGR time course, with an ∼20 and 40% reduction in TG after 1 and 2 h AGR, respectively (Fig. 3 B). As previously demonstrated, cellular SEs increased during this AGR time course. However, Erg6-mNg delocalization from LDs preceded this SE increase, and this SE increase occurred after the initiation of TG depletion. This suggested that TG depletion, rather than SE increase, may be more important in promoting Erg6-mNg signal loss of LDs and accumulation at the ER. Consistent with this, treating cells with lovastatin, a sterol pathway inhibitor that blunted the SE increases in AGR but did not alter the TG decrease and did not prevent Erg6-mNg accumulation in the ER (Fig. 3, C and E). This collectively suggests that TG depletion, rather than SE elevation, strongly correlates with loss of Erg6-mNg LD signal and its accumulation at the ER network during the AGR time course.
To rule out the possibility that Erg6-mNg appearance at the ER during AGR was caused by a selective turnover of LD-localized Erg6-mNg followed by a new synthesis of Erg6 at the ER network, we treated cells with the proteasome inhibitor Mg132 during AGR. Mg132-treated cells still displayed ER-localized Erg6-mNg during AGR together with a corresponding decrease of LD-associated Erg6-mNg signal, suggesting the loss of LD-associated Erg6-mNg was not due to proteasomal turnover (Fig. 3 C). To quantify all this, we calculated the Manders M1 coefficient for each condition, which represents the amount of Erg6-mNg signal that overlaps with the LD stain MDH (Fig. 3 D). Indeed following 4 h of AGR stress, LD-associated Erg6-mNg signal was reduced by ∼50%, and this was unaffected upon addition of either lovastatin or Mg132. Collectively, these data suggest that neither SE synthesis nor proteasomal degradation plays a significant role in the redistribution of Erg6-mNg during AGR, and support a model where TG lipolysis promotes Erg6-mNg redistribution from LDs to the ER network.
Because loss of Erg6-mNg from LDs closely correlated with conditions that promoted LCL-LD formation, we next assessed whether Erg6-mNg maintained LD targeting in conditions that prevented or reversed LCL-LD formation in cryo-ET. First, we monitored Erg6-mNg localization in cells subjected to AGR stress in the presence of 0.1% OA or upon genetic ablation of TG lipases, both of which suppressed LCL-LD formation. Indeed, Erg6-mNg remained on LDs in both these conditions, suggesting that Erg6-mNg delocalization from LDs tightly correlates with LCL-LD formation and its associated TG reduction (Fig. 3, F and G; and Fig. S3 A). To more directly test whether the biophysical properties of LCL-LDs influenced Erg6-mNg localization, rather than other metabolic changes attributed to AGR stress, we briefly heated Erg6-mNg expressing yeast after 4 h AGR to 40°C, which is above the predicted phase transition temperature for smectic-phase SEs. Indeed, Erg6-mNg significantly, although not fully, relocalized from the ER network to LDs after only 15 min at 40°C (Fig. 3, F and G). We also conducted live-cell imaging of AGR-treated Erg6-mNg yeast during this heating, which revealed a rapid redistribution of Erg6-mNg from the ER network to LDs within ∼8 min of applied 40°C heating (Fig. 3 H). Together, these observations support a model in which TG lipolysis and the associated LCL-LD formation may promote Erg6-mNg relocalization from LDs to the ER network, but this targeting can be quickly reversed at higher temperatures, enabling Erg6-mNg to return to the LD surface. While the experimental observations support that LCL-LD formation influences Erg6-mNg LD residency, we cannot rule out that additional factors also influence this targeting.
TG lipases are required for Erg6-GFP retargeting to the ER network during AGR-associated LCL-LD formation (corresponds to Fig. 3 ). (A) WT or tgl3,4,5Δ Erg6-GFP yeast in log or AGR conditions.
TG lipases are required for Erg6-GFP retargeting to the ER network during AGR-associated LCL-LD formation (corresponds to Fig. 3 ). (A) WT or tgl3,4,5Δ Erg6-GFP yeast in log or AGR conditions.
Next, we investigated whether AGR caused general relocalization of other canonical LD proteins. Surprisingly, Pln1-mNg, a perilipin-like protein also known as Pet10 (Gao et al., 2017), was still detectably localized to LDs by imaging after 4 h of AGR, suggesting the delocalization of LD proteins during AGR and its associated LCL-LD formation may be selective (Fig. 3, I and J).
Erg6 and Pln1 LD targeting is influenced by LD neutral lipid content in human cells independent of AGR stress
As our observations indicated that Erg6 could reversibly target between LDs and the ER network during AGR-associated LCL-LD formation, we next wanted to dissect this dynamic relocalization in an orthogonal cellular system that was uncoupled from the metabolic changes associated with yeast AGR stress. To this end, we expressed eGFP-tagged Erg6 in human HeLa cells, then treated them either for 24 h with OA to induce TG-rich LDs or with CHOL coupled to methyl-β-cyclodextrin to induce the formation of SE-rich LDs (Fig. 4 A). Indeed, CHOL-treated HeLa cells contained LDs with anisotropic birefringent properties when illuminated with polarized light, consistent with the formation of liquid crystalline CHOL-esters within these LDs (Shimobayashi and Ohsaki, 2019; Fig. 4, A and C). In contrast, the OA-treated TG-rich HeLa cells contained LDs that were not birefringent. Notably, Erg6-eGFP targeted the ER network in cells not given either treatment and decorated LDs following OA exposure, indicating Erg6-eGFP exhibited similar dual-organelle targeting as in yeast (Fig. 4 C and Fig. S4 A). Erg6-eGFP was detected on nearly all LDs in both TG-rich and SE-rich LD conditions, but appeared slightly dimmer on LDs in the SE-rich samples, where a dim ER network Erg6-eGFP signal was also observed (Fig. 4 C and Fig. S4 A). Consistent with this, when we calculated the Erg6-eGFP LD-to-ER distribution ratio for each condition, we found they significantly differed. In cells containing TG-rich LDs, Erg6-eGFP exhibited a significantly higher LD-to-ER ratio compared with Erg6-eGFP in the CHOL-treated cells (Fig. 4, C and E). As a control, we also quantified whole-cell Erg6-eGFP fluorescence and found these very similar in both CHOL and OA-treated cells, indicating differences in Erg6-eGFP expression could not explain the distinct LD-to-ER ratios (Fig. S4, A and C). This suggested that, similar to the observations in yeast, Erg6 exhibited more targeting to TG-rich LDs as compared to SE-rich LDs (Fig. 3, A–G).
Erg6 and Pln1 exhibit LD targeting preferences in human HeLa cells independent of AGR stress . (A) Cartoon of HeLa cell lipid treatments with BSA-conjugated OA or methyl-β-cyclodextrin-conjugated CHOL, generating TG-rich or SE-rich LDs. (B) Yeast expressing Erg6-DsRed2 and stained for LDs with MDH, then imaged either in log-phase growth (top) or following 4 h AGR. (C) HeLa cells were transfected for 24 h with Erg6-eGFP and then incubated with 400 µM of OA or 250 µM of methyl-β-cyclodextrin conjugated CHOL for 24 h. Scale bars indicated. LDs stained with LipidTox or MDH. (D) HeLa cells transfected for 24 h with Erg6-DsRed2 and then incubated with 400 µM of OA or 250 µM of methyl-β-cyclodextrin conjugated CHOL for 24 h. (E) Analysis of the quantified LD-to-ER targeting ratios of Erg6-eGFP or Erg6-DsRed2 after induction of TG or SE-rich LDs. Mean ± SEM n = 340–989 LDs from 19 to 28 cells. Triplicate experiments were conducted. (F) HeLa cells were transfected for 24 h with Pln1-eGFP and then incubated with 400 µM of OA or 250 µM of methyl-β-cyclodextrin conjugated CHOL for 24 h. Scale bars indicated. LDs stained with LipidTox. (G) Analysis of the quantified LD/cytosol targeting ratios of Pln1-eGFP after induction of TG or SE-rich LDs. Mean ± SEM, n = 19–21 cells. n = 893 for TG-rich LDs, 268 for SE-rich LDs from (respectively) 14 and 12 cells. Triplicate experiments were conducted. ****, P < 0.00001. All scale bars are indicated.
Erg6 and Pln1 exhibit LD targeting preferences in human HeLa cells independent of AGR stress . (A) Cartoon of HeLa cell lipid treatments with BSA-conjugated OA or methyl-β-cyclodextrin-conjugated CHOL, generating TG-rich or SE-rich LDs. (B) Yeast expressing Erg6-DsRed2 and stained for LDs with MDH, then imaged either in log-phase growth (top) or following 4 h AGR. (C) HeLa cells were transfected for 24 h with Erg6-eGFP and then incubated with 400 µM of OA or 250 µM of methyl-β-cyclodextrin conjugated CHOL for 24 h. Scale bars indicated. LDs stained with LipidTox or MDH. (D) HeLa cells transfected for 24 h with Erg6-DsRed2 and then incubated with 400 µM of OA or 250 µM of methyl-β-cyclodextrin conjugated CHOL for 24 h. (E) Analysis of the quantified LD-to-ER targeting ratios of Erg6-eGFP or Erg6-DsRed2 after induction of TG or SE-rich LDs. Mean ± SEM n = 340–989 LDs from 19 to 28 cells. Triplicate experiments were conducted. (F) HeLa cells were transfected for 24 h with Pln1-eGFP and then incubated with 400 µM of OA or 250 µM of methyl-β-cyclodextrin conjugated CHOL for 24 h. Scale bars indicated. LDs stained with LipidTox. (G) Analysis of the quantified LD/cytosol targeting ratios of Pln1-eGFP after induction of TG or SE-rich LDs. Mean ± SEM, n = 19–21 cells. n = 893 for TG-rich LDs, 268 for SE-rich LDs from (respectively) 14 and 12 cells. Triplicate experiments were conducted. ****, P < 0.00001. All scale bars are indicated.
Erg6 expression in HeLa cells does not significantly vary between experiments. (A) HeLa cells transfected for 24 h with Erg6-eGFP and ER marker RFP-KDEL and then either untreated or incubated with 400 µM of OA or 250 µM of methyl-β-cyclodextrin conjugated CHOL for 24 h. Scale bars indicated. LDs stained with LipidTox. (B) HeLa cells transfected for 24 h with Erg6-DsRed2 and ER marker (ERox-BFP) and then either untreated or incubated with 400 µM of OA or 250 µM of methyl-β-cyclodextrin conjugated CHOL for 24 h. Scale bars indicated. LDs stained with LipidTox. (C) Quantification of Erg6 total fluorescence signal (a.u.) in cells from A or B. Cells used for total cell fluorescence quantification: n = 20 for Erg6-eGFP + OA, 21 for Erg6-eGFP + Chol, 19 for Erg6-DsRed2 + OA, 22 for Erg6-DsRed2 + Chol. All scale bars indicated.
Erg6 expression in HeLa cells does not significantly vary between experiments. (A) HeLa cells transfected for 24 h with Erg6-eGFP and ER marker RFP-KDEL and then either untreated or incubated with 400 µM of OA or 250 µM of methyl-β-cyclodextrin conjugated CHOL for 24 h. Scale bars indicated. LDs stained with LipidTox. (B) HeLa cells transfected for 24 h with Erg6-DsRed2 and ER marker (ERox-BFP) and then either untreated or incubated with 400 µM of OA or 250 µM of methyl-β-cyclodextrin conjugated CHOL for 24 h. Scale bars indicated. LDs stained with LipidTox. (C) Quantification of Erg6 total fluorescence signal (a.u.) in cells from A or B. Cells used for total cell fluorescence quantification: n = 20 for Erg6-eGFP + OA, 21 for Erg6-eGFP + Chol, 19 for Erg6-DsRed2 + OA, 22 for Erg6-DsRed2 + Chol. All scale bars indicated.
Previous studies dissecting LD protein targeting indicate that protein homo-oligomerization promotes a stable protein association with the LD surface, and this multimerization is thought to give perilipin proteins long-term associations with LDs (Giménez-Andrés et al., 2021). To test if protein homo-oligomerization could enhance Erg6 targeting to LDs, we tagged Erg6 with DsRed2, a well-established tetrameric fluorescent tag that we previously characterized as enabling protein oligomerization in vivo (Rogers et al., 2021). Indeed, when expressed in yeast, Erg6-DsRed2 now decorated LDs in both log-phase as well as 4-h AGR-treated conditions and no longer marked the ER, suggesting that the Erg6-DsRed2 tag promoted its retention on LDs even during AGR (Fig. 4 B). Next, we expressed Erg6-DsRed2 in HeLa cells treated with either OA or CHOL. Erg6-DsRed2 exhibited similar expression levels in both cell lines and targeted both TG-rich and SE-rich LDs, and its calculated LD-to-ER ratios were elevated compared to Erg6-eGFP, as well as now equivalent between the TG-rich and SE-rich conditions (Fig. 4, D and E; and Fig. S4, B and C). These observations support a model where Erg6 LD targeting is influenced by the neutral lipid content within LDs, but LD targeting may be enhanced by protein multimerization.
Next, we expressed eGFP-tagged Pln1 in human HeLa cells treated with either OA or CHOL. Notably, Pln1-eGFP clearly targeted the surfaces of LDs in both conditions, indicating it can associate with both TG-rich as well as SE-rich LDs exhibiting birefringent LCL SEs. However, a dim Pln1-eGFP cytosolic signal was detectable in SE-rich samples. In line with this, quantification of the LD-to-cytosol Pln1-eGFP LD targeting ratios revealed significantly more targeting to TG-rich LDs compared to the SE-rich LDs (Fig. 4, F and G). This is consistent with previous reports that Pln1 (Pet10) displays a preference for TG-rich LDs in yeast (Gao et al., 2017). Collectively, this indicates that both Erg6 and Pln1 are capable of targeting TG-rich as well as SE-rich LDs manifesting birefringent LCLs. However, both proteins exhibit reduced targeting to SE-rich LDs, suggesting the neutral lipid content within the LD core influences their degree of LD targeting. It supports a model where the changes in LD targeting observed in yeast are due primarily to alterations in LD neutral lipids, rather than other indirect metabolic changes associated with AGR stress. Although Pln1 displayed retention in LDs during yeast AGR, we speculate that other factors such as protein–protein interactions on the yeast LD surface may further influence this LD localization.
Proteomics and imaging reveal that AGR selectively remodels the LD proteome
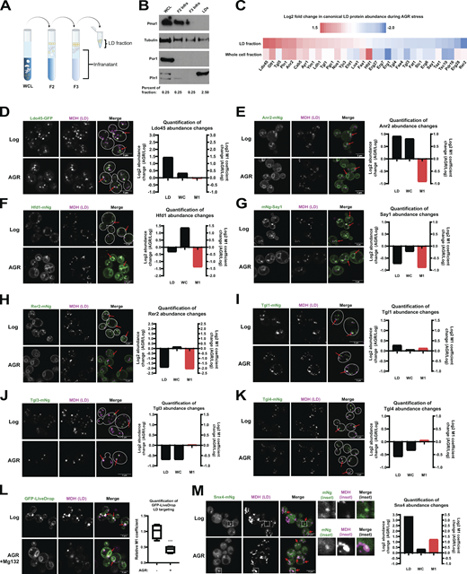
Given the different localization patterns of Erg6 and Pln1 to TG-rich and SE-rich yeast LDs, we next sought to comprehensively map changes to the yeast LD proteome upon AGR-induced LCL-LD formation. We used density gradient centrifugation to isolate LDs from yeast grown either in log-phase or AGR stress (Fig. 5 A). To evaluate the quality of our LD isolation protocol, we performed Western blotting of whole-cell lysates and the subsequently isolated LD fractions. We observed a clear de-enrichment of mitochondrial protein Por1 and the plasma membrane protein Pma1 in the LD fractions and enrichment of Pln1 in the LD fraction, suggesting this fraction was relatively pure (Fig. 5 B).
Proteomics and fluorescence imaging indicates selective remodeling of LD proteome during AGR. (A) Cartoon schematic of step-wise LD isolation. (B) Western blot of whole cell lysate (WCL), and fractions of LD isolation protocol as in A. Pma1, plasma membrane marker; Por1, mitochondria marker; Pln1, LD marker; Tubulin, cytoplasmic marker. (C) Heatmap of log2-fold abundance changes of annotated LD proteins from LC-MS/MS proteomics on either isolated LD samples (top) or whole-cell lysates (bottom). Heat map shows the relative log2 change of 4 h AGR over log-phase samples. (D–K) Yeast with GFP or mNg-tagged LD proteins with MDH LD stain in log-phase and 4 h AGR. Each protein has quantification of log2 fold abundance changes from LD fraction (LD) and whole-cell (WC) proteomics as in C, as well as the relative M1 Manders coefficient from imaging. (L) Yeast expressing GFP-Livedrop and imaged in either log-phase or 4-h AGR conditions, with corresponding M1 Manders coefficient quantified. (M) Snx4-mNg yeast with LD MDH stain in log and 4-h AGR yeast. Insets are of LDs and Snx4-mNg signal. Calculated log2 fold abundance changes for LD, WC, and M1. ***, P < 0.001. All scale bars, 5 μm. Source data are available for this figure: SourceData F5.
Proteomics and fluorescence imaging indicates selective remodeling of LD proteome during AGR. (A) Cartoon schematic of step-wise LD isolation. (B) Western blot of whole cell lysate (WCL), and fractions of LD isolation protocol as in A. Pma1, plasma membrane marker; Por1, mitochondria marker; Pln1, LD marker; Tubulin, cytoplasmic marker. (C) Heatmap of log2-fold abundance changes of annotated LD proteins from LC-MS/MS proteomics on either isolated LD samples (top) or whole-cell lysates (bottom). Heat map shows the relative log2 change of 4 h AGR over log-phase samples. (D–K) Yeast with GFP or mNg-tagged LD proteins with MDH LD stain in log-phase and 4 h AGR. Each protein has quantification of log2 fold abundance changes from LD fraction (LD) and whole-cell (WC) proteomics as in C, as well as the relative M1 Manders coefficient from imaging. (L) Yeast expressing GFP-Livedrop and imaged in either log-phase or 4-h AGR conditions, with corresponding M1 Manders coefficient quantified. (M) Snx4-mNg yeast with LD MDH stain in log and 4-h AGR yeast. Insets are of LDs and Snx4-mNg signal. Calculated log2 fold abundance changes for LD, WC, and M1. ***, P < 0.001. All scale bars, 5 μm. Source data are available for this figure: SourceData F5.
To establish a high-confidence LD proteome, we performed liquid chromatography with tandem mass spectrometry (LC-MS/MS) proteomics on both the floating LD fraction and the lower infranatant fraction of log-phase and 4-h AGR samples. Proteins were only considered LD-associated if they were: (1) more abundant in the LD fraction than the respective infranatant and (2) detected in at least three of the four replicates for each growth condition. Of the 3,188 proteins identified by LC-MS/MS, 167 proteins fit our criteria to be considered LD-associated. Within this dataset, we identified 32 of the 35 “canonical” LD-associated proteins annotated in previous studies (Currie et al., 2014). Initially restricting our analysis to only these canonical LD proteins, we found an agreement between our yeast fluorescent imaging and proteomics. For example, Erg6 abundance was decreased in the proteomics of LD fractions taken from AGR yeast compared to log-phase, while Pln1 abundance increased in the proteomics of AGR yeast (Fig. 5 C, top heat map row). Remarkably, of the 32 LD proteins analyzed, some exhibited increased abundance in LD fractions from AGR yeast, while others had decreased abundance, suggesting significant proteome differences between the two samples. However, we considered that proteomics-based changes in protein abundance may not solely be attributed to changes in LD association, but could also reflect changes in whole-cell protein abundance. To distinguish between these possibilities, we also plotted the corresponding change in whole-cell abundance for each LD-associated protein during AGR (Fig. 5 C, bottom heat map row), as well as compared both the LD and whole-cell abundances directly on a two-axis plot (Fig. S5 A). Indeed, this revealed that many canonical LD proteins also changed in their whole-cell abundances during AGR treatment.
Selective relocalization of LD proteins during AGR stress (corresponds to Fig. 5 ). (A) Plot of protein abundances in whole-cell LC-MS/MS proteomics (vertical y-axis) vs. their change in LD confidence score (horizontal x-axis). See Materials and methods for description of these values. Data are average of four independent expts. Blue indicates annotated LD proteins, and red indicates non-LD annotated proteins. (B) Tgl5-mNg yeast costained for LDs with MDH. Scale bars, 5 μm.
Selective relocalization of LD proteins during AGR stress (corresponds to Fig. 5 ). (A) Plot of protein abundances in whole-cell LC-MS/MS proteomics (vertical y-axis) vs. their change in LD confidence score (horizontal x-axis). See Materials and methods for description of these values. Data are average of four independent expts. Blue indicates annotated LD proteins, and red indicates non-LD annotated proteins. (B) Tgl5-mNg yeast costained for LDs with MDH. Scale bars, 5 μm.
To resolve this issue and better understand how protein localization to LDs was altered during yeast AGR, we fluorescently tagged several canonical LD proteins and directly assessed their localizations using microscopy. Consistent with our proteomics data, Ldo45-GFP was localized to LDs during both log-phase and AGR stress conditions (Fig. 5 D). Also consistent with their proteomics profile, Hfd1-mNg, mNg-Say1, and Rer2-mNg targeted to LDs in log-phase yeast, but showed reduced (Hfd1, Say1) or even undetectable (Rer2) LD localization in AGR by imaging. Notably, these three proteins also exhibited elevated ER localization during AGR (Fig. 5, F–H). In this regard, Hfd1, Say1, and Rer2 behaved very similarly to Erg6-mNg localization and exhibited similar decreases in Manders M1 coefficients in AGR stress that coincided with decreased abundances on isolated LDs by proteomics. However, imaging revealed some inconsistencies between LD proteomics and fluorescence microscopy. For example, imaging indicated that Anr2-mNg was delocalized from LDs to the ER network during AGR, despite LD proteomics suggesting its enhanced LD association in AGR stress (Fig. 5 E). This may be because Anr2 was also significantly more abundant in the whole-cell proteomics of AGR-treated yeast compared to log-phase, suggesting its LD abundance change may be due to its overall increase in cellular abundance.
As TG lipases were required for LCL-LD formation in AGR (Fig. 1, G and M), we also monitored their subcellular localization by fluorescence microscopy. As expected, the TG lipases Tgl3-mNg, Tgl4-mNg, and Tgl5-mNg, as well as Tgl1-mNg (a SE lipase) all decorated LDs in log-phase yeast (Fig. 5, I–K and Fig. S5 B). Remarkably, all four Tgl proteins retained LD localization following 4 h AGR. This was generally in agreement with their LD proteomics profile, which suggested Tgl5 and Tgl1 had slightly elevated LD abundance during AGR stress (Fig. 5 C). While the LD proteomics suggested that Tgl3 and Tgl4 had decreased LD abundance in AGR, this may be due to their significant decreases in whole-cell abundances during AGR treatment (Fig. 5 C). It should be noted that the visual presence of TG lipases on LDs during AGR is consistent with a model where these lipases would be capable of the TG lipolysis necessary to alter the TG:SE neutral lipid ratios of LDs during the AGR time course (Fig. 3 B), and thus promote TG:SE lipid demixing and lipid phase transitions.
Altogether, these data suggest that AGR stress and its associated LCL-LD formation promote the spatial redistributions of many canonical LD-associated proteins, several of which de-enrich from LDs and retarget or accumulate at the ER network during AGR stress. However, a subset of proteins, like perilipin Pln1 and Tgl lipases, remain detectably LD-associated in yeast AGR.
LiveDrop redistributes from LDs to ER network during AGR
The observation that several LD resident proteins redistributed in AGR treatment from LDs to the ER network was reminiscent of so-called Type I (or ERTOLD) LD proteins, which move between the ER and LDs via lipidic bridges connecting the organelles (Wang et al., 2016). To interrogate whether Type I LD proteins could be retargeted from LDs to the ER during LCL-LD formation, we monitored GFP-tagged LiveDrop, a model Type I minimal peptide from the LD protein Dm_GPAT4. As expected, GFP-LiveDrop localized predominantly to LDs in log-phase yeast, but a dim ER network signal was also detected, consistent with its dual organelle targeting (Fig. 5 L). However, following 4 h of AGR treatment, GFP-LiveDrop was more prominent at the ER network, and LD association was significantly reduced when calculated with the M1 Manders coefficient (Fig. 5 L). This suggests that AGR-induced LCL-LD formation may promote the redistribution of Type I LD proteins from LDs to the ER network.
Snx4 associates with LDs during AGR stress
Thus far, we have examined how AGR affects the localizations of canonical LD proteins. We also wanted to investigate whether proteins not typically associated with LDs may exhibit enhanced LD association during AGR stress. To this end, we queried whether such “non-LD” proteins were significantly elevated in the isolated LD proteomics of AGR-treated yeast. Indeed, the protein showing the greatest enrichment in these LD fractions was Snx4, a membrane binding sorting nexin typically associated with vesicle trafficking that can localize to endosomes and also autophagosomes (Nice et al., 2002; Hettema et al., 2003; Fig. S5 A, right side of graph; Table S1). Notably, the Snx4 proteomics profile indicated it was significantly more abundant in isolated LD fractions from AGR yeast versus log-phase (horizontal plot), while its whole-cell abundance change between these conditions was mild (vertical plot), suggesting the enhanced LD proteomics abundance may be primarily due to bone vide increased LD targeting (Fig. S5 A and Fig. 5 M graph). We mNg-tagged Snx4 and evaluated its localization in log-phase and 4-h AGR-treated yeast. As expected, in log phase, Snx4-mNg localized predominantly to the cytoplasm and punctate structures that did not overlap with LDs, which is consistent with its annotated localization to endomembrane compartments (Fig. 5 M). In contrast, at 4-h AGR, several Snx4-mNg foci colocalized with LDs, and the quantified Snx4-mNg Manders M1 coefficient exhibited an increase compared to log-phase, coinciding with its increased abundance in LD fractions by proteomics. Collectively, this suggests that during AGR, proteins not typically associated with LDs, like Snx4, may display some LD targeting, possibly as a consequence of changes in the surface properties of the LD monolayer.
Whole-cell proteomics suggests AGR promotes peroxisome fatty acid oxidation (FAO)
Glucose restriction is a well-studied nutrient stress in yeast that drives metabolic remodeling, favoring the reorganization of organelles and utilization of alternative carbon sources when glucose is limited (Seo et al., 2017; Marini et al., 2020; Eisenberg and Büttner, 2014). However, how glucose limitation alters lipid metabolism is underexplored. As we conducted whole-cell LC-MS/MS proteomics of log-phase and 4-h AGR yeast, we examined these datasets to determine whether changes in whole-cell protein abundances revealed patterns of metabolic remodeling that involved LDs and their lipids. We found that 4-h AGR stress-induced changes in the abundances of many proteins involved in fatty acid metabolism. In particular, peroxisome enzymes involved in FAO, including Pot1, Fox2, and Cta1, were among the most increased in abundance during AGR stress compared to log-phase growth (Fig. 6 A, right side of plot). Also elevated were the peroxisome-associated fatty acyl-CoA ligase Faa2 (which can promote import of fatty acids into peroxisomes), the acetyl-CoA transporter Crc1 (which transports acetyl-CoA derived from peroxisomal FAO to mitochondria), as well as Yat1, a carnitine acetyl-transferase that works with Crc1 to promote mitochondrial acetyl-CoA utilization. Enzymes related to the glyoxylate cycle, including Icl1 and Idp2, the malate synthase Mls1, and acetyl-CoA synthase Acs1 were also among the most elevated proteins in AGR-treated yeast, suggesting pathways to generate and use acetyl-CoA pools were elevated in glucose restriction (Fig. 6, A and B). In contrast, amino acid transporters like Mup1 and Lyp1 were significantly decreased in abundance (Fig. 6 A, left side of plot), consistent with their turnover during glucose starvation that promotes adaptive metabolic remodeling (Lang et al., 2014) (Wood et al., 2020).
Glucose restriction promotes metabolic remodeling favoring peroxisome FAO. (A) Volcano plot showing log10 P value and log2 abundance changes in whole-cell abundance of proteins in 4-h AGR treatment versus 2% glucose log-phase growth. Proteins on right are increased in whole-cell abundance with 4 h AGR, and those on the left decreased in abundance. Data are average of four independent experiments. (B) Schematic of inter-organelle interactions from proteomics depicted in A. (C) Cartoon of working model for AGR-induced LCL-LD formation, and protein retargeting of various LD proteins.
Glucose restriction promotes metabolic remodeling favoring peroxisome FAO. (A) Volcano plot showing log10 P value and log2 abundance changes in whole-cell abundance of proteins in 4-h AGR treatment versus 2% glucose log-phase growth. Proteins on right are increased in whole-cell abundance with 4 h AGR, and those on the left decreased in abundance. Data are average of four independent experiments. (B) Schematic of inter-organelle interactions from proteomics depicted in A. (C) Cartoon of working model for AGR-induced LCL-LD formation, and protein retargeting of various LD proteins.
Collectively, this indicates that glucose restriction promotes the mobilization of TGs from LDs, providing fatty acids and ultimately acetyl-CoA as fuel for cellular energetics. Indeed, acetyl-CoA generated by peroxisome FAO can be delivered to mitochondria to fuel its energetics in the absence of glucose, suggesting inter-organelle remodeling during AGR that enables LD-derived lipids to fuel alternative carbon metabolism. In this model, an additional consequence of TG mobilization is a shift in the TG:SE neutral lipid ratios within LDs, ultimately giving rise to neutral lipid demixing and SE phase transitions into smectic liquid crystalline phase lipids within LDs (Fig. 6 C).
Limitations of study
This study indicates that in budding yeast, acute glucose restriction can promote triglyceride lipolysis that in turn drives alterations in the TG:SE ratios of LDs, giving rise to phase transitions within their neutral lipid cores. These conditions favor the transition of SEs from an isotropic phase to a smectic liquid crystalline phase, which can be observed by cryo-ET. The study also suggests these alterations in TG:SE ratio tightly correlate to changes in the LD surface proteome, although specific mechanisms governing how LD protein targeting are influenced by these changes require further study. Future studies will address how lipid demixing and phase transitions within LDs affect LD protein targeting. Future studies and MD simulations will also dissect how changes in the TG:SE ratio promote lipid demixing and SE phase transition into a smectic liquid crystalline phase.
Discussion
Emerging evidence suggests that the phase transition properties of cellular biomolecules, such as proteins in membrane-less organelles, directly influence organelle function and cell physiology. Like proteins, lipids can also undergo phase transitions. SEs can form LCLs that are observed in human diseases, like atherosclerosis, or in organelles like LDs. The metabolic cues that drive these phenomena and their impact on organelle and cell physiology are unclear. Here, we show that in yeast, glucose restriction promotes the formation of liquid crystalline lattices within LDs. These lattices require TG lipolysis, and our experimental and modeling data support a model where TG is mobilized to support cellular energetics while simultaneously altering the TG:SE ratios within the LD hydrophobic core, promoting the spontaneous demixing of LD neutral lipids and the subsequent accumulation of SEs at the LD periphery beneath the surface monolayer. This lipid demixing would promote the transition of SEs from an amorphous to a smectic liquid crystalline phase. Modeling also indicates that SE accumulation at the LD periphery alters the monolayer surface, creating shallow LPDs that could influence LD protein targeting. In line with this, we experimentally observe numerous changes to the LD proteome during AGR, suggesting changes to the LD core influence protein targeting the LD surface and protein spatial distribution between LDs and the ER network. Although we do not directly observe LCL phase transitions within the MD simulations presented here, the simulations indicate spontaneous demixing of TG and SE as TG pools are reduced, and likely represent stages immediately preceding phase transition where SEs are enriched at the LD periphery. Further TG de-enrichment from the periphery would likely further drive LCL formation.
How proteins target LDs is still poorly understood and can involve trafficking from the ER network or cytoplasm to the LD surface. In this study, we revealed that the LD proteome dramatically differs between AGR treatment and log-phase growth. Erg6, a yeast canonical LD protein, relocalizes to or is retained at the ER network during AGR, suggesting it moves from LDs to the ER via lipidic bridges. This LD delocalization is suppressed in conditions that attenuated LCL-LD formation (i.e., OA treatment or loss of TG lipolysis). It can also be quickly reversed when cells are briefly heated to 40°C (i.e., above the predicted melting temperature of smectic-phase SEs), suggesting direct movement of proteins between LDs and ER via ER–LD connections. We also observe similar Erg6 LD-to-ER retargeting in human HeLa cells containing SE-rich birefringent LDs, supporting the model where Erg6 relocalization is due to changes in LD lipid content, rather than other changes in cellular metabolism associated with yeast AGR stress. Additionally, Type I LD peptide GFP-LiveDrop, which under log-phase conditions targets primarily LDs, appears more ER-localized during AGR. Collectively, this suggests that Type I LD proteins may favor ER localization versus the surfaces of LCL-LDs. This also indicates that many yeast LDs maintain connections to the ER network and thus exhibit the lipidic bridges necessary for this interorganelle trafficking, consistent with earlier work (Jacquier et al., 2011). We also observe that some proteins display more LD retention during AGR stress. This may be attributed to protein–protein interactions or oligomeric properties of those proteins on the LD surface. In support of this, we find that artificially multimerizing Erg6 with a DsRed2 tag promotes its retention at LDs during AGR, implying that protein oligomerization enhances LD residency, as it has previously been observed for some perilipins (Kory et al., 2015; Giménez-Andrés et al., 2021).
Although Erg6 delocalized from LDs during AGR, TG lipases Tgl3,4,5 remained LD bound. Although their LD anchoring mechanisms are not fully understood, this implies that LDs can mobilize TG during the AGR time course, gradually altering the TG:SE ratio in a manner that supports SE phase transitions. In support of this, in silico modeling of LDs indicates that some TG remains accessible near the LD surface even as SEs accumulate there. Fatty acids derived from these TG pools are likely substrates for peroxisome FAO, of which several key enzymes are elevated during AGR stress. The acetyl-CoA produced from FAO could also fuel mitochondrial energetic pathways, several proteins of which are also elevated. LCL-LDs also exhibited delocalization of enzymes like Hfd1, Rer2, and Say1. It is possible the redistribution of these and other enzymes may influence their activities and therefore promote metabolic remodeling during glucose restriction. Indeed, several Erg pathway enzymes also appeared de-enriched from LDs during AGR by proteomics, and Erg1 is more enzymatically active at the ER than on LDs (Leber et al., 1998).
Our proteomic and imaging analysis also revealed that LDs may become associated with non-LD proteins during AGR stress. This included the membrane trafficking protein Snx4, which colocalized with some LDs during AGR stress. As sorting nexin proteins can contain membrane binding/inserting modules, it is possible that Snx4 associates with LDs during AGR by inserting into its monolayer surface, but this requires further study. Since the LD surface is normally densely coated with proteins, it is also possible Snx4 and other proteins may associate with the LD surface as it is partially uncoated of canonical LD proteins during AGR stress. Notably, we also detected an enrichment of Rab proteins Ypt1, Ypt32, and Ypt32 in isolated LD proteomics from AGR-treated yeast (Fig. S5 A). In line with this, other studies reveal Rab proteins on LDs in specific conditions (Bersuker et al., 2018). It is tempting to speculate that the lipid moiety present on many Rab proteins may be attracted to the monolayer surface of LCL-LDs during AGR stress.
This study is a significant step toward understanding how metabolic cues influence the lipid phase transition properties of organelles, and ultimately organelle lipid and proteome composition and function. Future studies will interrogate whether such changes in the LD proteome influence metabolic remodeling that ultimately enable yeast to adapt to glucose shortage.
Materials and methods
Method details
Yeast growth conditions
The WT parental strain used for all experiments and cloning in this study was W303 (leu2-3, 112 trp1-1 can1-100 ura3-1 ade2-1 his3-11,14). Synthetic-complete (SC) growth media was used for culturing yeast cells in all experiments, except for experiments where uracil was excluded to accommodate the retention of pBP73-G plasmids. For all experiments, a streak of yeast was inoculated from a YPD (yeast extract peptone dextrose) plate into SCD (SC dextrose/glucose) media and allowed to grow overnight in a 30°C incubator with shaking at 210 rpm. Overnight cultures were diluted to an OD600 = 0.2 in SCD media containing 2% glucose (wt/vol). Log-phase yeast were collected at OD600 = 0.5. For AGR treatment, OD600 = 0.5 yeast were pelleted by centrifugation, briefly washed with SC media containing no glucose, and resuspended in SCD media containing specifically dextrose/glucose at a final concentration of 0.001% (wt/vol). AGR-treated cells were grown at 30°C with 210 rpm shaking for the indicated times. Where indicated, cells were also treated with 0.1% OA (Sigma-Aldrich), 50 μM Mg132 (M8699; Sigma-Aldrich; proteasome inhibitor), or 20 μg/ml Lovastatin (M2147; Sigma-Aldrich; HMG-CoA Reductase inhibitor).
Strain generation and plasmid construction
The established lithium acetate method was used for the generation of all yeast knockouts and knockins. Briefly, yeast were diluted from an overnight culture to an OD600 = 0.2 in YPD media until they reached OD600 = 0.6. For each transformation, ∼7.5 OD units of cells were pelleted, washed with 0.1 M lithium acetate, pelleted again, and resuspended in 700 μl of transformation solution (40% polyethylene glycol in 0.1 M lithium acetate, 0.25 μg/μl single-stranded carrier DNA [D9156; Sigma-Aldrich]) supplemented with 50 μl of PCR product. Transformations were kept at RT for 1 h in the transformation solution. Immediately prior to heat shock, DMSO was added to a final concentration of 10% (vol/vol). Cells were heat-shocked at 42°C for 15 min, followed by 1-min incubation on ice and subsequent plating onto YPD solid media. Cells were recovered overnight on YPD plates in a 30°C incubator and replica plated onto either YPD or SC selective solid media the following day. Plasmids were generated for this study using Gibson Assembly following the manufacturer’s protocol (E2611; NEB). All pBP73-G vectors were cut with XbaI and XhoI.
Cryo-sample preparation and cryo-FIB milling
4 μl of the cultured yeast cells were added to a glow-discharged (30 s at −30 mA) copper R2/2 holey carbon grid (Quantifoil Micro Tools GmbH). Then the grid was rapidly plunge-frozen in liquid ethane using a homemade plunge freezer device and stored in liquid nitrogen until used. Cryo-FIB milling was performed as previously described (Hariri et al., 2019). Briefly, grids were mounted in notched cryo-FIB Autogrids (Thermo Fisher Scientific), then loaded into a shuttle under cryogenic conditions, and transferred into an Aquilos dual-beam instrument equipped with a cryo-stage (FIB/SEM; Thermo Fisher Scientific). The sample surface was sputter-coated with platinum for 20 s at 30 mA current and then coated with a layer of organometallic platinum using the gas injection system for 6 s at a distance of 1 mm before milling. The stage was then tilted to 10–18° (so that the bulk-mill-holes lined up in front and behind the cell) and the cell was milled with 30 kV gallium ion beams of 100 pA current for rough milling and 10 pA for polishing until the final lamella was 100–200 nm thick.
Cryo-ET and image processing
Lamellae were imaged using a Titan Krios transmission electron microscope (FEI/Thermo Fisher Scientific) operated at 300 kV. Images were captured using either a 4k × 4k K2 direct electron detection camera (Gatan) at a magnification of 26,000× (5.5 Å pixel size) or a 5k × 6k K3 direct electron detection camera (Gatan) at a magnification of 15,000× (5.7 Å pixel size), which were located behind a Bioquantum postcolumn energy filter (Gatan) that was operated in zero-loss mode (20-eV slit width). The defocus was set to −0.5 μm using a Volta phase plate (Danev et al., 2014). Data acquisition was performed using the microscope control software SerialEM (Mastronarde, 2005) in low-dose mode. We initially recorded a montaged overview of each cryo-FIB lamella to select cellular areas of interest. Then tilt series were collected over a range of ±56° with 2° increments using a dose-symmetric tilting scheme (Hagen et al., 2017), with the total electron dose per tilt series limited to ∼100 e/Å2. Counting modes of the K2 and K3 cameras were used, and for each tilt image, 15 frames (0.4-s exposure time per frame for K2 and 0.04-s exposure time per frame for K3) were recorded. The frames of each tilt series image were motion-corrected using MorionCor2 (Zheng et al., 2017) and then merged using the script extracted from the IMOD software package (Kremer et al., 1996) to generate the final tilt serial data set. Tilt series images were aligned fiducial-less using patch tracking (800 × 800-pixel size), and the tomogram was reconstructed by the back-projection method using the IMOD software package (36). For better visualization, the cryo-tomograms were denoised using nonlinear anisotropic diffusion in the IMOD package. In total, the following number of cryo-FIB lamellae per strain/condition were examined: 20 (WT + log), 17 (WT + AGR), 6 (WT + AGR + OA), 10 (tgl3,4,5Δ + AGR), 7 (WT + log + OA), 11 (nvj1Δ + AGR), and 15 (are1are2Δ + AGR).
Fluorescence microscopy
For confocal microscopy, cells were grown as described above and collected by centrifugation at 4,000 g for 2 min. Where indicated, cells were incubated for 5 min with MDH (SM1000a; abcepta) at a final concentration of 0.1 mM to visualize LDs. Prior to imaging, cells were washed with 1 ml of SC media and resuspended in glucose-free SC media at approximately one one-hundredth of the original volume. All images were taken as single slices at approximately mid-plane using a Zeiss LSM880 inverted laser scanning confocal microscope equipped with Zen software. Images were taken with a 63× oil objective NA = 1.4 or 40× oil objective NA = 1.4 at RT, unless noted otherwise. For single field-of-view imaging, a live-cell incubation chamber was heated to 40°C prior to imaging. RT glass slides were loaded with cell suspension and placed into the incubation chamber followed by immediate imaging. For epifluorescence microscopy, cells were grown, stained, and collected as described above. Imaging was performed on an EVOS FL Cell Imaging System at RT.
Lipid extraction and TLC
For lipid extraction, ∼50 OD units of cells were collected for each sample, and the pellet wet weight was normalized and noted prior to extraction. Lipid extraction was performed using a modified Folch method (Folch et al., 1957). Briefly, cell pellets were resuspended in Milli-Q water with 0.5-mm glass beads and lysed by three 1-min cycles on a bead beater. Chloroform and methanol were added to the lysate to achieve a 2:1:1 chloroform:methanol:water ratio. Samples were vortexed, centrifuged to separate the organic solvent and aqueous phases, and the organic solvent phase was collected. Extraction was repeated a total of three times. Prior to TLC, lipid samples were dried under a stream of argon gas and resuspended in 1:1 chloroform:methanol to a final concentration corresponding to 4 μl of solvent per 1 mg cell pellet wet weight. Isolated lipids were spotted onto heated glass-backed silica gel 60 plates (1057210001; Millipore Sigma), and neutral lipids were separated in a mobile phase of 80:20:1 hexane:diethyl ether:glacial acetic acid. TLC bands were visualized by spraying dried plates with cupric acetate in 8% phosphoric acid and baking at 140°C for an hour.
LD isolation by density centrifugation
The procedure for LD isolation was adapted from previously published methods (Au-Mannik et al., 2014). Specifically, ∼600 OD units of cells were grown to appropriate growth phase in SCD media. Cells were collected by centrifugation at 4,100 g for 10 min at RT and resuspended in reducing buffer (10 mM Tris-HCl, pH 9.4, 10 mM DTT) to a final concentration of 100 OD/ml. After a 5-min incubation at RT, cells were pelleted again by centrifugation at 4,100 g for 5 min. Reducing buffer was removed and replaced with equal volume spheroplasting buffer (10 mM Tris-HCl, pH 7.4, 700 mM sorbitol, 7.5 g/l yeast extract, 15 g/l peptone, and 1 mM DTT). Spheroplasting was initiated by addition of zymolyase 20T (120491-1; AMSBIO) to a final concentration of 1 mg/100 OD cell units. For log-phase cells, spheroplasting buffer was supplemented with glucose to a final concentration of 0.5% (wt/vol), while AGR-treated cells were spheroplasted in the absence of glucose. Cells were incubated in spheroplasting buffer for 40 min in a 30°C incubator shaking at 130 rpm. Once spheroplasting was complete, cells were pelleted by centrifugation at 4,100 g for 5 min at 4°C. Spheroplasting buffer was thoroughly removed and cells were gently resuspended in cold lysis buffer using a cut pipette tip (10 mM Tris-HCl, pH 7.4, 12% ficoll, 200 μM EDTA, 1× protease/phosphatase inhibitor cocktail [78444; Thermo Fisher Scientific], 50 μM Mg132, 1 mM DTT) to a final concentration of 500 OD/ml. Spheroplasts were once again pelleted by centrifugation at 4,100 g for 5 min at 4°C and resuspended in cold lysis buffer to a final concentration of 1,000 OD/ml and stored at −80°C.
For cell lysis, spheroplasts were thawed on ice and diluted to a concentration of 500 OD/ml using cold lysis buffer. Spheroplasts were transferred to a chilled glass dounce homogenizer and lysed by 25 strokes of a loose-fitting pestle. The resulting lysate was loaded into a 11 × 60 mm ultracentrifuge tube (344062; Beckman), overlaid with an equivalent volume of lysis buffer, and centrifuged in a SW60Ti rotor at 100,000 g for 1.5 h at 4°C set to accel = max and decel = none. Float fractions were collected using a cut P200 pipette tip and loaded into a new 11 × 60 ultracentrifuge tube. The bottom fraction volume was adjusted to ∼1.5 ml using cold lysis buffer and was overlaid with overlay buffer #1 (10 mM Tris-HCl, pH 7.4, 8% ficoll, 200 μM EDTA, 1× protease/phosphatase inhibitor cocktail, 50 μM Mg132, and 1 mM DTT). Centrifugation was repeated for 1 h under the same settings listed above. The second float fraction was collected and transferred to a new 11 × 60 ultracentrifuge tube. The volume was adjusted to 1.5 ml with overlay buffer #1 and supplemented with sorbitol to a final concentration of 600 mM. Fractions were then overlaid with overlay buffer #2 (10 mM Tris-HCl, pH 7.4, 250 mM sorbitol, 200 μM EDTA, 1× protease/phosphatase inhibitor cocktail, 50 μM Mg132, and 1 mM DTT) and centrifugation step was repeated for 1 h. The final float fraction was collected, transferred to a 1.5-ml microcentrifuge tube, and concentrated by removing the bottom infranatants following repetitive centrifugations at 20,000 g in a 4°C microcentrifuge. LD fractions were concentrated to ∼200 μl and stored at −80°C along with corresponding infranatant fractions. Note the infranatant fraction is defined here as the non-LD float fraction containing other organelles.
Protein extractions
LD fraction de-lipidation and protein extraction
LD fractions were mixed with 1 ml of −20°C 100% acetone and stored at −80°C overnight to precipitate proteins. After overnight incubation, tubes were centrifuged at 20,000 g for 10 min at 4°C to pellet the proteins. The supernatant was removed and the protein pellet was subjected to three washes, each followed by the same centrifugation step listed above. The washes were performed with −20°C 100% acetone, 4°C 1:1 acetone:diethyl ether, and RT 100% diethyl ether. After the final wash, the supernatant was removed and the protein pellet was dried in an RT speed vac for 15 min to remove residual acetone. The resultant dried pellet was resuspended in 100 μl of resuspension buffer (2× NuPAGE LDS sample buffer [NP0008; Thermo Fisher Scientific], 10% beta-mercaptoethanol, and 8 M urea). Samples were heated to 37°C for 2 h accompanied by gentle mixing with a pipette prior to being subjected to SDS-PAGE.
Whole cell and infranatant protein extractions
Whole cell protein extracts were isolated from 50 OD units of cells. Frozen cell pellets stored at −80°C were incubated with 20% trichloroacetic acid for 30 min on ice with occasional mixing using a vortex. Precipitated proteins were pelleted in a 4°C centrifuge at 15,000 g for 5 min. After removing the supernatant, the pellet was washed three times with cold 100% acetone followed by brief sonication. After the washes, the protein pellets were dried in an RT speed vac for 15 min to remove residual acetone.
For infranatant fraction analysis, 2 ml of each infranatant was reserved after LD isolation and stored at −80°C. TCA was added to each infranatant fraction to a final concentration of 20%. From this point, proteins were extracted as indicated above for whole-cell lysates. Dried protein pellets from whole-cell lysates and infranatant fractions were resuspended in 200 μl of resuspension buffer and heated as indicated above for LD fractions.
Sample preparation and LC-MS/MS proteomics
Immediately after heating, protein samples were centrifuged at 20,000 g for 5 min to pellet and remove insoluble materials. Each supernatant was loaded onto a 10% mini-protean TGX gel (4561033; Bio-Rad). Samples were subjected to electrophoresis at 130 V constant until the dye front was ∼10 cm into the gel. The gel was subsequently removed from the casing and stained with Coomassie reagent (0.5 Coomassie G-250, 50% methanol, 10% acetic acid) for 1 h on an RT rocker. The gel was then subjected to destaining (40% methanol and 10% acetic acid) for 2 h. Once the gel was sufficiently destained, 10-cm gel bands were excised from each lane, taking care to exclude the stacking gel and dye front. Gel bands were further cut into 1-cm squares and placed into microcentrifuge tubes. Samples were digested overnight with trypsin (Pierce) following reduction and alkylation with DTT and iodoacetamide (Sigma-Aldrich). The samples then underwent solid-phase extraction cleanup with an Oasis HLB plate (Waters), and the resulting samples were injected onto an Orbitrap Fusion Lumos mass spectrometer coupled to an Ultimate 3000 RSLC-Nano liquid chromatography system. Samples were injected onto a 75 μm i.d., 75-cm long EasySpray column (Thermo Fisher Scientific) and eluted with a gradient from 0 to 28% buffer B over 90 min. The buffer contained 2% (vol/vol) acetonitrile and 0.1% formic acid in water, and buffer B contained 80% (vol/vol) acetonitrile, 10% (vol/vol) trifluoroethanol, and 0.1% formic acid in water. The mass spectrometer operated in positive ion mode with a source voltage of 1.5–2.0 kV and an ion transfer tube temperature of 275°C. MS scans were acquired at 120,000 resolution in the Orbitrap, and up to 10 MS/MS spectra were obtained in the ion trap for each full spectrum acquired using higher-energy collisional dissociation for ions with charges 2–7. Dynamic exclusion was set for 25 s after an ion was selected for fragmentation. Raw MS data files were analyzed using Proteome Discoverer v 2.4 (Thermo Fisher Scientific), with peptide identification performed using Sequest HT searching against the Saccharomyces cerevisiae protein database from UniProt. Fragment and precursor tolerances of 10 ppm and 0.6 dalton were specified, and three missed cleavages were allowed. Carbamidomethylation of Cys was set as a fixed modification, with oxidation of Met set as a variable modification. The false-discovery rate cutoff was 1% for all peptides.
Immunoblot analysis
For immunoblot analysis of fractions generated during LD isolation, percentage per total volume of each protein lysate fraction was collected as indicated in Fig. 3 B and precipitated in acetone overnight at −80°C. Washes, resuspensions, and heating were performed as outlined above. Proteins were separated on a homemade 4–15% SDS-PAGE gel and then transferred to a 0.45 μm nitrocellulose membrane in Towbin SDS transfer buffer (25 mM Tris, 192 mM glycine, 20% methanol, and 0.05% SDS; pH 8.2) using a Criterion tank blotter with plate electrodes (1704070; BioRad) set to 70 V constant. Immediately after transfer, membranes were stained with PonceauS and cut using a clean razor blade. Membranes were blocked with 5% milk dissolved in Tris-buffered saline +Tween (TBS-T) buffer, and primary antibodies were allowed to bind overnight at 4°C. Primary antibodies used for determining protein expression are as follows: Pma1 (ab4645; 1:1,000 dilution; Abcam), Tubulin (ab6160; 1:10,000 dilution; Abcam), Porin (CAT 459500; 1:1,000 dilution; Thermo Fisher Scientific), and Pet10/Plin1 (1:1,000; Joel Goodman’s lab), also used in Gao et al. (2017). Immunoblots were developed by binding HRP-conjugated anti-rabbit IgG (A0545; 1:10,000; Sigma-Aldrich), anti-rat IgG (ab97057; 1:10,000; Abcam), or anti-mouse IgG (ab6728; 1:2,000; Abcam) secondary antibodies to the membrane for 1 h in the presence of 5% milk followed by three washes in TBS-T and developing with ECL substrate (1705061; BioRad). The signal was captured by X-ray film.
MD simulations
We performed MD simulations with the SDK/SPICA force field (Shinoda et al., 2007, 2010; Bacle et al., 2017; Campomanes et al., 2019) and the software LAMMPS (Plimpton, 1995). In all simulations, a Nosé-Hoover thermostat (Nosé, 1984) was used to keep the average temperature at 310 K. Temperature control was applied separately for three groups: water molecules, PC lipids, and NLs (TGs and SEs). For pressure control, a Nosé-Hoover barostat (Martyna et al., 1994) was applied to NL to keep the average pressure at 1 atm, while water molecules and PC lipids were coupled to an NVT ensemble together with the “dilate all” command to dilate the size of the entire system due to barostat volume changes. The lateral xy dimensions were coupled, while the z dimension was allowed to fluctuate independently, except for calculation of interfacial tension where the box was kept fixed in the xy direction. Linear and angular momenta were removed every 100 timesteps. Van der Waals and electrostatic interaction were truncated at 1.5 nm. Long-range electrostatics beyond this cutoff were computed using the particle-particle-particle-mesh solver, with a root mean square force error of 10−5 kcal mol−1 Å−1 and order 3. A time step of 10 fs was used. Time traces of the energies, temperatures, pressures, and surface tensions for all the simulations are shown in Fig. S2 E.
Coarse-grained model for SE
TG parameters compatible with SDK/SPICA were taken from previous studies (Bacle et al., 2017) whereas, to maximize the compatibility with the existent force field parameters, both the mapping and derivation of SE parameters were based on those for CHOL (Seo and Shinoda, 2019), and only minimal changes, as below described, were performed.
In particular, the mapping for SE closely resembles that of CHOL. As SEs are esters of CHOL, formed by the reaction between the carboxylate of fatty acids and the OH group of CHOL, only the region containing the hydroxyl group of CHOL had to be modified to build the molecular skeleton of SE. Therefore, to have a SE mapping fully consistent with that of CHOL, it was only required to replace this hydroxyl with an ester bead bound to a relatively long hydrocarbon chain (Fig. S6) and to include the CH2 group into a neighbor bead (CM2R to CMR).
Parametrization and validation of SPICA compatible force field for SE. (A) Coarse-grain mapping of SE used in this study. The names of the two newly introduced beads are colored in blue. (B) Interfacial tension (IT) of different triolein (TO):CO mixtures from experiments (Expt.) and MD simulations.
Parametrization and validation of SPICA compatible force field for SE. (A) Coarse-grain mapping of SE used in this study. The names of the two newly introduced beads are colored in blue. (B) Interfacial tension (IT) of different triolein (TO):CO mixtures from experiments (Expt.) and MD simulations.
Following this strategy, no new beads had to be introduced, and we, therefore, decided to keep all nonbonded parameters between the various beads composing SE to the values already present in the SDK/SPICA force field. In particular, for the CMRE bead, the same nonbonded interactions of its analog CMR were used, while, for the ESCH bead, the nonbonded interactions are the same as those of other analogous ester beads. On the other hand, a small set of bonded parameters had to be developed to control the dynamics of the bonds and angles in which the ester bead is involved. To this end, we followed a protocol similar to that described in previous studies (Bacle et al., 2017) (Shinoda et al., 2010) (Campomanes et al., 2019). In short, the equilibrium values and force constants for these bonds and angles were adjusted to fit the averages and standard deviations, respectively, of the bond and angular probability distributions obtained from mapped atomistic simulations performed on systems containing 512 cholesteryl oleate (CO) molecules. All-atom parameters for CO molecules were taken from Koivuniemi et al. (2009). The final set of bonded parameters obtained using this strategy can be found in Table S2.
Interfacial tension measurements were done by the same droplet method used in Ajjaji et al. (2022), using a drop tensiometer device (Tracker, Teclis-IT Concept). The principle consists of the drop profile analysis and its comparison with theoretical profiles calculated from the Gauss Laplace equation. In our case, we form a drop of the neutral lipid phase (100–300 μl) at a J-tip, in a 5-ml glass vial filled with buffer (50 mM Hepes, 120 mM Kacetate, and 1 mM MgCl2 [in Milli-Q water] at pH 7.4). We then let the system equilibrate and quote the tension value. Each surface tension experiment was determined by this means and a minimum of three measurements was performed for each lipid condition studied.
MD systems setup
To calculate the distribution of TG and SE in LD core, systems were built using the software Packmol (Martínez et al., 2009): a core of 3632 TG and SE in different ratios were sandwiched between two monolayers of 400 PLs each and 54,270 water molecules. Also, a system containing only 3,632 TG and SE and 54,270 water molecules was built. For all the lipids, a mixture of OA and palmitic acid for the tails was used. Each monolayer is composed of dioleoylphosphatidylcholine, 1-Palmitoyl-2-oleoyl-sn-glycero-3-phosphocholine, and 1,2-dipalmitoyl-sn-glycero-3-phosphocholine in a 1:1:1 ratio. For what concerns neutral lipids, SEs in the core are a mixture of 50% CO and 50% cholesteryl palmitate, while TGs are a mixture of 25% triolein, 25% tripalmitin, 25% 1,2-dioleoyl,3-palmitoylglycerol, and 25% 1,3-palmitoyl-2-oleoylglycerol. The number of lipids in each system composition is reported in Table S3.
We also mimicked the effect of TG metabolism and we monitored the subsequent distribution of DAGs in the LD core: the coordinates from the last frame of a systems, with TG:SE 50:50 were taken and TG molecules within 2.5 nm from the surface were converted to DAG, leading to a final concentration of TG:SE:DAG 30:50:20. The resulting DAG pool is a mixture of 1,2-dioleoyl-glycerol (DOG), 1,2-palmitoyl-glycerol, or 1-palmitoyl-2-oleoyl-glycerol. The final composition of the system is reported in Table S3.
Simulations were run until convergence of the distribution of NLs in each system, for a maximum of 1,550 ns.
MD simulations—analyses
Density profiles were obtained using GROMACS tools (Van Der Spoel et al., 2005) on 1,000 ns of simulations, excluding the first 500 ns. The remaining 1,000 ns of the trajectory were divided for analysis into two parts of 500 ns each (500–1,000 and 1,000–1,500 ns). The density profiles are reported as the average between the calculation on each of the two 500-ns-long trajectories (500–1,000 and 1,000–1,500 ns), while the shaded regions correspond to the area between the two curves.
Interdigitation was calculated from the density profiles described above, in the same way as in Bacle et al. (2017). For Fig. 2 E, density profiles of only the CHOL moieties or the tails of SEs were calculated separately and used to calculate interdigitation. Analogously to density profiles, the interdigitation results are reported as the average between the interdigitation calculated from the density profiles of the two 500-ns-long trajectories (500–1,000 and 1,000–1,500 ns), while error bars correspond to the distance between the calculated values. Lipid packing defects were calculated using a modified version of the tool PackMem (Bacle et al., 2017), (Gautier et al., 2018) in the last 1,050 ns of simulations. The packing defects are obtained by dividing the trajectory into three blocks and the results are reported as mean and SD over the three blocks.
Human HeLa cell culture, transfection, OA, and CHOL incubations
HeLa cells were maintained in DMEM High Glucose (Dutscher) with 10% FBS and 1% penicillin–streptomycin at 37°C with 5% CO2 and seeded on MatTek 35-mm coverslip bottom dishes for at least 16 h before transfection. Cells were transfected with the different plasmids by using jetPEI transfection reagent (#101-10N; PolyPlus) for 24 h. For the TG-rich LD experiments, cells were then incubated for 24 h with DMEM supplemented with OA conjugated to BSA (1% vol/vol) for a final concentration of 400 µM. The SE-rich LD conditions were conducted by incubating the cells for 24 h with DMEM supplemented with CHOL (70000P; Avanti) conjugated to methyl-β-cyclodextrin (at a molar ratio of 1:20; C4555-1G; Sigma-Aldrich) for a final concentration of 250 µM. The LDs were labeled using HCS LipidTOX Deep Red Neutral Lipid Stain (H34477; Invitrogen) or MDH visualization Dye (SM100a; ABCEPTA). Microscopy visualization was conducted on a Carl ZEISS LSM 800 microscope coupled with a polarized light module and a 37°C heating plate for the CHOL-enriched conditions.
Quantifications of HeLa cell experiments
Images were analyzed using ImageJ software. For analysis of the Erg6-eGFP and Erg6-DsRed2 enrichment around LDs, fluorescence profiles were drawn on the LDs with an average of seven pixel size. The peaks of the profiles were measured and three measurements were recorded and averaged per cell. The ER fraction of Erg6-eGFP and Erg6-DsRed2 were quantified by making seven pixels size averaging fluorescence profiles. The mean fluorescence intensity was measured, and three points were taken and averaged per cell. For each cell, the partition between the ER and the LDs was quantified by determining the ratio between the mean value of fluorescence measured around LDs and the mean value of fluorescence quantified on the ER network. Statistical comparisons where made using a parametric t-test (GraphPad Prism; ***, P < 0.0001; **, P < 0.001; *, P < 0.05). Unless mentioned, all values shown in the text and Figures are mean ± SD.
Quantification and statistical analysis
Statistical analysis
All statistical analyses were performed using Graphpad Prism 8 software. Unpaired t tests were performed with Welch’s correction. For one-way ANOVA, Brown-Forsyth and Welch ANOVA were performed followed by Turkey’s post-hoc test to extract P values. For both t tests and ANOVA, *, P < 0.05; **, P < 0.01; ***, P < 0.001. All graphs represent the mean + SD. Data distribution was assumed to be normal but this was not formally tested.
Image quantification
All image analysis was performed using Fiji (Schindelin et al., 2012). For Mander’s colocalization quantification, confocal microscopy images were split into respective channels and analyzed using the JACoP plugin (Bolte and Cordelières, 2006). M1 and M2 coefficient analysis were used with automatic thresholding. Relative M1 values were calculated with the average of log-phase M1 values as the reference.
Proteomics quantification
Proteomics quantification and analysis were performed using Excel. All samples were analyzed in quadruplicate. To adjust for total protein differences between samples, the sum of all spectral counts within each sample was taken and divided by the average of the spectral count sums in log-phase LD fractions. This ensures differences observed in the proteomics data are not due to unequal “loading” into the MS. To generate a high-confidence list of LD-interacting proteins, the spectral counts of each protein from the LD fraction were subtracted by the corresponding spectral counts from the infranatant fraction. Therefore, proteins more abundant in the LD fraction would produce a difference >0. Furthermore, proteins were only categorized as being LD-associated if the difference between the LD fraction abundance and infranatant abundance was >0 for seven out of the eight analyzed samples. To generate heat maps and volcano plots, log2 values were calculated for the ratio of average protein expression in log-phase and AGR (i.e., log2[protein A in AGR/protein A in log]).
Snapshots from MD simulations
All the images from MD simulations were rendered using VMD (Humphrey et al., 1996).
Cartoons development
All cartoons created with BioRender.com, Microsoft Powerpoint, or Inkscape.
Online supplemental material
Fig. S1 shows LD lipid phase transitions characterized by cryo-FIB and cryo-ET (corresponds to Fig. 1). Fig. S2 shows SEs and TGs partition nonuniformly in the core of LDs (corresponds to Fig. 2). Fig. S3 shows TG lipases are required for Erg6-GFP retargeting to the ER network during AGR-associated LCL-LD formation (corresponds to Fig. 3). Fig. S4 shows Erg6 expression in HeLa cells does not significantly vary between experiments. Fig. S5 shows selective relocalization of LD proteins during AGR stress (corresponds to Fig. 5). Fig. S6 shows parametrization and validation of SPICA compatible force field for SE. Video 1 shows tomographic reconstruction of a cryo-FIB–milled WT yeast cell after 4 h acute glucose restriction. Video 2 shows the tomographic reconstruction of an LD from a cryo-FIB–milled WT yeast cell in log phase (grown with 2% glucose). Video 3 shows the tomographic reconstruction of an LD from a cryo-FIB–milled WT yeast cell after 4 h AGR. Table S1 shows the spreadsheet of LD and whole-cell (WC) proteomics, with fraction analysis of four different log-phase and 4-h AGR-treated yeast samples. Table S2 shows bonded parameters for SE molecules. Table S3 shows the lipid composition of the systems used for MD simulations. Table S4 lists key resources for this study.
Lead contact and materials availability
Further information and requests for resources and reagents should be directed to and will be fulfilled by the lead contact, W. Mike Henne ([email protected]). Requests will be handled according to the University of Texas (UT) Southwestern policies regarding Material Transfer Agreement and related matters.
Data and code availability
The subtomograms shown in Fig. 1, B–I, were deposited in the Electron Microscopy Data Base (EMDB) with accession numbers EMD-24762, EMD-24764, EMD-24766, EMD-24767, EMD-24781, and EMD-24782, respectively.
Acknowledgments
We thank Jonathan Friedman and the members of the Henne and Nicastro labs for helpful insights during this study. We thank Daniel Stoddard (UT Southwestern, Dallas, TX) for the management of the UT Southwestern electron microscope facilities and training, and Gang Fu for some data acquisition. The UT Southwestern Cryo-Electron Microscopy Facility is supported in part by the Cancer Prevention and Research Institute of Texas Core Facility Support Award RP170644. We would also like to thank the UT Southwestern proteomics and live cell imaging facilities for their assistance with data collection and analysis. Finally, we would like to thank Dr. Joel Goodman (UT Southwestern, Dallas, TX) for the Pln1 antibody. This research was supported in part by the computational resources provided by the BioHPC supercomputing facility located in the Lyda Hill Department of Bioinformatics, UT Southwestern Medical Center.
W.M. Henne is supported by funds from the Welch Foundation (I-1873), the National Institutes of Health National Institute of General Medical Sciences (GM119768), National Institute of Diabetes and Digestive and Kidney Diseases (DK126887), Ara Parseghian Medical Research Fund, and the UT Southwestern Endowed Scholars Program. S. Rogers is supported in part by a National Institutes of Health T32 training grant (5T32GM008297). L. Gui, E. Reetz, and D. Nicastro are supported by the Cancer Prevention and Research Institute of Texas grant RR140082 to D. Nicastro. S. Vanni and V. Zoni acknowledge the support from the Swiss National Science Foundation (PP00P3_194807) and from grants from the Swiss National Supercomputing Centre under project ID s980 and s1131. A.R. Thiam is supported by Agence Nationale de la Recherche (ANR-18-CE11-0012-01-MOBIL and ANR-CE11-0032-02-LIPRODYN).
The authors declare no competing financial interests.
Author contributions: W.M. Henne, D. Nicastro, S. Vanni, A.R. Thiam, S. Rogers, L. Gui, A. Kovalenko, and V. Zoni prepared the manuscript and provided conceptual development to the project. S. Rogers, L. Gui, A. Kovalenko, V. Zoni, M. Carpentier, K. Ramji, K. Ben Mbarek, A. Bacle, P. Fuchs, P. Campomanes, E. Reetz, N.O. Speer, and E. Reynolds conducted experiments, developed tools or methods, and added conceptual development to the project. W.M. Henne, D. Nicastro, A.R. Thiam, and S. Rogers edited the manuscript during final revisions.
References
Author notes
S. Rogers, L. Gui, A. Kovalenko, and V. Zoni contributed equally to this paper.

